Wat is bekend?
-
Bekende risicofactoren voor het ontwikkelen van complicaties na batterij-inname zijn: inname van lithiumknoopcelbatterijen, grote knoopcelbatterijen (≥ 15 mm) en een leeftijd jonger dan 4 jaar.
Wat is nieuw?
-
De incidentie van batterij-innames bij Nederlandse kinderen van 0 tot en met 4 jaar is tussen 2002 en 2016 verdrievoudigd.
-
De meest gerapporteerde bronnen van batterij-inname door 0- tot en met 4-jarigen zijn: 1) los uit de verpakking; 2) uit sfeerverlichting en (zak)lampen; 3) uit speelgoed.
-
Na inname van kleine knoopcelbatterijen (< 15 mm) passeert 98% spontaan het maag-darmkanaal; follow-uponderzoek laat geen complicaties zien. Om zo min mogelijk risico te lopen moet bij kinderen die mogelijk een knoopcelbatterij hebben ingeslikt röntgendiagnostiek plaatsvinden.
Het toegenomen gebruik van lithiumknoopcellen in consumptiegoederen blijkt gecorreleerd aan een hogere incidentie van ernstig letsel en overlijden na inname van knoopcelbatterijen door baby’s en peuters.1 De meeste ingeslikte batterijen worden zonder problemen weer uitgescheiden. Wanneer een knoopcelbatterij echter in de slokdarm blijft steken, is perforatie van de slokdarm mogelijk. Dieronderzoek heeft aangetoond dat necrose al binnen vijftien minuten na blootstelling kan optreden.2 Ook bij mensen kan binnen twee uur na inname ernstige weefselbeschadiging ontstaan, vooral door opwekking van elektrische stroom.3
Eerder onderzoek toonde aan dat de kans op complicaties na batterij-inname klein is, maar dat de gevolgen ervan zeer ernstig kunnen zijn.136 In een Amerikaans onderzoek bedroeg het percentage levensbedreigende of invaliderende complicaties (zoals slokdarmperforatie en -strictuur, mediastinitis) 0,8% en het percentage sterfgevallen 0,15%. De onderzoekers vonden de volgende risicofactoren voor ernstige complicaties: lithiumknoopcelbatterijen, batterijen met een grote diameter (≥ 15 mm diameter), nieuwe (volledig opgeladen) batterijen en kinderen jonger dan 4 jaar.3
De meeste gegevens van batterij-inname zijn afkomstig uit Noord-Amerika; Nederlandse incidentiegegevens ontbreken vooralsnog.
Wij presenteren in dit artikel gegevens over batterij-innames in Nederland, gebaseerd op data van het Nationaal Vergiftigingen Informatie Centrum (NVIC). Ons doel is tweeledig: 1) een inschatting maken van de incidentie van batterij-innames in Nederland en 2) een beschrijving geven van risicofactoren, het klinische beeld, de behandeling en de uitkomst. Deze informatie is relevant voor de huisarts omdat deze vaak betrokken is bij de triage. Kinderartsen rapporteren terecht dat zij ernstige complicaties zien in de kliniek, maar hierdoor kan een vertekend beeld ontstaan van het werkelijke risico op ernstige complicaties na batterij-inname. De hier gepresenteerde resultaten kunnen huisartsen helpen om dit risico in het juiste perspectief te plaatsen. Daarnaast geven wij praktische aanbevelingen voor het beleid na batterij-inname.
Methode
Gegevens over batterij-inname door 0- tot en met 4-jarigen hebben we gehaald uit de NVIC-jaaroverzichten van 2002 tot 2016.7 We berekenden de jaarlijkse incidentiecijfers door het aantal blootstellingen aan batterijen in deze leeftijdsgroep te delen door het totale aantal Nederlandse 0- tot en met 4-jarigen in datzelfde jaar.8 Omdat de gegevens incidenties betroffen en we de veranderingen van jaar tot jaar wilden vergelijken, voerden we een poissonanalyse uit om te testen of de toenemende incidentie over de jaren heen significant was. We gebruikten het aantal batterij-innames onder 0- tot en met 4-jarigen als uitkomstvariabele, het jaar als voorspeller en het jaarlijkse totale aantal meldingen bij het NVIC als offsetvariabele. We controleerden de gegevens op overspreiding en gebruikten robuuste schatters van de standaardfouten. Om te corrigeren voor de jaarlijkse toename van het totale aantal NVIC-consulten deelden we het aantal batterij-innames onder 0- tot en met 4-jarigen door het totale aantal meldingen bij het NVIC.
