Praktijk

Excisie? Stuur biopt altijd op

Gepubliceerd
30 juli 2019
De NHG-Standaard Verdachte huidafwijkingen bevat aanbevelingen voor de diagnostiek en behandeling van de meest voorkomende benigne en (pre)maligne huidafwijkingen. Daarbij is histologisch onderzoek van biopten van groot belang. Het afzien of uitstellen van histologisch onderzoek kan tot onverwachte diagnoses leiden, met soms verstrekkende gevolgen voor de patiënt. Adequate toepassing van de NHG-Standaard is daarom aan te raden.
2 reacties
amelanotisch melanoom
Een voorbeeld van een amelanotisch melanoom op de arm van een 82-jarige vrouw (met dank aan dr. J. Toonstra voor het ter beschikking stellen van de foto)
© J. Toonstra

Drie ziektegeschiedenissen

Storende bultjes

Patiënte A, een 41-jarige vrouw, bezoekt een cosmetische privékliniek vanwege storende bultjes. De dermatoloog ontdekt daar op haar linker onderarm een circumscripte erythematosquameuze laesie met een doorsnede van 9 mm en denkt dat mevrouw een superficieel basaalcelcarcinoom (BCC) kan hebben [figuur 1]. Ze verwijst mevrouw naar haar huisarts. Overeenkomstig de NHG-Standaard Verdachte huidafwijkingen neemt deze een 3 mm punchbiopt voor histopathologisch onderzoek. Er blijkt sprake van een niet radicaal verwijderde melanoma in situ. De met spoed geconsulteerde dermatoloog in het ziekenhuis vindt verder geen verdachte moedervlekken en denkt dat de laesie klinisch het meest past bij een BCC. Hij vermoedt dat er sprake is van een sample error. Mede omdat patiënte huiverig is voor een lelijk groot litteken wordt de laesie met slechts 3 mm marge onder fieldblock-anesthesie geëxcideerd. PA-onderzoek laat opnieuw een nu radicaal verwijderd melanoma in situ zien. In navolging van de melanoomrichtlijn volgt een tweede excisie om tot de aanbevolen 5 mm marge te komen.

Figuur 1 | Een door de patiënte zelf genomen vakantiefoto (detail van de linker onderarm)

Een door de patiënte zelf genomen vakantiefoto (detail van de linker onderarm)
Een door de patiënte zelf genomen vakantiefoto (detail van de linker onderarm)

Veranderende, jeukende moedervlek

Patiënte B is een 23-jarige vrouw die in september haar huisarts bezoekt vanwege een veranderende, jeukende moedervlek op haar rechter schouder. De laesie bloedt en de huisarts vermoedt dat dit komt doordat ze eraan krabt en stelt haar gerust. In november ziet haar huisarts duidelijke veranderingen en verwijst haar alsnog naar de dermatoloog. Vanwege de jonge leeftijd van de patiënte denkt de huisarts niet aan een maligniteit en zet hij geen spoedverwijzing in gang. De patiënte krijgt voor januari een nieuwe afspraak. Ze besluit niet naar die afspraak te gaan vanwege de hoge kosten door het verplichte eigen risico en vraagt de huisarts om de excisie zelf te verrichten. Omdat deze geen noodzaak ziet tot nader histopathologisch onderzoek en dit bovendien extra kosten met zich mee zou brengen, besluit hij in overleg met de patiënte de moedervlek niet op te sturen. Tijdens de ingreep blijkt echter dat de plek gemakkelijk bloedt en daarom besluit de huisarts toch histopathologisch onderzoek te laten doen. Dat brengt een in de bodem niet radicaal verwijderd, superficieel spreidend melanoom met een breslowdikte van 2,5 mm met ulceratie aan het licht [figuur 2 en 3]. Na verwijzing volgen een re-excisie van het litteken met 2 cm marge met de sentinel node-procedure, en een aanvullende PET-CT-scan. De tumor blijkt volledig verwijderd, maar er is wel een macrometastase met een doorsnede van 6 mm in de sentinel node uit de rechter axilla. Er zijn geen aanwijzingen voor metastasen op afstand (classificatie pT3bN1aM0 Stadium IIIC). De patiënte krijgt een verwijzing naar een tertiair melanomencentrum voor eventuele aanvullende systemische therapie in trialverband.

