De kern
-
Littekenendometriomen ontstaan door versleping van endometriumcellen tijdens gynaecologische operaties.
-
Vrouwen hebben een pijnlijke zwelling in of nabij het litteken. Slechts bij een deel van hen hangen de klachten samen met de menstruatie.
-
Een littekenendometrioom komt zelden voor en wordt vaak gemist.
-
Voor het stellen van de diagnose is echoscopie nodig.
-
De behandeling bestaat uit ruime excisie.
Bij endometriose bevindt zich endometriumachtig weefsel op plaatsen buiten de uterus, waar het een chronische ontstekingsreactie veroorzaakt. Deze aandoening treft uitsluitend vrouwen in de reproductieve fase en is met 2 tot 10% de meest voorkomende chronische en benigne gynaecologische aandoening.1 Endometriose kan zich manifesteren als dysmenorroe, chronische pijn in het kleine bekken, dyspareunie en/of fertiliteitsproblemen. Van het begin van de klachten tot het stellen van de diagnose kent endometriose in Nederland een lange delay van maar liefst 89 maanden. Hiervan zijn 35 maanden toe te schrijven aan doctor’s delay van huisartsen. Redenen van de vertraging zijn kennistekort en beperkte ervaring door weinig exposure, en de grote variatie in de symptomen. Wanneer de patiënte eenmaal is verwezen, gelden dezelfde redenen en volgt vaak uitstel van de invasieve diagnostisering met laparoscopie.2 Locaties kunnen intrapelvien zijn, zoals op de ovaria en het peritoneum van het kleine bekken, maar ook extrapelvien, zoals op darmen en longen. In deze laatste categorie valt een van de meest zeldzame varianten: endometriose van de buikwand.
Casus | Een vrouw met pijn bij haar sectiolitteken
Een 35-jarige vrouw komt bij haar huisarts omdat ze sinds 3 maanden pijn heeft bij haar sectiolitteken. Vijf maanden postoperatief krijgt ze steeds meer last van een continu aanwezige brandende en stekende pijn bij het sectiolitteken. Pijnstilling helpt niet. De pijn houdt geen verband met haar menstruaties.
Bij lichamelijk onderzoek ziet haar huisarts een rustig sectiolitteken, zonder zwelling of roodheid. Links craniolateraal van het litteken is een subcutane zwelling van 2 x 1,5 cm te voelen, die pijnlijk is bij palpatie. De zwelling is niet te reponeren en de valsalvamanoeuvre geeft geen verandering. Haar huisarts denkt dat er een beklemde littekenbreuk is en verwijst mevrouw voor een spoedecho.
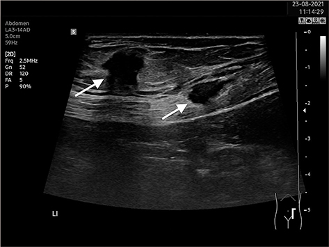
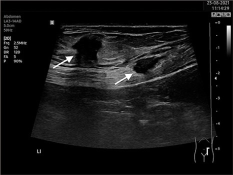
Op de echo is bij de pijnlocatie in het diepe subcutane vet een echoarme, heterogene en niet-comprimeerbare laesie van 15 x 10 x 9 mm te zien, met 1 cm caudaal hiervan, oppervlakkig in de buikspier, een echoarme ovale heterogene laesie van 6 x 13 mm [figuur]. Het lijkt om 2 endometriomen te gaan. Haar voorgeschiedenis bevatte geen klachten die bij endometriose passen. Na chirurgische behandeling is ze klachtenvrij.
Figuur | Op de echo van de patiënte zijn 2 endometriomen te zien in de subcutis en in de buikspier.