Gedetailleerde gegevens over de blootstelling en het klinische verloop zijn afkomstig uit een prospectief follow-uponderzoek dat het NVIC tussen 1 oktober 2011 en 30 september 2015 uitvoerde. Het inclusiecriterium van dit onderzoek was patiënten van 0 tot en met 4 jaar met een (veronderstelde) inname van ten minste één batterij (knoopcel- of staafbatterij). Alle kinderen voor wie de arts het NVIC raadpleegde, werden direct doorverwezen naar het ziekenhuis voor röntgenonderzoek. Binnen enkele uren na inname werd telefonisch contact opgenomen met de betrokken kinderarts en/of radioloog voor deelname aan het onderzoek. Als de arts de inname van de batterij bevestigde, maar verwijdering of spontane passage nog niet had plaatsgevonden, werden na ongeveer een week via de kinderarts of de huisarts follow-upgegevens verkregen. De gegevens werden systematisch en anoniem verzameld met behulp van een gestandaardiseerde vragenlijst over het tijdstip van inname, de soort en de bron van de batterij, de leeftijd en het geslacht van het kind, symptomen, de vervolgdiagnostiek, het beleid en complicaties.
De medisch-ethische toetsingscommissie van het Universitair Medisch Centrum Utrecht beoordeelde dit onderzoek als niet WMO-plichtig.
Resultaten
Incidentie van batterij-inname in Nederland
Tussen 2002 en 2016 steeg de incidentie van batterij-inname onder 0- tot en met 4-jarigen aanzienlijk (gemeten op basis van telefonische meldingen aan het NVIC): van 107 tot 293 innames per miljoen kinderen (0 tot en met 4 jaar) (poisson-analyse: significante toename van 5% per jaar, 95%-betrouwbaarheidsinterval 3 tot 7%) [figuur 1a]. Ook afgezet tegen de jaarlijkse stijging van het totale aantal NVIC-consulten stegen de consulten over batterij-inname bij 0- tot en met 4-jarigen tussen 2002-2016 [figuur 1b].
Follow-uponderzoek van het NVIC
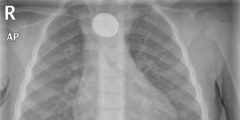
In het NVIC-onderzoek werden in totaal 376 0- tot en met 4-jarigen geïncludeerd [figuur 2]. Meestal waren de melders huisarts (96%). De meeste kinderen waren 1 jaar oud en hadden 1 batterij ingenomen; 10% van de kinderen (n = 37) had meerdere batterijen ingeslikt [tabel]. De bron van de batterij was in 67% van de gevallen bekend: 18% lag los of was afkomstig uit een aangebroken verpakking, 13% was afkomstig uit lichtbronnen (meestal sfeerverlichting en (zak)lampen) en 12% uit speelgoed. De overgrote meerderheid van de meldingen betrof ingeslikte knoopcelbatterijen (88%). De diameter van de knoopcelbatterij was in 212 gevallen bekend; deze was meestal kleiner dan 15 mm (n = 162 gevallen, 76%). In 50 gevallen was de diameter groter of gelijk aan 15 mm (24%). Het specifieke type batterij was vaak niet bekend (74%).
Figuur 2 | Stroomdiagram van het aantal patiënten geïncludeerd in het prospectieve NVIC-onderzoek (2011-2015)
De meeste kinderen (n = 304; 81%) ondergingen binnen 24 uur na inname röntgendiagnostiek (mediaan 8,5 uur; 0,5 uur tot 12 dagen). De belangrijkste redenen waarom er geen röntgenfoto werd gemaakt waren het ontbreken van toestemming van ouders/verzorgers of een afwijkend behandelbeleid door artsen.
Bij 209 kinderen (56%) werd ten minste één batterij aangetroffen (op basis van een röntgenfoto of endoscopie, of in de ontlasting); bij 206 kinderen (99%) was dit een knoopcelbatterij en bij drie kinderen (1%) een staafbatterij.
