De kern
-
Fibromatosis colli is een benigne aandoening waarbij er als gevolg van een verdikking en verkorting van de musculus sternocleidomastoideus een scheve of gedraaide hals met een zwelling kan ontstaan.
-
Bij twijfel kan echografie de diagnose bevestigen. Een punctie of biopsie is niet nodig. Behandeling vindt conservatief plaats door middel van oefeningen, al dan niet onder begeleiding van een fysiotherapeut.
-
Bij een zwelling die in korte tijd ontstaan is, in combinatie met een hoorbare ademhaling en/of apneus, kan er sprake zijn van een bedreigde luchtweg bij een andere onderliggende oorzaak. Overleg met een kinderarts is dan aangewezen.
Casus | Pasgeboren baby met zwelling in de hals
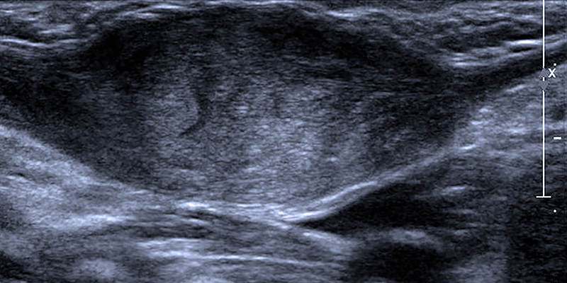
Een 2 weken oude baby komt vanwege een nieuw ontstane zwelling in de hals op het spoedspreekuur van de huisartsenpraktijk [figuur]. Haar moeder vertelt dat ze de zwelling 2 dagen geleden voor het eerst heeft gezien. ’s Nachts hoort ze ademstops. Er is geen sprake van koorts. De zwangerschap en partus verliepen ongecompliceerd. Bij lichamelijk onderzoek voelt de huisarts in de laterale hals een vaste, niet-mobiele zwelling van ongeveer 2 cm doorsnede. Het hoofd staat niet scheef en de ademhaling is hoorbaar. Diezelfde ochtend wordt een echo gemaakt waarop een verdikte musculus sternocleidomastoideus met een diameter van 1,7 cm te zien is, passend bij fibromatosis colli.
Vanwege de anamnestisch snelle groei en de geobjectiveerde hoorbare ademhaling (met daarbij een potentieel bedreigde ademweg) stuurt de huisarts het kind in naar de SEH, waar het ter observatie wordt opgenomen. Gedurende de opname wordt de hoorbare ademhaling niet meer geobjectiveerd en zijn er geen apneus of saturatiedalingen. Enkele weken na start van fysiotherapie wordt de zwelling kleiner en neemt de cervicale bewegingsbeperking af. Gedurende het gehele ziektebeloop ontwikkelt het kind geen scheefhals.
Het is niet geheel duidelijk hoe fibromatosis colli ontstaat. De zwelling in de hals wordt meestal rond de leeftijd van 2 weken opgemerkt en groeit in de 2–4 weken erna. Vervolgens gaat de zwelling in regressie en verdwijnt deze volledig in 5–8 maanden.1 Een van de mogelijke oorzaken die in de literatuur wordt beschreven, is een traumatische partus of een forceps- of vacuümextractie.2 Door een scheur in de musculus sternocleidomastoideus zou een hematoom ontstaan dat fibroseert en vervolgens op die manier zorgt voor verkorting van de spier (met scheefstand en beperkte rotatie tot gevolg). Daarnaast wordt een malpositie van het hoofd in utero, bijvoorbeeld bij een oligohydramnion, als mogelijke oorzaak beschreven. Verder zijn er ook enkele onderzoeken waaruit blijkt dat fibromatosis colli in bepaalde families vaker voorkomt, wat erop kan wijzen dat er van een familiair overervingspatroon sprake kan zijn. Tot op heden zijn daar echter nog geen harde bewijzen voor gevonden.23
De wereldwijde prevalentie van de aandoening betreft 4 op de 1000 pasgeborenen.4 Meestal komt de zwelling unilateraal voor, maar deze kan zich in zeldzamere gevallen ook bilateraal voordoen.25 Daarnaast zien we ze vaker bij jongens dan bij meisjes (ratio 1,5:1,0).2 De reden hiervan is niet bekend.
Kliniek
Het klinische beeld betreft een pasgeborene in de eerste weken na de geboorte met een unilaterale, vaste en scherp afgrensbare zwelling in de hals ter hoogte van de musculus sternocleidomastoideus.2 De hals kan hierdoor scheef of gedraaid zijn, waarbij de nek flecteert en roteert.6 Vanwege de beperkte rotatiemogelijkheden van de nek kan de pasgeborene een voorkeurshouding ontwikkelen. Mocht er alleen een scheefstand of voorkeurshouding aanwezig zijn, dan is het aan te raden om bij lichamelijk onderzoek extra alert te zijn op een zwelling in de hals. Er zijn geen bijkomende neurologische symptomen.
