Inleiding
De afgelopen jaren krijgt het belang van vitamine-D-toediening bij bepaalde risicogroepen (zoals niet-westerse allochtonen en ouderen) opnieuw aandacht. Niet-westerse allochtonen lopen vooral risico op vitamine-D-deficiëntie door een gebrek aan zonlicht in combinatie met een vaak donkere huidskleur. De rol van vitamine D in voeding krijgt weinig aandacht omdat voeding als een minder belangrijke bron voor vitamine D in het lichaam wordt gezien.12 Naar aanleiding van de volgende casus willen wij meer aandacht vragen voor het belang van adequate vitamine-D-suppletie bij borstgevoede kinderen van allochtone ouders.
Een peuter met kromme beentjes
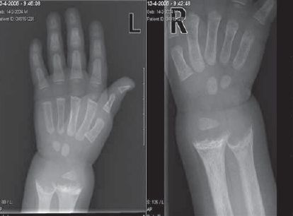
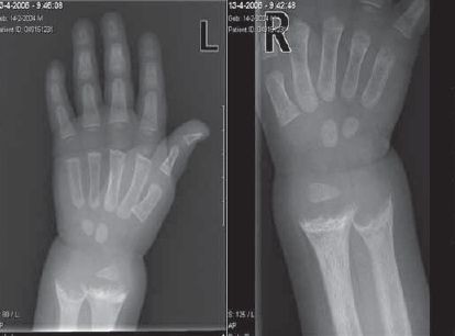
Youssef, zoon van Marokkaanse ouders, wordt op zijn 2e jaar naar de kinderarts doorverwezen omdat men op het consultatiebureau een hartgeruis heeft gehoord. Direct bij binnenkomst vallen zijn waggelende gang en zijn kleine gestalte op. Moeder vertelt dat Youssef een goede conditie heeft en weinig ziek is. Op het consultatiebureau was de kleine lengte wel opgevallen, maar dit was nog geen reden tot nader onderzoek. Moeder vertelt dat Omar Youssef maanden borstvoeding heeft gehad. Hierbij gaf zij hem af en toe vitamine-D-druppeltjes. Youssef kwam regelmatig buiten. Bij lichamelijk onderzoek werd een kleine jongen gezien met een lengte van 81,7 cm (–2,5SD) en een gewicht van 12,5 kg (+1SD). Men zag een duidelijke verdikking van beide polsen, knieën en enkels. Verder waren beide benen sterk gebogen, rechts meer dan links (figuur 1). Bij auscultatie van het hart was er een functionele souffle hoorbaar. Rachitis uit zich bij peuters vooral in gebogen benen.3 Bij Youssef dacht men dus aan dit ziektebeeld. Daarom werd aanvullend laboratoriumonderzoek gedaan en een polsfoto gemaakt. Laboratoriumonderzoek leverde het volgende op: normaal serumcalcium (2,40 mmol/l), verlaagd fosfaat (0,83 mmol/l, N > 1,15), verhoogd alkalische fosfatase (1100 U/l, N < 120), verlaagd 25.(OH)D2 (3 (24 nmol/l, N > 50). De röntgenfoto van de pols toonde een pathognomonisch beeld voor rachitis met distale indeuking (cupping) van de ulna en de radius (figuur 2). Bovendien bleek het totaal 25-hydroxyvitamine D van de moeder verlaagd (25 nmol/l, N > 50). Het feit dat met name het 25.(OH)D2 sterk verlaagd was, duidt op een voedingsgerelateerde oorzaak van de rachitis. Voor de hand ligt een relatie met de langdurige borstvoeding, waarbij onvoldoende vitamine-D-suppletie gegeven werd. Als behandeling werd dan ook gestart met vitamine D.
