Praktijk

Een verrassende oorzaak van dyspneu: Rendu-Osler-Weber

Gepubliceerd
25 februari 2019
Er komt een patiënte op het spreekuur die last heeft van inspanningsdyspneu en pijn op de borst. De huisarts denkt aan een cardiale oorzaak. Toch is er iets anders aan de hand, want er zijn klinische aanwijzingen voor een zeldzame aandoening: de ziekte van Rendu-Osler-Weber. Waar moet u op letten?
0 reacties

Casus

Een zeventigjarige vrouw bezoekt het spreekuur van haar huisarts, omdat ze sinds een jaar last heeft van progressieve dyspneu bij inspanning en de vorige dag drukkende pijn op de borst kreeg. Ze gebruikt geen medicijnen en haar voorgeschiedenis levert aanvankelijk geen duidelijke aanwijzingen op. Bij lichamelijk onderzoek zijn ademfrequentie, bloeddruk, pols, hart en longgeluiden normaal. Wel is de zuurstofsaturatie laag (89%).

Haar huisarts verwijst haar naar de Eerste Harthulp, waar de uitslag van het bloedonderzoek (troponine en d-dimeer) normaal blijkt te zijn, afgezien van een hypoxemie (pO2 58 mmHg; normaal 75-100 mmHg). Op de thoraxfoto zijn verdichtingen te zien [figuur 1], die na hogeresolutiecomputertomografie op pulmonale arterioveneuze malformaties blijken te berusten [figuur 2]. Er is tevens sprake van een forse rechts-links shunt. De patiënte geeft aan vaak bloedneuzen te hebben, net als haar jongere broer. Een oudere broer blijkt vroeger geopereerd te zijn aan een pulmonale malformatie.

Bij nieuw lichamelijk onderzoek vallen trommelstokvingers en horlogeglasnagels op [figuur 3], naast teleangiëctasieën op de lippen en de tong [figuur 4]. Op basis hiervan wordt de diagnose ziekte van Rendu-Osler-Weber gesteld.

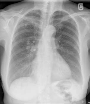
X-thorax: diverse intrapulmonale verdichtingen mediaal in de rechter long
X-thorax: diverse intrapulmonale verdichtingen mediaal in de rechter long

Figuur 1 | X-thorax: diverse intrapulmonale verdichtingen mediaal in de rechter long

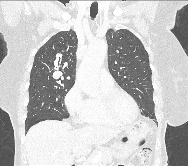
Hogeresolutiecomputertomografie-thorax: pulmonale arterioveneuze malformaties in de rechter long
Hogeresolutiecomputertomografie-thorax: pulmonale arterioveneuze malformaties in de rechter long

Figuur 2 | Hogeresolutie-computertomografe-thorax: pulmonale arterioveneuze malformaties in de rechter long

De ziekte van rendu-osler-weber

De ziekte van Rendu-Osler-Weber (ROW), ook wel hereditary hemorrhagic telangiectasia genoemd, is een erfelijke autosomaal dominante aandoening die wordt veroorzaakt door mutaties van het gen dat codeert voor bepaalde eiwitten in de wanden van de bloedvaten: ‘endogline’ (ROW-type 1) of ‘activin receptor-like kinase 1’ (ROW-type 2).1

De hoogste bekende prevalentie (1 op 1331) vinden we op Curaçao en Bonaire.2 De prevalentie in Nederland ligt rond 1 op 5000.3 Bij het Rendu-Osler-Weber-expertisecentrum van het St. Antonius Ziekenhuis zijn er zo’n 1400 mensen van wie bekend is dat zij deze ziekte hebben.3 Dat betekent dat een groot aantal mensen nog zonder diagnose rondloopt.

Ongeveer 70% van de patiënten krijgt de eerste symptomen rond het zestiende levensjaar, oplopend tot 90% rond het veertigste levensjaar. Als symptoom zien we vaak bloedingen door de teleangiëctasieën en arteriële malformaties, die zich op verschillende plekken kunnen bevinden.

Bloedneuzen en arterioveneuze malformaties

Spontane herhaaldelijke bloedneuzen door teleangiëctasieën in de nasale mucosa komen het vaakst voor – maar liefst 97% van de patiënten met ROW vertelde last te hebben van bloedneuzen.4 De bloedneuzen doen zich gewoonlijk voor de puberteit voor, zijn progressief, en vaak hevig en langdurig van aard. Mucocutane teleangiëctasieën komen tevens voor op de lippen, tong en vingertoppen. Herhaaldelijke gastro-intestinale bloedingen treden op bij eenderde van de patiënten, vooral bij patiënten ouder dan veertig jaar.5

Ook komen arterioveneuze malformaties (AVM) voor in de lever (8 tot 16%), hersenen (15%) en longen (20 tot 35%).6 Naar schatting 60 tot 90% van de patiënten met pulmonale arterioveneuze malformaties (PAVM) blijkt uiteindelijk ROW te hebben.6 Deze malformaties geven kans op klachten en complicaties. Bij de lever kan dat zich uiten als angine abdominale, inspanningsdyspneu of vermoeidheid als gevolg van een falende leverfunctie. In de hersenen leidt dit mogelijk tot migraine en epilepsie, maar daarnaast ook tot levensbedreigende complicaties als een bloeding.7