Denk differentieel diagnostisch bij een snelgroeiende zwelling in de hals of bij een verworven torticollis aan onder andere een lymfeklier, laterale halscyste, retrofaryngeaal abces, of zeldzamer, een hygroma colli of neoplasma (neuroblastoom of rabdomyosarcoom).278 Hygroma colli geeft een verdikking in de hals, veroorzaakt door verwijding en vermenigvuldiging van lymfevaten, vaak samenhangend met het syndroom van Turner, Patau, Edwards of Down. De kliniek van dit ziektebeeld is echter minder typisch dan bij fibromatosis colli. Bij een aangeboren torticollis kan er verder nog gedacht worden aan afwijkingen aan de cervicale wervelkolom (scoliose) of een syndroom als er ook sprake is van nystagmus, diplopie of strabisme (brownsyndroom, duanesyndroom).2
Aanvullend onderzoek
Bij twijfel is de diagnose eenvoudig te bevestigen met echografie. Dit is de gouden standaard en heeft bij deze afwijking een sensitiviteit van meer dan 95% en een specificiteit van 83%.911 De kenmerkende radiologische bevinding is een ovale of spoelvormige homogene massa binnen de musculus sternocleidomastoideus. Cysteuze en solide laesies zijn goed van elkaar te onderscheiden. Degene die de echo maakt kijkt naar mogelijk opgezette lymfeklieren en ingroei in omliggende structuren, waardoor fibromatosis colli en bijvoorbeeld een neoplasma van elkaar zijn te onderscheiden, hoewel deze laatste diagnose op deze leeftijd erg onwaarschijnlijk is.41012 Omdat het klinische beeld duidelijk te herkennen is en de aandoening met echografie makkelijk te achterhalen is, is het niet nodig om via een biopt weefsel te verkrijgen. Dit zou tot onnodige invasieve diagnostiek leiden, met alle risico’s en kosten van dien.
Overleg met een kinderarts wanneer de diagnose niet eenduidig is, er neurologische symptomen zijn of wanneer er, naast de snelgroeiende zwelling, sprake is van een hoorbare ademhaling, al dan niet met apneus. Dan kan de ademweg bedreigd zijn en ligt er wellicht een andere oorzaak aan de zwelling ten grondslag. Een biopsie, een MRI van het brein of een oogheelkundig onderzoek kan dan uitsluitsel geven.13
Beleid
Bij een duidelijke diagnose is de behandeling in principe conservatief. Leg de ouders eerst uit waarom er een zwelling en/of scheefstand zichtbaar is. Stel ze ook gerust en vertel dat het een goedaardige aandoening is met een zeer goede kans op genezing via oefeningen thuis, dan wel onder begeleiding van een fysiotherapeut.2 Maak hierin een afweging op basis van de ernst van de klachten en de behoefte van de ouders. Idealiter start het kind tijdig met de oefeningen/behandeling, omdat een onbehandelde fibromatosis colli kan leiden tot plagiocefalie (schedelafplatting) als gevolg van de voorkeurshouding van de pasgeborene, in combinatie met de open schedelnaden.12 Zo is het belangrijk dat de ouders tijdens het voeden de fles of borst aanbieden aan de kant van het gelaat die weggedraaid is. Ook is het aan te raden de voorkeurskant van het licht vandaan te leggen en speelgoed/stimuli aan de andere zijde aan te bieden.14
De behandeldoelen zijn: 1) het opnieuw verkrijgen van de hoofdstand in de midline en symmetrie van het aangezicht, 2) het opheffen van de cervicale bewegingsbeperking en 3) het stimuleren van de symmetrische grofmotorische ontwikkeling.212 Hoe eerder de behandeling start, des te sneller er resultaat is. Als de behandeling rond de leeftijd van 1 maand begint, is er bij 98% van de baby’s vaak na 1,5 maand weer een bijna volledig normale stand zichtbaar. Wanneer het kind later start, kan de behandeling ≥ 6 maanden langer duren voor hetzelfde effect is bereikt.7914 Mocht plagiocefalie zijn ontstaan, dan is de schedelvorm van de meeste kinderen op de leeftijd van 2 jaar volledig genormaliseerd.15
Verwijzing naar een plastisch chirurg/kinderchirurg/kaakchirurg voor eventuele chirurgische correctie is aangewezen wanneer de hoek meer dan 15 graden blijft, indien er na 6 maanden behandeling weinig vooruitgang is geboekt (ongeacht de leeftijd van het kind) of als het kind ouder is dan 12 maanden, in combinatie met een late diagnose of te weinig vooruitgang bij conservatieve therapie.14
Conclusie
Fibromatosis colli is een benigne aandoening waarbij er een scheefstand van de nek kan ontstaan door een verdikking en verkorting van de musculus sternocleidomastoideus. Het is een klinische diagnose. Behandeling is conservatief en betreft fysiotherapie. Overleg met een kinderarts is aangewezen wanneer de snelgroeiende zwelling gepaard gaat met een hoorbare ademhaling en/of apneus. Verwijzing voor eventuele chirurgische correctie is in zeldzame gevallen nodig als conservatieve therapie onvoldoende resultaat oplevert.