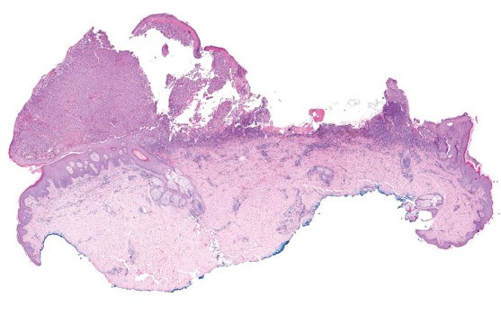
Figuur 2 | Excisiepreparaat melanoom in HE-kleuring (10 maal)

Excisiepreparaat melanoom in HE-kleuring (10 maal)
Excisiepreparaat melanoom in HE-kleuring (10 maal)

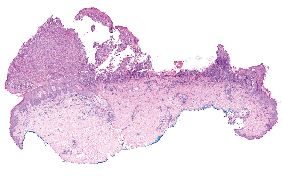
Figuur 3 | Hetzelfde excisiepreparaat, met uitleg van de histologie

Hetzelfde excisiepreparaat, met uitleg van de histologie
Hetzelfde excisiepreparaat, met uitleg van de histologie

Zwelling in nek

Patiënte C is een 57-jarige vrouw die bij haar huisarts komt met een half jaar oude zwelling in haar nek. Een echografie laat een echorijke structuur zien met een doorsnede van 2 cm met meerdere cysten. Op een aanvullende MRI-scan is een ronde, gladbegrensde solide laesie in de subcutis zichtbaar, dicht langs een neurovasculair bundeltje, dat aankleurt. Dat kan wijzen op een schwannoom of neurogene tumor. Echogeleide biopsie met PA-onderzoek brengt avitaal tumoreus weefsel aan het licht, dat positief is voor melanocytaire markers, die kunnen wijzen op een metastase van een melanoom. De geconsulteerde dermatoloog vindt nergens atypische naevi en de aanvullende PET-CT-scan vertoont verder geen overtuigende aanwijzingen voor een primair melanoom of metastase. De metastase wordt radicaal verwijderd. Bij het uitdiepen van de anamnese blijkt dat de huisarts ongeveer vier jaar eerder lateraal van deze zwelling een ‘bloedblaar’ heeft verwijderd, die niet histologisch is onderzocht [figuur 4].

Figuur 4 | Een voorbeeld van een amelanotisch melanoom op de arm van een 82-jarige vrouw (met dank aan dr. J. Toonstra voor het ter beschikking stellen van de foto)

Een voorbeeld van een amelanotisch melanoom op de arm van een 82-jarige vrouw (met dank aan dr. J. Toonstra voor het ter beschikking stellen van de foto)
Een voorbeeld van een amelanotisch melanoom op de arm van een 82-jarige vrouw (met dank aan dr. J. Toonstra voor het ter beschikking stellen van de foto)

Beschouwing

Discrepantie klinisch beeld en histologie

Bij patiënte A bleek er een discrepantie te bestaan tussen het klinische beeld en de histologie. De meeste melanomen zijn superficieel spreidend en zijn relatief duidelijk te herkennen door de asymmetrie in de kleur en/of de vorm in twee dimensies.1 De melanomen die vaker niet worden herkend (ook niet door dermatologen) zijn meestal nodulair en/of amelanotisch van karakter, maar kunnen dus ook op een BCC lijken. Uit onderzoek bleek dat dermatologen, plastisch chirurgen en huisartsen respectievelijk 75, 45 en 26% van de gevallen van cutane maligniteit adequaat herkenden.2 Alleen al daarom zou juist de dermatologische blik van huisartsen moeten verbeteren. Bijvoorbeeld door ze tijdens de opleiding enige weken op een polikliniek dermatologie mee te laten draaien of door een paar keer een dermatoloog in de eigen praktijk te laten meekijken bij vooraf geselecteerde patiënten met verdenking op een cutane (pre)maligniteit.3 De casus maakt echter ook duidelijk dat zelfs een ervaren dermatoloog op basis van de kliniek soms aan het oordeel van de patholoog kan twijfelen en dus ten onrechte overgaat op een andere vorm van excisie dan officieel is voorgeschreven.45 De NHG-Standaard Verdachte huidafwijkingen adviseert om voorafgaand aan de behandeling in de huisartsenpraktijk histopathologisch onderzoek te verrichten, omdat de histologie bepalend is voor het beleid. Dit is bij patiënte A inderdaad gebeurd, waardoor ze uiteindelijk de juiste behandeling heeft gekregen.

Stuur het biopt bij een nieuwe of veranderende laesie altijd op voor histologisch onderzoek

Toch histologisch onderzoek

Voor patiënte B had gebruik van de NHG-Standaard Verdachte huidafwijkingen waarschijnlijk tot een eerdere doorverwijzing geleid, maar het blijft de vraag in hoeverre dit haar prognose beïnvloed zou hebben. De standaard beschrijft bloeden en asymmetrie in twee dimensies immers als alarmsymptomen voor een melanoom. Gelukkig heeft de huisarts uiteindelijk toch aangedrongen op histologisch onderzoek, ondanks de kosten die hiermee gepaard gaan.

