Praktijk

Een harde zwelling onder de nagel

Twee patiënten bezoeken kort achter elkaar de huisarts, omdat ze een zwelling onder een nagel hebben. Na onderzoek blijkt het te gaan om een subunguale exostose, een zwelling onder de nagels van tenen of vingers. Vanwege de zeldzaamheid van deze aandoening duurt het enige tijd voor de huisarts de diagnose stelt. Wat moet u doen bij een patiënt met een zwelling onder de nagel?
0 reacties

Casus A

Patiënt A, een 12-jarige jongen, heeft sinds een jaar een zwelling onder de nagel van de rechter grote teen. Aanvankelijk denkt de huisarts aan verruca vulgaris, maar de huidafwijking verdwijnt niet na behandeling met vloeibare stikstof. Histologisch onderzoek wijst op een bloedblaar. De huisarts verwijst de patiënt naar de dermatoloog. Subunguaal aan de rechter grote teen is sprake van een onscherp begrensde, bruine -hyperkeratotische nodulus van 0,6 cm, die de nagelplaat omhoogdrukt. De laesie voelt hard aan. De klinische diagnose luidt digitale exostose [figuur 1]. De dermatoloog laat een röntgenfoto maken, waarop een subunguale exostose aan de tuft van de grote teen van de rechtervoet te zien is [figuur 2]. De patiënt krijgt een verwijzing naar de orthopedisch chirurg voor excisie. Histologisch zijn er geen aanwijzingen voor een maligniteit.

Figuur 1 | De grote teen van patiënt A met exostose zichtbaar distaal op de eindfalanx digitus 1.

De grote teen van patiënt A met exostose zichtbaar distaal op de eindfalanx digitus 1.
De grote teen van patiënt A met exostose zichtbaar distaal op de eindfalanx digitus 1.

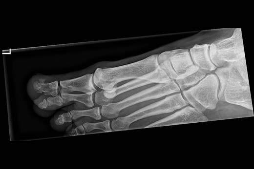
Figuur 2 | Een X-voet (laterale opname) van patiënt A.

Een X-voet (laterale opname) van patiënt A.
Een X-voet (laterale opname) van patiënt A.

Casus B

Patiënte B, een 49-jarige vrouw, bezoekt de huisarts met een pijnlijke granulomateuze zwelling, subunguaal aan de mediale zijde van de linker hallux [figuur 3]. Histologisch onderzoek door de huisarts vermeldt acanthose en hyperkeratose, zonder duiding van maligniteit. Het röntgenonderzoek toont het beeld van een subunguale exostose en de patiënte krijgt een verwijzing naar de orthopedisch chirurg voor excisie [figuur 4].

Figuur 3 | De grote teen van patiënt A met exostose zichtbaar distaal op de eindfalanx digitus 1.

De voet van patiënte B.
De voet van patiënte B.

Figuur 4 | De grote teen van patiënt A met exostose zichtbaar distaal op de eindfalanx digitus 1.

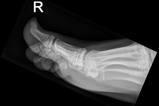
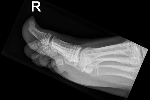
Een X-voet (driekwartopname) van patiënte B. De exostose is zichtbaar op de eindfalanx van digitus 1.
Een X-voet (driekwartopname) van patiënte B. De exostose is zichtbaar op de eindfalanx van digitus 1.

Subunguale exostose

Hutchington heeft in 1857 voor het eerst een subunguale exostose beschreven.1 Sindsdien zijn er allerlei casussen gepubliceerd. Een subunguale exostose is een zeldzame, benigne osteochondrale woekering van een distale falanx. Deze komt het meest voor op de grote teen bij kinderen en volwassenen.2 De pathogenese van een subunguale exostose is onduidelijk. Een infectie, (chronisch) trauma of tumoren zijn als oorzaak beschreven, waarbij (micro)traumata het meest voorkomen.23 Meer dan de helft van patiënten met een subunguale exostose is jonger dan 18 jaar en de man-vrouwverhouding is gelijk.2 De exacte incidentie van een subunguale exostose is niet bekend.

Diagnose

Een subunguale exostose wordt geregeld verward met een verruca vulgaris en daarom is het niet ongebruikelijk dat het enige tijd duurt voor de diagnose subunguale exostose gesteld wordt.24 Vertraging van de diagnose komt in ongeveer 10% van de gevallen voor.2 Snellere herkenning van de diagnose kan de patiënt onnodige, niet-werkzame therapieën besparen. Differentieel diagnostisch valt te denken aan een verruca vulgaris, granuloma pyogenicum, osteosarcoom, enchondroom of glomus tumor.5

Het is niet gemakkelijk om een subunguale exostose te herkennen. De diagnose wordt dikwijls gesteld op basis van de kliniek en radiologisch onderzoek via een röntgenfoto. Een aanwijzing voor een subunguale exostose is de harde consistentie bij palpatie en het ontbreken van het wratachtige uiterlijk, gepaarde gaand met puntbloedinkjes als gevolg van getromboseerde capillairen, zoals bij een verruca vulgaris. Het kan bij het stellen van de diagnose helpen om de aangedane vinger of teen door palpatie te vergelijken met de contralaterale tegenhanger. Radiologisch is een subunguale exostose het beste te diagnosticeren met een lateraal opgenomen röntgenfoto.6 Radiologische kenmerken voor een subunguale exostose zijn een zogenoemde pedunculaire expansie van trabeculair bot, bedekt met radiolucent kraakbeen. Er zijn geen aanwijzingen voor een corticale verstoring of andere afwijkingen aan de distale falanx.6

Behandeling

De behandeling van een subunguale exostose is chirurgisch, waarbij een radicale excisie van de exostose het effectiefst is.2 De meest voorkomende complicatie is onychodystrofie (verkleuring of misvorming van de nagel).2 Adequate wondbehandeling na een excisie, om onder andere beschadiging van het nagelbed en nagelmatrix te voorkomen, kan de kans op onychodystrofie verkleinen.2 Behalve een adequate wondbehandeling zijn ook de locatie en grootte van de exostose van belang voor de uitkomst. De kans op een recidief is groter wanneer er geen complete resectie heeft plaatsgevonden.2 Die kans is ook groter bij een radicale excisie van een subunguale exostose van de teen, dan van de vinger.7

Conclusie

Denk bij een subunguale zwelling (ook) aan een exostose. Het beleid van de huisarts in de casussen was gezien de epidemiologie begrijpelijk. Bij een subunguale exostose is vertraging van de diagnose en daarmee een incorrecte behandeling niet ongebruikelijk. Bij het stellen van de diagnose subunguale exostose spelen palpatie van de huidafwijking en radiologisch onderzoek een belangrijk rol. De effectiefste behandeling is een radicale excisie.

Wanders SL, Linthorst J, Raaijmakers J, Van Praag MCG. Een harde zwelling onder de nagel. Huisarts Wet 2020;63:DOI:10.1007/s12445-020-0841-0.
Mogelijke belangenverstrengeling: niets aangegeven.

Literatuur

Reacties

Er zijn nog geen reacties.