Na inname van kleine knoopcelbatterijen (< 15 mm) passeerde 98% (158 van de 162 kleine knoopcelbatterijen) spontaan het maag-darmkanaal; follow-uponderzoek liet geen complicaties zien. Endoscopie werd uitgevoerd bij 26 kinderen (7%), bij wie in totaal 28 knoopcelbatterijen werden verwijderd. De verwijderde batterijen bevonden zich in de slokdarm/keel (25%, n = 7) of in de maag (75%, n = 21). De mediane tijd tussen inname en endoscopie was 72 uur (minimaal 2 uur, maximaal 13 dagen) bij kinderen met batterijen in de maag en 8 uur (minimaal 4,5, maximaal 24 uur) bij kinderen met batterijen in de slokdarm/keel. Late verwijdering was voornamelijk het gevolg van het afwachtend beleid van artsen (wachten tot spontane passage had plaatsgevonden), maar ook doordat een aantal ouders kort na de blootstelling geen arts raadpleegde. Negen van de 26 kinderen (35%) hadden lokale slijmvliesbeschadiging: erosie/ulceratie van het slokdarmslijmvlies (6 maal), proximale oesofagitis (2 maal) of irritatie/laesies van het maagslijmvlies (3 maal). Voor verwijdering vertoonden 6 van de 9 patiënten met laesies symptomen (meestal braken of misselijkheid); de overige 3 waren asymptomatisch. In totaal werden bij 18% van de patiënten symptomen gemeld (n = 69). Bij 14 patiënten was sprake van een donkere stoelgang en/of melena (4%). Alle kinderen met lokaal letsel herstelden goed en late complicaties werden niet gemeld.
Beschouwing
Toename van de incidentie
Op grond van de beschikbare NVIC-gegevens blijkt de jaarlijkse incidentie van batterij-inname voor kinderen van 0 tot 4 jaar tussen 2002 en 2016 te zijn toegenomen van 107 naar 293 blootstellingen per miljoen kinderen. Volgens een VeiligheidNL-rapport zijn in de periode 2010 tot 2014 jaarlijks 100 kinderen jonger dan 5 jaar op een SEH-afdeling onderzocht op verdenking van het inslikken van een batterij; 11% van hen werd opgenomen.9
Afmetingen van de batterij en complicaties
Zowel op basis van de internationale literatuur als op grond van het NVIC-onderzoek en ervaring weten we dat inname van een knoopcelbatterij van < 15 mm in het algemeen een gunstiger beloop heeft dan het inslikken van een knoopcelbatterij met een diameter van 20 tot 25 mm.1 Volgens eerder Noord-Amerikaans onderzoek is er sprake van ernstige complicaties of overlijden bij 12,6% van de kinderen jonger dan 6 jaar die een 20 tot 25 mm grote knoopcelbatterij hebben ingeslikt.1 Van de < 15 mm batterijen passeert 98% spontaan het maag-darmkanaal; follow-up-onderzoek liet geen complicaties zien. De enkele keer dat eerdere publicaties toch een ernstige complicatie met kleine batterijen rapporteerden, betrof het zeer jonge kinderen (< 1 jaar oud), had een ouder/verzorger de inname niet waargenomen en was er (bij klachten) geen (of te laat) röntgenonderzoek verricht. Hierdoor werd letsel pas laat opgemerkt, doorgaans als gevolg van klachten (koorts met ademhalingsproblemen, kwijlen, verminderde eetlust met aanhoudende hoest en braken) of, in één geval, door het vermoeden van de moeder die had gezien dat een batterij uit een speeltje was verdwenen.61014
De NVIC-gegevens bevestigen dat het zeer zelden gebeurt dat ingeslikte kleine knoopcelbatterijen (< 15 mm) blijven steken en er daardoor complicaties ontstaan. Het NVIC-onderzoek wees er niet op dat er ernstige effecten optraden, ook niet wanneer het kind grote batterijen had ingeslikt. Hierbij moeten we echter bedenken dat bij 7% van de gevallen een interventie plaatsvond (endoscopie) ter voorkoming van mogelijke complicaties.
Het NVIC-onderzoek kent enkele beperkingen. In de eerste plaats betreffen de meldingen aan het NVIC slechts een deel van het totale aantal gevallen van batterij-inname in Nederland; niet voor alle innames wordt het NVIC geraadpleegd. De hier gemelde incidentie van batterij-inname is dan ook zeker een onderschatting.
In de tweede plaats is het follow-uponderzoek binnen ongeveer een week na de melding aan het NVIC verricht en kunnen we niet uitsluiten dat daarna nog complicaties opgetreden zijn.
