Praktijk

De pancoasttumor: witte raaf bij schouderpijn

Gepubliceerd
3 augustus 2017

Casus

Een 50-jarige man bezoekt het spreekuur met pijn rondom zijn rechterschouder. De pijn is er sinds een week en zit ter hoogte van zijn rechterbovenarm, oksel, schouderblad en aan de bovenzijde van zijn schouder. De patiënt voelt ook een licht drukkend gevoel op de rechter thoraxhelft. Onderzoek van de schouder laat een painful arc zien vanaf negentig graden. Daarnaast wekt palpatie van tussenribspieren en spieren rondom het schouderblad herkenbare pijn op. Neurologisch onderzoek van de arm en auscultatie van hart en longen leveren geen afwijkingen op. De huisarts-in-opleiding duidt de klachten als subacromiaal pijnsyndroom in combinatie met tendomyalgie. Hij geeft uitleg en adviezen, en schrijft diclofenac voor. Drie weken later komt patiënt terug met dezelfde klachten, die niet zijn verminderd. Een aanvullende tractusanamnese van hart en longen geeft geen nieuwe informatie. De uitslag van het lichamelijk onderzoek is onveranderd en in overleg met de patiënt wordt fysiotherapie gestart.
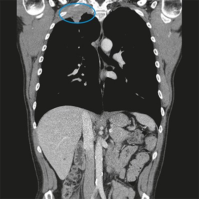
Hoewel de patiënt telkens na een behandeling minder pijn heeft, komen de klachten ook steeds weer terug, nu ook in de nacht. Hij vertelt dat hij zich langzaamaan zorgen maakt over longkanker, waaraan zijn vader op 53-jarige leeftijd overleed. De patiënt rookt en heeft dertig pakjaren. Hierop laat de huisarts-in-opleiding, inmiddels twee maanden na het eerste spreekuurbezoek, bloedonderzoek en een X-thorax verrichten. De bezinking is 40 mm/uur en de röntgenfoto toont opvallende, rechtszijdige toppleuraverbreding die kan wijzen op een longtoptumor. Aanvullende beeldvorming door de longarts bevestigt de aanwezigheid van een ruimte-innemend proces van de longtop, met ingroei in de intercostaalruimtes van rib 1 en 2 en partiële destructie van deze ribben [figuur]. Pathologisch onderzoek laat een plaveiselcelcarcinoom zien, cT3N0M0. De patiënt start met concurrente chemoradiatie. In de toekomst zal en-bloc lobectomie van de rechterbovenkwab volgen.

Beschouwing

Een longtoptumor, ook wel pancoasttumor genoemd, is een relatief zeldzame vorm van longkanker (1 tot 3% van alle longtumoren).12 Huisartsen komen deze in hun werkzame carrière gemiddeld één of hooguit tweemaal tegen. De lage incidentie in combinatie met de verraderlijke symptomatologie maakt de pancoasttumor een diagnostische uitdaging en veroorzaakt een gemiddelde doctors’ delay van drie tot vier maanden.3
Door de perifere plaats van de longtumor zijn de gebruikelijke pulmonale symptomen als hoest, hemoptoë en dyspnoe pas in een laat stadium aanwezig. Het grootste deel van de patiënten (45 tot 95%) heeft eerst last van schouderpijn, die wordt veroorzaakt door ingroei in de plexus brachialis, pleura of eerste ribben.4 De pijn kan uitstralen naar boven richting de nek, of naar beneden richting schouderblad, oksel, borstkas of bovenarm. De pijn wordt vaak erger door bewegingen en palpatie, hetgeen de arts op een verkeerd spoor kan zetten. Patiënten krijgen dan ook vaak behandeling voor een subacromiaal of cervicobrachiaal pijnsyndroom, zoals in deze casus.
Het uitblijven van behandelingsresultaat, in combinatie met een significante rookvoorgeschiedenis en de vaak aanwezige rust- en nachtpijn, kan in de juiste richting wijzen. Bovendien kunnen opvallende neurologische verschijnselen ontstaan, zoals spierzwakte van de intrinsieke handmusculatuur (spreiden van de vingers) en pijn of paresthesie van de vierde en vijfde vinger. Het alom in tekstboeken genoemde syndroom van Horner (hangend ooglid, vernauwde pupil en eenzijdig verminderd zweten) komt slechts bij 14 tot 50% van de patiënten voor.4 Overige uitingsvormen zijn gewichtsverlies, supraclaviculaire lymfekliervergroting en het vena cava superior-syndroom.
Hoewel een thoraxfoto om tumoren aan te tonen dan wel uit te sluiten een behoorlijke specificiteit heeft (88 tot 97%), is de sensitiviteit slechts 20 tot 60%.5 Daarom luidt het advies om bij verdenking op een pancoasttumor direct te verwijzen naar de longarts.
De longarts zal een behandeling voorstellen die bestaat uit een combinatie van chemo- en radiotherapie, gevolgd door chirurgie. De vijfjaarsoverleving bedraagt bij deze behandeling ongeveer 45% en is mede afhankelijk van de uitgebreidheid van het proces en de afwezigheid van mediastinale lymfekliermetastasen.6 Vroege herkenning door de huisarts draagt daarmee bij aan een betere prognose.

Literatuur

  • 1.Pancoast HK. Importance of careful roentgen-ray investigations of apical chest tumors. JAMA 1924;83:1407-11.
  • 2.De Beer L, Kroon HM. Een man met progressieve pijn in nek en schouder. Ned Tijdschr Geneeskd 2012;156:A3978.
  • 3. Ichinohe K, Takahashi M, Tooyama N. Delay by patients and doctors in treatment of Pancoast tumor. Wien Klin Wochenschr 2006;118:405-10.
  • 4.Areasoy SM, Jet SR, Schild SE. Superior pulmonary sulcus (Pancoast) tumors. In: Lilenbaum RA (ed). UpToDate (accessed on June 14, 2017).
  • 5.Quekel LGBA, Kessels AGH, Goei R, Engelshoven JMA van. Detection of lung cancer on the chest radiograph: a study on observer performance. Eur J Radiol 2001;39:111-6.
  • 6.Rusch VW, Giroux DJ, Kraut MJ, Crowley J, Hazuka M, Winton T, Johnson DH, et al. Induction chemoradiation and surgical resection for superior sulcus non-small-cell lung carcinomas: long-term results of Southwest Oncology Group Trial 9416 (Intergroup Trial 0160). J Clin Oncol 2007;25:313.

Reacties

Er zijn nog geen reacties.