Endometriose van de buikwand
Bij endometriose van de buikwand is het ectopische endometriumweefsel ingebed in de subcutane laag en de spieren van de buikwand, of in het littekenweefsel van de huid. Dit kan spontaan ontstaan, maar ontwikkelt zich in de meeste gevallen (85%) na obstetrische en gynaecologische operaties, zoals een sectio (57%), hysterectomie of laparoscopie voor pelviene endometriose.3 De incidentie ligt volgens schattingen op 0,03 tot 0,45% na een sectio, en neemt mogelijk toe door de stijgende frequentie van sectio’s.4 De pathofysiologie berust volgens de ‘implantatietheorie’ op het peroperatief verslepen van endometriumcellen naar de incisiewond. Daar groeien deze onder invloed van hormonen en andere gunstige condities uit tot littekenendometriomen.5
Klinisch beeld
Bij endometriose van de buikwand zien we in 96% van de gevallen een palpabele zwelling in of nabij een litteken, die tijdens menstruaties in volume kan toenemen. Van de vrouwen ervaart 87% pijn en bij 57% is deze pijn gerelateerd aan de menstruatie.5 Soms is de huid aangedaan, variërend van hyperpigmentatie in het litteken tot cyclische bruine afscheiding uit het litteken.6 De tijd tussen de operatie en het ontstaan van een endometrioom is gemiddeld 2,6 jaar, en ligt tussen een maand en 20 jaar.7 Een voorgeschiedenis van pelviene endometriose is geen marker voor het krijgen van een littekenendometrioom. Het hebben van een littekenendometrioom maakt de kans op het krijgen van pelviene endometriose niet groter.5
Diagnose en behandeling
(Huis)artsen herkennen littekenendometriomen vaak niet. Tussen de start van de symptomen en de behandeling liggen gemiddeld 28 maanden.7 Het is niet duidelijk waarom artsen deze aandoening missen, maar het zal ongetwijfeld te maken hebben met de onbekendheid ervan. Er is een uitgebreide differentiële diagnose op te stellen van pijn in of bij een buikwandlitteken met een palpabele zwelling [tabel]. Op basis van anamnese en lichamelijk onderzoek is het onderscheid met een beklemde littekenbreuk (zie de casus) moeilijk te maken. Echografisch zullen de intacte buikwandfascie en het ontbreken van interne flow echter duidelijk wijzen op een littekenendometrioom. Goede differentiatie is van belang omdat alternatieve diagnoses een andere behandeling vereisen.
Echoscopie is voldoende voor het stellen van de diagnose. Het endometrioom heeft een echografisch beeld van een rond of ovaal heterogeen echoarm gebied zonder flow, waarbij we intern typische echorijke delen en fibrotische veranderingen kunnen zien [figuur]. Vier procent van de patiëntes heeft dus geen zwelling, maar wel pijn. Na overleg met de patiënte kan al dan niet een echo worden gemaakt.
MRI heeft slechts toegevoegde waarde wanneer echoscopie geen uitsluitsel geeft en als meer ruimtelijke oriëntatie nodig is voor preoperatieve planning. Het is belangrijk te weten dat het uiterlijk van een endometrioom afhankelijk kan zijn van de menstruatiefase en van de hoeveelheid aanwezig menstruatiebloed en inflammatie tijdens de beeldvorming.8
De behandeling bestaat uit ruime chirurgische verwijdering. Bij 95% van de gevallen leidt dit tot volledige genezing en de kans op recidief is 5%.5 Denk bij een recidief aan maligne ontaarding, wat bij 1% voorkomt.910 Afhankelijk van de locatie, en de kennis en vaardigheid van de chirurg wat betreft dit ziektebeeld, verwijst u naar de algemeen chirurg, gynaecoloog of plastisch chirurg. Anticonceptie heeft geen plaats in de behandeling van littekenendometriomen, omdat we weten dat deze endometrioselaesies alleen maar onderdrukt en niet doet verdwijnen.1
Conclusie
Een littekenendometrioom is een zeldzame complicatie van een gynaecologische chirurgische ingreep waarbij endometriumcellen naar de incisiewond worden versleept en onder gunstige condities uitgroeien tot endometriose van de buikwand. Denk aan deze ongewone diagnose wanneer een vrouw nabij een litteken van een gynaecologische operatie al dan niet cyclus-gerelateerde lokale pijn en zwelling van de buikwand heeft.