Rachitis
Rachitis is voor velen een ziekte uit een ver verleden. De aandoening lijkt echter de laatste jaren weer vaker voor te komen, vooral bij bevolkingsgroepen van niet-westerse oorsprong.2 Precieze gegevens over de incidentie ontbreken echter. Wel is bekend dat in het Groot-Brittannië de laatste jaren vooral onder migranten uit Azië meer rachitis door een vitamine-D-deficiëntie wordt geconstateerd.4 Door het calciumtekort in het lichaam wordt bij vitamine-D-deficiënte rachitis de nieuwgevormde botmatrix niet of nauwelijks gemineraliseerd. Bovendien is de verkalking van het kraakbeen in de epifysairschijf gestoord. Plaatsen in het skelet waar het bot snel groeit of waar een hoge kracht op staat, zullen het snelst deformeren. Bij kleine kinderen valt vaak als eerste de sterke buiging van de benen op, naast een verbreding van de polsen, knieën en enkels. Verder moet men aan rachitis denken bij een vertraagde sluiting van de fontanellen en bij een verdikking van de verbinding tussen de ribben en het borstbeen (de zogenaamde rachitische rozenkrans). De anamnese is belangrijk om de oorzaak van een eventuele rachitis te kunnen achterhalen: Krijgt het kind naast borstvoeding vitamine-D-suppletie? Wordt er margarine of vette vis gebruikt? Komt het kind genoeg in de zon? Groeit het kind goed? Zijn er andere klachten, die passen bij geassocieerde pathologie zoals coeliakie, taaislijmziekte of ernstige nierafwijkingen? Bij de vitamine-D-bepaling in het bloed kijkt men vooral naar de totale hoeveelheid vitamine D, het 25-hydroxyvitamine D. Dit bestaat uit 25.(OH)D2 en 25.(OH)D3. Het 25.(OH)D2 is plantaardig en zit met name in voeding. Het 25.(OH)D3 wordt in de huid gevormd onder invloed van zonlicht. Met laboratoriumonderzoek kan men dus de mogelijke oorzaken van de vitamine-D-deficiëntie onderscheiden.5 Voor de huisarts zou het oriënterend laboratoriumonderzoek echter in eerste instantie kunnen bestaan uit een volledig bloedbeeld, alkalische fosfatase, calcium, fosfaat en eventueel bepaling van het 25-hydroxyvitamine D. Met name het alkalisch fosfatase is een goede marker voor de ziekteactiviteit, omdat een calciumtekort in het serum gemaskeerd kan worden door een reactieve hyperparathyreoïdie. De bepaling van 25.(OH)D2 en 25.(OH)D3 is voor de huisarts niet zinvol, omdat afwijkingen hiervan geen therapeutische consequenties hebben. Wanneer de huisarts op grond van het klinisch beeld en het oriënterend laboratoriumonderzoek rachitis vermoedt, dan is verwijzing naar een kinderarts aangewezen om de precieze oorzaak vast te stellen. De meest voorkomende oorzaak is een vitamine-D-deficiëntie. De behandeling hiervan duurt enkele maanden en bestaat uit orale toediening van vitamine D. In principe leidt de behandeling tot volledig herstel van de botafwijkingen en is consultatie van een (kinder)orthopeed niet noodzakelijk.
Vitamine-D-suppletie
Borstvoeding wordt de laatste jaren gelukkig zeer gestimuleerd. Bovenstaande casus laat echter ook een risico van uitsluitend borstvoeding zien. Borstvoeding bevat namelijk weinig vitamine D (40 IE/l = 1 µg/l) waardoor de zuigeling een grote kans heeft op een vitamine-D-deficiëntie. De hoeveelheid zonlicht in Nederland is bovendien onvoldoende om genoeg aanmaak van vitamine D te garanderen bij niet-westers gepigmenteerde kinderen. Daarnaast hebben allochtone moeders in ons land vaak een laag vitamine-D-gehalte, waardoor de baby met weinig voorraad vitamine D ter wereld komt.67 De hier gepresenteerde casus onderstreept het belang dat we bij niet-westerse allochtone kinderen die borstvoeding krijgen, extra alert moeten zijn op een vitamine-D-deficiëntie. Bovendien moeten we altijd nagaan of deze kinderen voldoende vitamine-D-suppletie krijgen. Het Voedingscentrum heeft recent een herzien voedingsadvies voor zuigelingen en peuters uitgegeven, waarin wordt geadviseerd om allochtone borstgevoede kinderen 10 µg vitamine D per dag te geven. Voor autochtone borstgevoede kinderen is de aanbeveling 5 µg per dag. Met de suppletie moet men een week na de geboorte beginnen.8 Hiervoor moet dus al aandacht zijn in de kraamperiode. Helaas is hierover in de NHG-Standaard Zwangerschap en Kraamperiode (M32) geen advies te vinden.9
Literatuur
- 1.↲Robinson PD, Hogler W, Craig ME, Walker JL, Piper AC, et al. The re-emerging burden of rickets: a decade of experience from Sydney. Arch Dis Child 2006;91:564-8.
- 2.↲↲Wielders JPM, Van Dormaël PD, Eskes PF, Duk MJ. Ernstige vitamine D-deficiëntie bij ruim de helft van de niet-westerse allochtone zwangeren en hun pasgeborenen. Ned Tijdschr Geneeskd 2006;150:495-9.
- 3.↲Callaghan AL, Moy RJD, Booth IW, Debelle G, Shaw NJ. Incidence of symptomatic vitamin D deficiency. Arch Dis Child 2006;91:606-7.
- 4.↲Zipitis CS, Markides GA, Swann IL. Vitamin D deficiency: prevention or treatment? Arch Dis Child 2006;91:1011-4.
- 5.↲Mølgaard C, Michaelsen KF. Vitamin D and bone health in early life. Proc Nutr Soc 2003;62:823-8.
- 6.↲Grootjans-Geerts I. Vitamine D: belangrijk al vóór de wieg en tot het graf. Ned Tijdschr Geneeskd 2006;150:470-2.
- 7.↲Gartner LM, Greer FR. Prevention of rickets and vitamine D deficiency: new guidelines for vitamine D intake. Pediatrics 2003;111:908-10.
- 8.↲Voedingscentrum. Voeding van zuigelingen en peuters: uitgangspunten voor de voedingsadvisering voor kinderen van 0-4 jaar. Den Haag: Voedingscentrum, 2007.
- 9.↲Oldenziel JH, Flikweert S, Daemers DOA, Groenendijk B, Lo Fo Wong SH, Wiersma Tj. NHG-Standaard Zwangerschap en kraamperiode. Huisarts Wet 2003;46:369-87.
Reacties
Er zijn nog geen reacties.