Helaas is er tot op heden weinig literatuur te vinden en zijn er vooral case reports over dit ziektebeeld gepubliceerd. Wellicht heeft de zeldzaamheid van het ziektebeeld hier iets mee te maken. Mogelijk zou een bundeling van deze case reports tot een (systematische) review meer duidelijkheid kunnen verschaffen.
Literatuur
- 1.↲Cheng JC, Tang SP, Chen TM. Sternocleidomastoid pseudotumor and congenital muscular torticollis in infants: a prospective study of 510 cases. J Pediatr 1999;134:712-6.
- 2.↲↲↲↲↲↲↲↲↲Macias CG, Phillips WA, Torchia MM. Congenital muscular torticollis: clinical features and diagnosis. 2021. Beschikbaar via: https://www.uptodate.com/contents/congenital-muscular-torticollis-clinical-features-and-diagnosis#. Geraadpleegd op 24 december 2021.
- 3.↲Engin C, Yavuz SS, Sahin FI. Congenital muscular torticollis: is heredity a possible factor in a family with five torticollis patients in three generations? Plast Reconstr Surg 1997;99:1147-50.
- 4.↲↲Lowry KC, Estroff JA, Rahbar R. The presentation and management of fibromatosis colli. Ear Nose Throat J 2010;89:E4-8.
- 5.↲Durnford LR, Patel MSE, Khamar R, Ruhaid Khurram R. Bilateral sternocleidomastoid pseudotumors – a case report and literature review. Radiol Case Rep 2021;16:964-7.
- 6.↲Cheng JCY, Tang SP, Chen TM, Wong MW, Wong EM. The clinical presentation and outcome of treatment of congenital muscular torticollis in infants; a study of 1,086 cases. J Pediatr Surg 2000;35:1091-6.
- 7.↲↲Jaber MR, Goldsmith AJ. Sternocleidomastoid tumor of infancy: two cases of an interesting entity. Int J Pediatr Otorhinolaryngol 1999;47:269-74.
- 8.↲Passarello L, Bhurawala H. Fibromatosis colli: an infant with neck swelling. Aust J Gen Pract 2019;48:751-2.
- 9.↲↲, Goldenberg JD. Maddalozzo J. Ear Nose Throat J 1996;75:48-54.
- 10.↲Chen MM, Chang HC, Hsieh CF, Yen MF, Chen THH. The value of high-frequency and color Doppler ultrasonography in diagnosing congenital muscular torticollis. Arch Phys Med Rehabil 2005;86:2199-203. Predictive model for congenital muscular torticollis: analysis of 1021 infants with sonography
- 11.↲Wang L, Zhang L, Tang Y, Qiu L. The value of high-frequency and color Doppler ultrasonography in diagnosing congenital muscular torticollis. BMC Musculoskelet Disord 2012;13:209.
- 12.↲↲↲Rousslang LK, Rooks EA, Smith AC, Wood JR. Fibromatosis colli leading to positional plagiocephaly with gross anatomical and sonographic correlation. BMJ Case Rep 2021;14:e239236.
- 13.↲Kinderneurologie.eu. Congenitale musculaire torticollis. 2019. Beschikbaar via: https://www.kinderneurologie.eu/ziektebeelden/kinderhoofdjes/congenitale musculaire torticollis.php. Geraadpleegd op 30 augustus 2022.
- 14.↲↲↲Kaplan SL, Coulter C, Sargent B. Physical therapy management of congenital muscular torticollis: a 2018 evidence-based clinical practice guideline from the APTA Academy of Pediatric Physical Therapy. Pediatr Phys Ther 2018;30:240-90.
- 15.↲Schers H. Scheef koppie. Huisarts Wet 2008;51:683.
Reacties
Er zijn nog geen reacties.