Bij patiënten met PAVM bleek volgens twee reviews 48 tot 56% dyspneuklachten te ervaren en 6 tot 14% pijn op de borst.89 Ook kunnen door stasis van bloed en het ontbreken van een ‘filterend vaatbed’ paradoxale (en mogelijk septische) embolieën in de systemische circulatie terechtkomen. Deze kunnen een herseninfarct of hersenabces veroorzaken. PAVM veroorzaken een rechts-links shunt, waardoor er geen adequate oxygenatie plaatsvindt en hypoxemie ontstaat. Trommelstokvingers (verdikte vingertoppen) en horlogeglasnagels (opbollende nagels) komen bij 22 tot 32% van de patiënten voor.89 Deze typische afwijkingen aan de vingers hangen samen met chronische hypoxie, voornamelijk door pulmonale oorzaken (longfibrose, arterioveneuze malformaties, longmaligniteiten) en cardiale oorzaken (hartfalen, aangeboren hartafwijkingen).10 Hemoptoë kan optreden wanneer de dunne wand van een PAVM barst, wat zelden voorkomt en kan leiden tot een hematothorax. Hemoptoë bij patiënten met ROW is echter meestal het gevolg van bloedende teleangiëctastieën uit het kno-gebied.

Trommelstokvingers met horlogeglasnagels
Trommelstokvingers met horlogeglasnagels

Figuur 3a en b | Trommelstokvingers met horlogeglasnagels

Het stellen van de diagnose

De diagnose ROW kan gesteld worden indien voldaan wordt aan drie of meer van de Curaçao-criteria [tabel].11

De patiënte uit de casus heeft last van inspanningsdyspneu en pijn op de borst. Deze klachten worden veroorzaakt door een pulmonale arterioveneuze malformatie. Omdat de huisarts aanvankelijk denkt aan een cardiale oorzaak van de klachten, stuurt hij de patiënte door naar de Eerste Harthulp. Hypoxemie bij een PAVM kan echter ook pijn op de borst geven. Later blijkt dat de huisarts enkele klinische aanwijzingen over het hoofd heeft gezien, zowel bij de anamnese (recidiverende bloedneuzen, familieanamnese) als bij het lichamelijk onderzoek (trommelstokvingers, teleangiëctasieën). Trommelstokvingers passen niet specifiek bij ROW, maar zijn een teken van chronische hypoxie, hetgeen verder onderzoek vereist. Aangezien de PAVM kunnen leiden tot ernstige complicaties is behandeling ervan noodzakelijk. De behandeling van eerste keus is embolisatie, wat ook bij de patiënte heeft plaatsgevonden.12 Na embolisatie ervoer ze een duidelijke verbetering van de inspanningsdyspneu. Uit genetisch onderzoek blijkt dat de patiënte een mutatie in het gen heeft dat codeert voor het eiwit endogline. Dit veroorzaakt ROW-type 1. Er zal nog nader onderzoek volgen naar de aanwezigheid van andere vaatmalformaties. Tevens zullen eerstegraadsfamilieleden worden gescreend. De jongere broer van de patiënte, die last heeft van hevige bloedneuzen, zou hiermee dezelfde diagnose kunnen krijgen.

Teleangiëctasieën op lippen en tong
Teleangiëctasieën op lippen en tong

Figuur 4 | Teleangiëctasieën op lippen en tong

Conclusie

De ziekte van Rendu-Osler-Weber is zeldzaam, maar gezien de prevalentie van 1 op 5000 loopt er in de meeste groepspraktijken wel een nog niet gediagnostiseerde patiënt mee rond. Kijk daarom voortaan bij een patiënt met onbegrepen inspanningsdyspneu ook eens gericht naar de huid en vingers, en vraag naar bloedneuzen. Wie weet spoort u zo een patiënt of misschien zelfs familie met ROW op.

Tabel: De Curaçao-criteria. De diagnose ziekte van Rendu-Osler-Weber (ROW) kan gesteld worden bij aanwezigheid van drie of meer criteria11
Criteria Kenmerken
Bloedneuzen Spontaan en recidiverend
Teleangiëctasieën Multipel en op karakteristieke lokalisaties (neus, vingers, lippen, tong)
Viscerale afwijkingen Gastro-intestinale teleangiëctasieën of arterioveneuze malformaties in longen, hersenen, ruggenmerg of lever
Familieanamnese positief Een eerstegraadsfamilielid met ROW
Beijer TR, Spaanderman A. Een verrassende oorzaak van dyspneu: Rendu-Osler-Weber. Huisarts Wet 2019;62:DOI:10.1007/s12445-019-0025-y.
Mogelijke belangenverstrengeling: niets aangegeven.

Literatuur

Reacties

Er zijn nog geen reacties.