Oorspronkelijk melanoom niet herkend

Bij patiënte C heeft de huisarts vermoedelijk het oorspronkelijke amelanotische melanoom niet als zodanig herkend. Histologisch onderzoek had dit kunnen ondervangen. Het is bekend dat een geëxcochleëerd granuloma teleangiectaticum, dat eruitziet als een bloedblaar, altijd moet worden opgestuurd om een amelanotisch melanoom uit te sluiten. Theoretisch had het ook kunnen gaan om een mucosaal of een elders in het hoofdhalsgebied volledig in regressie gegaan melanoom. Het omgekeerde komt overigens eveneens voor: onderzoek naar het adequaat herkennen van melanomen door pathologen leverde in ongeveer 8% fout-positieve en ongeveer 9% fout-negatieve resultaten op.45

Hierbij moeten we opmerken dat onderzoek naar het herkennen van een cutane maligniteit meestal de klinische en histologische diagnose betreft, waarbij verschillende specialismen worden vergeleken. In dergelijk onderzoek wordt echter niet gekeken naar de invloed van de incidentie op de voorspellende waarden. Bij een retrospectief Nederlands onderzoek naar 5105 door huisartsen ingestuurde huidexcisies bleken elf van de 26 melanomen te zijn gemist.6 Volgens schattingen sturen huisartsen ongeveer 60% van de door hen geëxcideerde laesies in voor pathologisch onderzoek.

Geëxcideerde naevi opsturen

De NHG-Standaard adviseert huisartsen om vrijwel al de door hen geëxcideerde naevi op te sturen voor histologisch onderzoek, vooral naevi met veranderingen in asymmetrie, grens, kleur of diameter, of wanneer sprake is van het ugly duckling sign. De al jaren onveranderde dermale naevi, fibromen en ouderdomswratten hoeven dus niet te worden opgestuurd voor histologisch onderzoek.

Om drie verschillende redenen kon in de casussen geëxcideerd weefsel niet worden opgestuurd voor histologisch onderzoek. In de eerste casus omdat de huisarts het advies voor een biopt theoretisch naast zich neer had kunnen leggen omdat de specialist al een klinische diagnose had gesteld. Bij de tweede casus omdat histologisch onderzoek (ook in de eerste lijn) significante kosten voor de patiënt met zich meebrengt. Dit vraagt om een ethische en politieke heroverweging: moet histologisch onderzoek in de eerste lijn bij mensen die op of onder het bestaansminimum leven (en voor wie de eigen bijdrage à 385 euro te hoog is) niet altijd volledig vergoed worden, om zo sociaaleconomisch afhankelijke prognoseverschillen te voorkomen? In de derde casus omdat de huisarts de aandoening niet als mogelijk maligne herkende. Deze drie redenen hadden ondervangen kunnen worden door tijdens de huisartsopleiding meer dermatologische handvatten te geven, door publicaties hierover en door het gebruik van medische richtlijnen. Ook een anderhalvelijnsproject Verdachte huidafwijkingen kan zijn vruchten afwerpen. De dermatoloog komt dan enige keren in de huisartsenpraktijk om samen met de huisarts patiënten te beoordelen die vooraf zijn geselecteerd met verdenking op een cutane (pre)maligniteit. Kijken is niet hetzelfde als zien, zien is niet hetzelfde als herkennen, maar herkennen is wel hetzelfde als weten.

Conclusie

Als huisartsen een nieuwe of veranderende laesie wegsnijden of biopteren, moeten ze het materiaal altijd opsturen voor histologisch onderzoek. Ook als ze denken dat het om iets volstrekt onschuldigs gaat of wanneer een specialist al een klinische diagnose heeft gesteld. En dat moet ook gebeuren als de patiënt om financiële redenen vraagt om het materiaal niet op te sturen. Gooi het kind niet met het badwater weg! De NHG-Standaard Verdachte huidafwijkingen moet leidend zijn.

Lees ook:

Verwijdering atheroomcyste met een stansbiopteur’ van Bas van Dijk en Kees in ‘t Veld en ‘Atheroomcysten sneller verwijderen’ van Aileen Keerveld en Michiel Bos.

Arnold WP, Hoven-Gondrie ML, Van Dijk MCRF. Excisie? Stuur biopt altijd op. Huisarts Wet 2019;62:DOI:10.1007/s12445-019-0223-7.
Mogelijke belangenverstrengeling: niets aangegeven.

Literatuur

Reacties (2)

User_23160 6 augustus 2019

Text for comment 1248

User_20130 12 augustus 2019

Text for comment 1251

Verder lezen