Praktijk
Erythema ab igne: herkenning en behandeling van ‘kachelbenen’
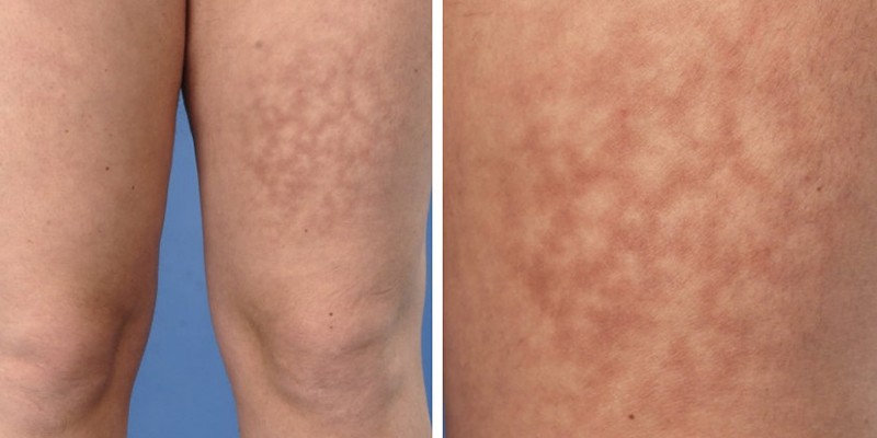
Kachelbenen (erythema ab igne) worden veroorzaakt door chronische blootstelling aan warmtebronnen of infraroodstraling gedurende enkele uren (6–8 uur), meerdere dagen per week. Deze huidafwijking wordt gekenmerkt door een netvormig patroon van erytheem en bij langdurige expositie een roodbruine pigmentatie met teleangiëctasieën. Deze verschijnselen werden vaak gezien toen men zich nog warmde bij open vuur en kachels, en werden daarom ook wel ‘kachelbenen’ genoemd. De aandoening kan echter ook op andere delen van het lichaam voorkomen.
Verder lezen?
Dit artikel is alleen toegankelijk voor abonnees. Huisarts & Wetenschap brengt huisartsen op de hoogte van de laatste wetenschappelijke ontwikkelingen.