Praktijk

Een onverwachte diagnose bij een brakende patiënte

Gepubliceerd
1 mei 2023
Bij braken wordt doorgaans gedacht aan gastro-intestinale oorzaken. Wanneer deze niet worden gevonden, is het verstandig om terug te gaan naar de basis en de anamnese (opnieuw) af te nemen, inclusief de heteroanamnese. In deze casus leidde dat tot nieuwe diagnostische sporen en uiteindelijk tot de diagnose. We staan stil bij de betekenis van braken als eerste symptoom bij een onderliggende hersentumor en in het bijzonder glioblastomen.
0 reacties
Diagnose bij braken
Braken kan een eerste symptoom zijn van een onderliggende hersentumor.
© Shutterstock

De kern

  • Na het vastlopen in een diagnostisch proces is het aan te raden terug te gaan naar de basis en opnieuw een anamnese af te nemen, inclusief een heteroanamnese.

  • De volgende klachten zijn alarmsymptomen en kenmerkend voor een hersentumor wanneer deze naast aanhoudend (ochtend)braken en/of (nachtelijke) hoofdpijn bestaan:

    • uitvalsverschijnselen

    • insulten

    • leeftijd van ≤ 6 of > 50 jaar

    • persoonlijkheids- of gedragsveranderingen

    • een oncologische voorgeschiedenis

    • langebaanverschijnselen

    • nieuwe houdingsinstabiliteit

De klacht braken als ingangsklacht komt in de huisartsenpraktijk bij 4,8 per 1000 patiënten per jaar voor. 1 Braken wordt gecoördineerd vanuit het braakcentrum in de formatio reticularis van de medulla oblongata. 2 Het braakcentrum ontvangt prikkels die braken kunnen initiëren vanuit de cortex cerebri (stimuli zoals geur), het vestibulaire systeem en cerebellum, de nucleus tractus solitarius (prikkels vanuit het maagdarmkanaal) of de chemoreceptortriggerzone in de area postrema van de hersenstam (medicatie, infecties of oedeem door radiotherapie), of door een verhoogde intracraniële druk. 2 Tumoren kunnen braken veroorzaken door directe prikkeling van het braakcentrum, door een verhoging van de intracraniële druk, door lokale groei langs het ependym en/of tot in de bodem van de vierde ventrikel (area postrema) en door leptomeningeale uitbreiding. 2 , 3 Een verhoogde intracraniële druk geeft aanvankelijk aspecifieke klachten, zoals hoofdpijn, algehele malaise of concentratie- en cognitieve stoornissen. Bij ­toename van de druk ontstaan klachten van braken en verwardheid, en bij voortschrijden van de hersenzenuwuitval bewustzijnsdaling en stoornissen in vitale functies. 3 , 4

Casus | Een vrouw met braakklachten

Een 60-jarige vrouw met een blanco voorgeschiedenis komt op het spreekuur van haar huisarts, omdat ze sinds enkele maanden aanhoudend last heeft van algehele malaise. Ze moet hierbij herhaaldelijk braken, wat ze sinds de laatste week zelfs na iedere maaltijd doet. In de afgelopen 3 maanden is de patiënte met 4 verschillende antibiotica behandeld in verband met recidiverende urineweginfecties. Haar huisarts denkt aanvankelijk dat het braken een bijwerking van de antibiotica is. Bij lichamelijk onderzoek zijn er geen afwijkingen. Wel maakt mevrouw een vermoeide indruk en reageert ze traag bij het beantwoorden van vragen en in haar handelen. Wegens een verslechtering van haar lichamelijk functioneren verwijst haar huisarts haar naar de SEH. De internist daar komt tot dezelfde conclusie als haar huisarts.

Na enige tijd gaat mevrouw opnieuw naar haar huisarts, waarbij ze haar partner meeneemt. De huisarts neemt opnieuw de anamnese af, nu met een heteroanamnese. Haar partner geeft aan dat ze de afgelopen maanden steeds trager reageert en minder initiatief toont. Ook blijkt ze geregeld na het opstaan te moeten braken. De huisarts vermoedt een hersentumor en verwijst de patiënte opnieuw.

Bij neurologisch onderzoek reageert ze traag, is haar concentratievermogen verminderd en heeft ze een breed-basisch looppatroon. Een MRI-scan laat een groot ruimte-innemend proces rechts frontaal zien [figuur 1–3]. Na partiële turmorresectie wijst histologisch onderzoek uit dat het om een glioblastoom gaat.

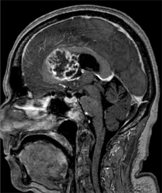
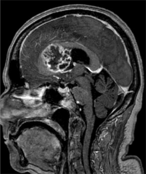
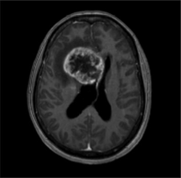
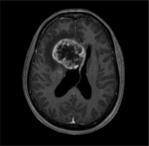
Figuur 1 | Axiale coupe van de MRI-hersenen: we zien een grillig ruimte-innemend proces rechts frontaal met contrastaankleuring, met een omringend vasogeen oedeem, midline shift en doorgroei in de falx cerebri.

Figuur 2 | Sagitale coupe van de MRI-hersenen; zie de omschrijving van figuur 1.

Figuur 3 | Schematische weergave van de hersenen.