| Diagnose | Pathologie | Klinisch beeld | Echobeeld |
|---|---|---|---|
| Keloïd | Overmatige proliferatie van littekenweefsel |
■ Huid ■ In operatielitteken ■ Meer jeuk dan pijn ■ Geen relatie met menstruatie |
■ Langgerekt ■ Homogeen ■ Echoarm ■ Geen interne flow ■ Geen onderscheid met andere weke delen |
| Granuloom | Afgebakende opeenhoping van macrofagen die ontstaat als opruimreactie op deeltjes die het lichaam niet goed kan verwerken |
■ Subcutis ■ Mogelijk multipele plekken op de plaats van injecties of hechtmateriaal ■ Asymptomatisch of milde pijn ■ Geen relatie met menstruatie |
■ Ovaal/rond ■ Heterogeen ■ Echoarm met echorijke gebieden ■ Geen interne flow ■ In een later stadium calcificaties |
| Hernia cicatricalis | Defect van buikwand met uitstulping van intra-abdominaal vet of darm |
■ Fascie ■ Nabij operatielitteken ■ Mogelijk reponibel ■ Neemt toe met de valsalvamanoeuvre ■ Pijn afhankelijk van inklemming ■ Geen relatie met menstruatie |
■ Ovaal/rond ■ Heterogeen ■ Echoarme darm of echorijk vetweefsel in herniazak ■ Interne flow ■ Onderbreking buikwandfascie |
| Desmoïdtumor | Goedaardige lokaal-invasieve wekedelentumor vanuit schuine of rechte buikspieren, met grote kans op recidief en kleine kans op metastasering |
■ Buikspieren ■ Nabij operatielitteken ■ Geleidelijk groeiend ■ Gelobuleerd bij palpatie ■ Milde tot hevige pijn, afhankelijk van lokale doorgroei ■ Geen relatie met menstruatie |
■ Gelobuleerd ■ Heterogeen ■ Echoarm ■ Interne flow |
| Littekenendometrioom | Iatrogene endometriose van de buikwand na gynaecologische operatie |
■ Huid, subcutis, fascie of buikspieren ■ In of nabij (gynaeologisch) operatielitteken ■ Soms variërend in omvang ■ Matige tot hevige pijn ■ Vaak relatie met menstruatie |
■ Ovaal/rond ■ Heterogeen ■ Echoarm ■ Interne echorijke delen en fibrotische veranderingen ■ Geen interne flow |
Literatuur
- 1.↲↲Van der Zanden M. Endometriose. In: Lagro-Janssen T, Teunissen D. Praktische huisartsgeneeskunde. Urogynaecologie. Houten: Bohn Stafleu van Loghum: 2020:179-91.
- 2.↲Staal AH, Van der Zanden M, Nap NW. Diagnostic delay of endometriosis in the Netherlands. Gynecol Obstet Invest 2016;81940:321-4.
- 3.↲Sumathy S, Mangalakanthi J, Purushothaman K, Sharma D, Remadevi C, Sreedhar S. Symptomatology and surgical perspective of scar endometriosis: a case series of 16 women. J Obstet Gynaecol India 2017;67:218-23.
- 4.↲Chang Y, Tsai EM, Long CY, Chen YH, Kay N. Abdominal wall endometriomas. J Reprod Med 2009;54:155-9.
- 5.↲↲↲↲Horton JD, Dezee KJ, Ahnfeldt EP, Wagner M. Abdominal wall endometriosis: a surgeon’s perspective and review of 445 cases. Am J Surg 2008;196:207-12.
- 6.↲Alnafisah F, Dawa SK, Alalfy S. Skin endometriosis at the caesarean section scar: a case report and review of the literature. Cureus 2018;10:e2063.
- 7.↲↲Zhang P, Sun Y, Zhang C, Yang Y, Zhang L, Wang N, et al. Cesarean scar endometriosis: presentation of 198 cases and literature review. BMC Womens Health 2019;19:14.
- 8.↲Kocher M, Hardie A, Schaefer A, McLaren T, Kovacs M. Cesarean-section scar endometrioma: a case report and review of the literature. J Radiol Case Rep 2017;11:16-26.
- 9.↲Leng J, Lang J, Guo L, Li H, Liu Z. Carcinosarcoma arising from atypical endometriosis in a cesarean section scar. Int J Gynecol Cancer 2006;16:432-5.
- 10.↲Carsote M, Terzea DC, Valea A, Gheorghisan-Galateanu AA. Abdominal wall endometriosis (a narrative review). Int J Med Sci 2020;17:536-42.
Reacties
Er zijn nog geen reacties.