In een retrospectief onderzoek van de Nederlandse Vereniging voor Kindergeneeskunde (NvK) (2008-2016) werd endoscopiërende kinderartsen gevraagd om alle kinderen met ernstige complicaties na batterij-inname te documenteren.10 Ze rapporteerden vijftien ernstige complicaties, waaronder één sterfgeval, bij kinderen tussen 0 en 4 jaar. Bij dertien kinderen had de batterij een diameter ≥ 15 mm; eenmaal betrof het een batterij van 13 mm en eenmaal was de diameter onbekend. De beschreven complicaties waren stenose van de slokdarm na perforatie en mediastinitis, ademhalingsinsufficiëntie die mechanische beademing noodzakelijk maakte, fistelvorming tussen slokdarm en luchtpijp of tussen slokdarm en aorta, perforatie en mediastinitis, en verlamming van de stembanden. Eén patiënt (van 21 maanden) overleed twee weken na inname van een knoopcelbatterij door een bloeding uit een slokdarm-aortale fistel. In dezelfde periode (2008-2016) werden bij het NVIC 1529 batterij-innames bij kinderen van 0 tot en met 4 jaar gerapporteerd. Op grond van deze gegevens schatten wij het risico op ernstige complicaties na batterij-inname op ongeveer 1% en het percentage sterfgevallen op ongeveer 0,07% voor kinderen van 0 tot en met 4 jaar.
Praktische aanbevelingen
In het prospectieve follow-uponderzoek betroffen de meeste blootstellingen zeer jonge kinderen van ongeveer 1 jaar oud. Dit onderzoek laat zien dat aanbevelingen over preventie noodzakelijk blijven – kinderen hebben nu eenmaal gemakkelijk toegang tot batterijen. Daarom blijft voorlichting aan ouders/verzorgers zeer belangrijk. Een goed initiatief is een website die de European Portable Battery Association (EPBA) met hulp van de Wereldgezondheidsorganisatie heeft ontwikkeld en die in vele talen, inclusief Nederlands, voorlichting geeft.15
Wanneer ouders/verzorgers vermoeden dat hun kind een batterij heeft ingeslikt moeten zij direct met hun huisarts overleggen. Bij deze kinderen moet zonder uitstel röntgen-diagnostiek plaatsvinden. Voor een goede risico-inschatting zijn de diameter en het type ingeslikte batterij belangrijk, maar het achterhalen van deze gegevens mag niet leiden tot vertraging van het maken van de röntgenfoto. Het is verstandig om het apparaat of de verpakking waaruit de batterij afkomstig is mee te nemen naar het ziekenhuis. Opmeten van het lege batterijcompartiment en de aanduiding op het apparaat welk type batterij erin hoort geven aanvullende informatie. De code van een batterij is uniek voor de afmetingen en de chemische samenstelling. Vooral nieuwe batterijen, grote batterijen en lithiumbatterijen (vaak 3V in plaats van 1,5V) geven een verhoogd risico op complicaties.134 Voor meer praktische aanbevelingen en de indicatie voor een scopie kunnen huisartsen de NVK-richtlijn raadplegen.16
Conclusie
De incidentie van batterij-inname bij 0- tot en met 4-jarige kinderen is tussen 2002 en 2016 verdrievoudigd. Eerdere aanbevelingen over preventie zijn nog steeds noodzakelijk. Het risico op schade in de keel of de slokdarm is groter bij batterijen met een diameter ≥ 15 mm en bij lithiumbatterijen (vanwege het hogere voltage). Om zo min mogelijk risico te lopen moet bij kinderen die mogelijk een knoopcelbatterij hebben ingeslikt röntgendiagnostiek plaatsvinden. Wordt een batterij in keel of slokdarm gevonden, dan dient deze direct verwijderd te worden.
Abstract
Aim
To estimate the incidence of battery ingestion by young children in the Netherlands and to describe the circumstances, clinical picture, treatment and outcome of the known cases in our country.
Design & Method
Data from the National Poisons Information Centre (NVIC) were collected in two ways: (1) via annual summaries for 2002–2016; (2) via a prospective follow-up study carried out between 2011 and 2015.
Results
The annual incidence of battery ingestion, reported by telephone to the NVIC, among children aged 0-4 years tripled between 2002 and 2016. The prospective study included 376 children aged 0-4 years. At least one battery was found in 56% of the cases. The batteries had been left lying around or came from an opened pack (18%). Most cases involved button cell batteries (88%), often of a small size (76% of the cases < 15 mm). All button cell batteries larger than 15 mm in the oesophagus / throat were removed endoscopically (n = 7). No serious effects were seen in this study.