Verschijnselen van hersentumoren

De klinische verschijnselen van een hersentumor berusten naast de aan- of afwezigheid van een verhoogde intracra­niële druk op het mechanisme van lokaal functieverlies van hersenweefsel. Dit kan leiden tot motorische uitval, coördinatiestoornissen, visusvermindering, spraak-taalstoornissen, hersenzenuwuitval en endocriene stoornissen. Bij frontaal gelokaliseerde tumoren, zoals in deze casus (algeheel traag handelen), kunnen ook persoonlijkheids- en gedragsveranderingen optreden. 3 , 4 Hoofdpijn kan een symptoom van drukverhoging zijn, waarbij deze doorgaans een drukkend karakter heeft en ook’s nachts kan aanhouden. Tevens kunnen tumoren focale epileptische prikkelingsverschijnselen veroorzaken. 4 , 5

De verschijnselen van hersentumoren hangen grotendeels samen met de lokalisatie in de hersenen, waarbij een hersentumor niet direct gepaard hoeft te gaan met (uitgebreide) focale uitvalsverschijnselen, hoofdpijn of epileptische insulten. Ook wanneer uitvalsverschijnselen ontbreken, kan een hersentumor de oorzaak van (onverklaard) aanhoudend braken zijn. Dit geldt specifiek voor ochtendbraken.

Wanneer ze naast hoofdpijn en/of aanhoudend (ochtend)braken voorkomen, kunnen ook de volgende kenmerken sterke aanwijzingen zijn voor een hersentumor: leeftijd ≤ 6 jaar of > 50 jaar, verminderde concentratie en prestaties op school of op het werk, een oncologische voorgeschiedenis (vooral melanoom, en borst- en longkanker). 1 , 6 Bij het lichamelijk onderzoek is het goed om te letten op uitvalsverschijnselen, (nieuwe) houdingsinstabiliteit en langebaanverschijnselen (pathologische voetzoolreflex(en), verhoogde reflexen en spasticiteit). Daarnaast is het belangrijk om rekening te houden met het feit dat de patiënt zich doorgaans zelf niet bewust is van veranderingen in persoonlijkheid en/of gedrag. De heteroanamnese is een belangrijk instrument om dit te achterhalen. De naaste van de patiënt kan vaak essentiële aanvullingen geven, waar de patiënt zelf geen rekening mee houdt of niet aan denkt.

Hoofdpijn en/of progressief braken zijn in combinatie met de zojuist genoemde klachten reden om op korte termijn met de neuroloog te overleggen over het vermoeden van een hersentumor. 1 , 6

Glioblastoom

Van alle primaire hersentumoren komen gliomen het meest voor (70%). 5 Gliomen ontstaan vanuit gliacellen, die zenuwcellen in de hersenen ondersteunen. Jaarlijks krijgen ongeveer 1100 volwassen patiënten in Nederland de diagnose glioom. De incidentie voor de Europese bevolking ligt rond 6 per 100.000 inwoners. 5 , 7

De World Health Organization (WHO) classificeert gliomen als graad I tot en met graad IV op basis van de histopathologie en moleculaire genetica. 6 Glioblastomen behoren tot de graad IV-gliomen en zijn zeer kwaadaardig. Ze worden gekenmerkt door een snelle groei, waarbij de gemiddelde verdubbelingstijd van een glioblastoom 49,6 dagen is. 8

Een glioblastoom bestaat meestal uit een enkele massa die zich supratentorieel bevindt. 5 Bij beeldvormend MRI-onderzoek wordt de tumor veel beschreven als een ‘door een ring omgeven’ laesie, zoals ook in deze casus [figuur 1]. Door deze ringvorm wordt een glioblastoom soms foutief gediagnosticeerd als een abces. 9 Hooggradige gliomen hebben abnormale vaten die veel ‘lekken’ doordat de bloed-hersenbarrière abnormaal permeabel is, waardoor er op MRI-beelden meestal contrastaankleuring te zien is. Een glioblastoom kan doorgroeien naar aanliggende hersenkwabben of via de liquor. Hij metastaseert echter zelden buiten het zenuwstelsel. 5

Het merendeel van de gliomen is hooggradig, waarvoor geen curatieve behandeling bestaat. Desondanks verbeterde de overleving in de loop der tijd met een stijging van de 1-jaars­overleving van het glioblastoom van 24% naar 36% en de 3-jaarsoverleving van 3% naar 6%. 5 , 10 Door na een resectie de methyleringsstatus van de tumor te bepalen, is beter in te schatten in welke mate de tumor gevoelig is voor chemotherapie. Hierdoor is de therapie gerichter in te zetten, waardoor de overleving verbetert.

Het doel van een neurochirurgische behandeling is een optimale resectie van tumorweefsel. Radiotherapie remt niet alleen de groei van metastasen, maar heeft ook een belangrijk antitumoreffect op glioblastomen. Geen van beide methoden is echter curatief. 5 Met een optimale behandeling is de mediane overlevingstijd van een glioblastoom ongeveer 1,5 jaar na chirurgische resectie, radiotherapie en adjuvante chemotherapie. 11

Conclusie

In deze casus wordt het symptoom braken veroorzaakt door een hersentumor rechts frontaal, met als begeleidende klachten traagheid en initiatiefverlies. Deze symptomen kwamen aan het licht doordat de huisarts een heteroanamnese afnam en een ander diagnostisch spoor inzette. Deze casus illustreert een onverwachte diagnose, die zo snel mogelijk moet worden gesteld om de overlevingskansen van de patiënt te vergroten. Met de kennis van de uiteindelijke diagnose kon het diagnostische proces met een uitgebreidere anamnese worden versneld. Een zorgvuldige volledige (hetero)anamnese is daarom essentieel, waarbij de differentiële diagnose bij patiënten met (onverklaarde) aanhoudende braakklachten altijd een hersentumor moet bevatten.

Lammers T, Beenakker M. Een onverwachte diagnose bij een brakende patiënte. Huisarts Wet 2023;66:DOI:10.1007/s12445-023-2237-4.
Mogelijke belangenverstrengeling: niets aangegeven.

Literatuur

Reacties

Er zijn nog geen reacties.

Verder lezen