Praktijk

Decidual cast

Gepubliceerd
29 februari 2016

Casus

Een 45-jarige vrouw komt op het spreekuur met een stuk weefsel dat ze die ochtend vaginaal heeft verloren. De nacht ervoor had ze veel buikpijn en vaginaal bloedverlies gehad. Er zijn geen tekenen van een zwangerschap.
Ze was een half jaar daarvoor op het spreekuur geweest in verband met langduriger en heftiger menstruaties, en ze had een beetje last van opvliegers. In onderling overleg werd toen een hormoonhoudende spiraal geplaatst. Na het inbrengen bleef ze bloedverlies en buikpijn houden. Toen de klachten na een maand stopten, kwam ze op controle. Bij het speculumonderzoek waren er geen draadjes te zien. Op de echo was evenmin een spiraaltje in de uterus of elders in de buik te zien. Ze had niet gemerkt dat ze het spiraaltje was verloren. Daarna gebruikte ze twee maanden microgynon 30, zonder stopweek, met goed effect. Drie dagen voor het verlies van het stuk weefsel was ze met de pil gestopt, na een doorbraakbloeding.
Toen de patiënte naar de praktijk kwam, was de buikpijn over en het bloedverlies vrijwel gestopt. Ze had het weefsel bij zich in een zakje: een dun stukje met een gewicht van 85 gram. Het oppervlak was deels met stolsels bedekt [figuur 1]. Het weefsel werd in een pot met formaline gestopt en opgestuurd voor pathologisch-anatomisch onderzoek.
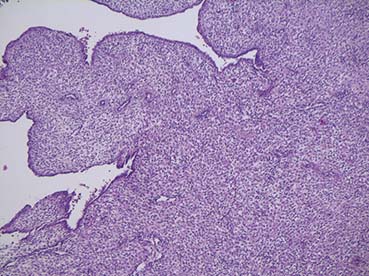
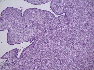
Een paar dagen later kwam de uitslag: een decidual cast. Er waren geen foetale resten en er was een decidual veranderd endometrium zichtbaar, focaal nog afgelijnd door epitheel [figuur 2].
De patiënte is op haar verzoek verwezen naar de gynaecoloog in verband met aanhoudende buikpijn en gering bloedverlies. Bij onderzoek werden geen afwijkingen gevonden aan uterus en adnexen. Een buikoverzichtsfoto toonde evenmin afwijkingen en ook geen spiraaltje. De gynaecoloog zag geen relatie tussen de problemen met het spiraaltje en de decidual cast.

Beschouwing

Deciduaal weefsel wordt in de uterus gevormd na langdurig hormonale stimulatie met progesteron of een ander gestageen: de decidual cast van de wand van het cavum uteri.1 Decidual is de aftekening van de uteruswand bij zwangeren, dus niet de placentawand, en cast betekent afgietsel.
Het weefsel wordt spontaan door de baarmoeder uitgestoten en kan worden verward met een miskraam. Bij pathologisch-anatomisch onderzoek zijn er geen foetale resten en het human chorionic gonadotrophin (HCG) is negatief.
De decidual cast kan ook misleidend zijn bij een niet-gediagnostiseerde, ectopische zwangerschap (EUG). Door het weefselverlies (de decidual cast) denkt men ten onrechte dat het weefsel de miskraam is en dat de zwangerschap is gestopt. Daarom moet het HCG worden getest om er zeker van te zijn dat er geen EUG aanwezig is. Bij echografie kan een decidual cast lijken op een intra-uteriene zwangerschap en bij een positieve HCG is dat misleidend. Een decidual cast komt vooral voor bij gebruik van human menopausal gonadotrophin (HMG), HCG en bij gebruik van progestagenen.1 Een decidual cast kan ook ontstaan bij endometriose en als de patiënte bij pilgebruik langere tijd geen pilpauze in acht neemt. Hoe vaak dit voorkomt bij doorslikken van de pil zonder pauze en hoe lang de pil kan worden doorgeslikt zonder dat dit probleem ontstaat, is niet in de literatuur te vinden. Bij gewoon of kort pilgebruik (zoals in deze casus) komt het zelden voor.
De conclusie luidt: denk bij weefselverlies uit de vagina dat lijkt op een miskraam ook aan een decidual cast, zeker als het weefsel de vorm heeft van het cavum uteri. Het is dan wel noodzakelijk een zwangerschap uit te sluiten door een HCG-test te doen. Via pathologisch onderzoek van het weefsel is vast te stellen dat er geen foetale resten aanwezig zijn.

Literatuur

  • 1.Pingili R, Jackson W. Decidual Cast. The Internet Journal of Gynaecology and Obstetrics 2007;9:1.

Reacties

Er zijn nog geen reacties.