Conclusion
In the Netherlands, the incidence of battery ingestion was highest among children 0-4 years of age. The number of cases reported to the NVIC tripled between 2002 and 2016. Advice about how to prevent these incidents and practical recommendations on what to do after a child swallows a battery are still necessary.
| n (%) | |||
|---|---|---|---|
| Patiënten | 376 (100) | ||
| Geslacht | |||
| Man | 190 (51) | ||
| Vrouw | 169 (45) | ||
| Onbekend | 17 (5) | ||
| Leeftijd (jaar) | |||
| < 1 | 43 (11) | ||
| 1 | 145 (39) | ||
| 2 | 83 (22) | ||
| 3 | 74 (20) | ||
| 4 | 31 (8) | ||
| Aantal batterijen* | |||
| 1 | 333 (89) | ||
| 2 t/m 4 | 35 (9) | ||
| ≥ 5 | 2 (< 1) | ||
| Onbekend | 6 (1,6) | ||
| Batterijen |
N (%) |
||
Knoopcel |
Staafbatterij |
Totaal |
|
| Bron | 380 (88) | 49 (11) | 432 (100) |
| Onbekend† | 129 (30) | 22 (45) | 129 (30) |
| Los/uit de verpakking† | 78 (18) | 5 (10) | 78 (18) |
| Verlichting | 55 (13) | 0 (0) | 55 (13) |
| Speelgoed | 53 (12) | 0 (0) | 53 (12) |
| Horloge | 37 (9) | 0 (0) | 37 (9) |
| Afstandsbediening | 35 (8) | 18 (37) | 35 (8) |
| Hoorapparaat | 23 (5) | 0 (0) | 23 (5) |
| Rekenmachine | 6 (1) | 0 (0) | 6 (1) |
| Telefoon | 3 (1) | 2 (4) | 3 (1) |
| Camera | 3 (1) | 0 (0) | 3 (1) |
| Overig | 10 (2) | 2 (4) | 10 (2) |
| Diameter | |||
| < 15 mm | 162 (43) | ||
| ≥ 15 mm | 50 (13) | ||
| Onbekend | 168 (44) |
Luister nu naar de H&W podcast waarin Antoinette van Riel nader uitlegt wat te doen met baby’s en peuters die een batterij hebben ingeslikt.
Literatuur
- 1.↲↲↲↲↲Litovitz T, Whitaker N, Clark L, White NC, Marsolek M. Emerging battery-ingestion hazard: clinical implications. Pediatrics 2010;125:1168-77.
- 2.↲Tanaka J, Yamashita M, Kajigaya H. Esophageal electrochemical burns due to button type lithium batteries in dogs. Vet Hum Toxicol 1998;40:193-6.
- 3.↲↲↲↲Litovitz T, Schmitz BF. Ingestion of cylindrical and button batteries: an analysis of 2382 cases. Pediatrics 1992;89:747-57.
- 4.↲Litovitz T, Whitaker N, Clark L. Preventing battery ingestions: an analysis of 8648 cases. Pediatrics 2010;125:1178-83.
- 5.↲Cairns R, Brown JA, Lachireddy K, Wylie C, Robinson J, Dawson AH, et al. Button battery exposures in Australian children: a prospective observational study highlighting the role of poisons information centres. Clin Toxicol 2019;21:1-7.
- 6.↲↲Jatana KR, Litovitz T, Reilly JS, Koltai PJ, Rider G, Jacobs IN. Pediatric button battery injuries: 2013 task force update. Int J Pediatr Otorhinolaryngol 2013;77:1392-9.
- 7.↲↲↲NVIC. Jaaroverzichten. Utrecht: UMC Utrecht.
- 8.↲↲Centraal Bureau voor de Statistiek. Bevolking; kerncijfers. Den Haag/Heerlen: Centraal Bureau voor de Statistiek, 2019.
- 9.↲VeiligheidNL. Rapportage ongevalscijfers knoopcelbatterijen. Amsterdam: VeiligheidNL, 2015.
- 10.↲↲Krom H, Visser M, Hulst JM, et al. Serious complications after button battery ingestion in children. Eur J Pediatr 2018;177:1063-70.
- 11.↲National Capital Poison Center. National Capital Poison Center Button Battery Ingestion Triage and Treatment Guideline. Washington: National Capital Poison Center, 2010-2019.
- 12.↲Sigalet D, Lees G. Tracheoesophageal injury secondary to disc battery ingestion. J Pediatr Surg 1988;23:996-8.
- 13.↲Raboei EH, Syed SS, Maghrabi M, El Beely S. Management of button battery stricture in 22-day-old neonate. Eur J Pediatr Surg 2009;19:130-1.
- 14.↲Jarugula R, Dorofaeff T. Oesophageal button battery injuries: think again. Emerg Med Australas 2011;23:220-3.
- 15.↲European Portable Battery Association. Button Battery Safety. Brussel: European Portable Battery Association (EPBA).
- 16.↲Nederlandse Vereniging voor Kindergeneeskunde. NVK Richtlijn: ingestie corpora aliena bij kinderen van 0-18 jaar. Utrecht: Nederlandse Vereniging voor Kindergeneeskunde, 2019.
Reacties
Er zijn nog geen reacties.