Praktijk

Gepigmenteerde huidafwijkingen in het gelaat

Samenvatting

Tio D, Van Doorn R, Mooi WJ, Van Montfrans C. Gepigmenteerde huidafwijkingen in het gelaat. Huisarts Wet 2016;59(8):356-60.
De meestvoorkomende gepigmenteerde huidafwijkingen in het gelaat zijn lentigo solaris en verruca seborrhoica. Deze huidaandoeningen moet men onderscheiden van lentigo maligna (LM), omdat een LM doorgaans wel behandeling vereist vanwege de – betrekkelijk kleine – kans op progressie naar een melanoom. De incidentie van LM stijgt, vooral bij ouderen. Bij een LM gaat het om een niet egale, bruine macula van > 0,5 cm op de door de zon beschenen huid (meestal het gelaat). U kunt deze diagnose overwegen bij verandering in vorm, kleur of omvang van een bruine macula. Bij vermoeden van LM kunt u de patiënt naar de dermatoloog verwijzen voor nadere diagnostiek en behandeling. U stelt de diagnose op basis van het histopathologisch beeld van een biopsie. De behandeling van eerste keuze betreft een chirurgische excisie met een minimale marge van 0,5 cm. Als het om functioneel en cosmetisch belangrijke plaatsen gaat, kan de behandelend arts in plaats van chirurgische excisie, radiotherapie of imiquimodcrème overwegen.

Abstract

Tio D, Van Doorn R, Mooi WJ, Van Montfrans C. Pigmented skin lesions of the face. Huisarts Wet 2016;59(8):356-60.
The most common pigmented skin lesions of the face are solar lentigo and seborrhoeic keratosis. It is important to distinguish these lesions from lentigo maligna, which generally requires treatment because of its malignant potential. The incidence of lentigo maligna is increasing, especially in the elderly. It presents as an irregular brown macule larger than 0.5 cm on sun exposed skin (most often the face) and should be considered if there is a change in form, colour, or size of a brown macule. If a skin lesion is clinically suspected to be lentigo maligna, referral to a dermatologist for diagnosis and treatment is advised. The diagnosis is confirmed by histopathology. The treatment of choice is surgical excision with a margin of at least 0.5 cm. In selected cases, for example when lentigo maligna is situated on a functionally or cosmetically sensitive site, radiotherapy or imiquimod cream can be considered.

De kern

  • De incidentie van lentigo maligna (LM) stijgt, vooral bij ouderen.
  • Een LM is een premaligne huidafwijking, die de vorm heeft van een onregelmatige bruine macula op de zonbeschenen huid.
  • Overweeg de diagnose LM bij verandering in vorm, kleur of omvang.
  • Bij vermoeden van LM verwijst u de patiënt naar de dermatoloog voor verdere diagnostiek en behandeling.
  • Als het om functioneel en cosmetisch belangrijke plaatsen gaat, kan de behandelend arts in plaats van chirurgische excisie, radiotherapie of imiquimodcrème overwegen.

Inleiding

In het gelaat komen vaak gepigmenteerde huidafwijkingen voor: de prevalentie van een lentigo solaris bij blanke 60-plussers is 90%.1 Ook de verruca seborrhoica komt veel voor: meer dan 80% van de 50-plussers heeft verrucae seborrhoicae.2 Deze twee laesies zijn benigne en kunnen desgewenst eenvoudig behandeld worden. Een lentigo maligna (LM) daarentegen is een huidaandoening die doorgaans wel behandeling vereist. Een LM kan jarenlang worden aangezien voor een benigne huidafwijking, die ‘immers bij het ouder worden hoort’. Patiënten komen om verschillende redenen naar het spreekuur: een verandering van aspect, zoals kleurverandering of toename van grootte, ongerustheid over een mogelijke maligniteit, maar ook cosmetische of psychosociale bezwaren. Opdat u een LM sneller zult herkennen en u uw patiënt optimaal kunt voorlichten, bespreken wij in dit artikel de diagnostiek en behandeling van LM aan de hand van twee casus.

Casus 1

Een 75-jarige vrouw bezoekt uw spreekuur vanwege een bruine vlek op haar rechterwang. Deze was al jaren aanwezig, maar werd de laatste tijd donkerder. Ook zou de plek groter zijn geworden. Bij inspectie van de huid ziet u een grillige, matig scherp begrensde, licht- tot donkerbruin gepigmenteerde macula van 7 bij 4 cm [figuur 1]. Bij inspectie van de rest van de huid vindt u verder geen verdachte laesies. Vanwege de anamnese, vooral het donkerder worden van de laesie, en het aspect ervan, neemt u een ponsbiopt met als vraag: lentigo solaris of LM? De uitslag van de patholoog luidt: LM.

Casus 2

Een man van 69 jaar komt op uw spreekuur vanwege een cosmetisch storende vlek bij zijn linkeroog [figuur 2]. De pigmentvlek is in de loop van de laatste tien jaar geleidelijk groter geworden. Een bezoek aan u had hij uitgesteld omdat hij erg opzag tegen een operatieve ingreep. U vindt de laesie wel erg donker en groot, en vertrouwt het niet helemaal. U overweegt zelf een biopt te nemen of door te verwijzen naar een dermatoloog. Vanwege de lokalisatie nabij het oog besluit u door te verwijzen, met als differentiaaldiagnose: lentigo solaris, LM of LM-melanoom (LMM). Uw patiënt vraagt of u deze diagnoses en mogelijke behandelingen kunt toelichten.

Bespreking

Benigne, premaligne of maligne?

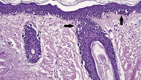
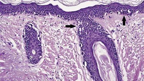
Een LM, ook wel ziekte van Dubreuilh genoemd, is een huidafwijking die gekenmerkt wordt door een langzaam groter wordende, asymmetrische, (licht)bruine tot grijs-zwarte macula op de veelvuldig door de zon beschenen delen van de huid. De oorzaak van deze afwijking is een niet-invasieve proliferatie van atypische melanocyten in de epidermis [figuur 3]. Een LM is nog geen huidkanker, maar een premaligne laesie, die zich zonder behandeling in een kleine minderheid van de gevallen tot een melanoom ontwikkelt. Sommige auteurs beschouwen een LM al als melanoom, in een pre-invasieve fase. Gezien de relatief kleine kans op het ontstaan van invasie, is het echter beter om nog niet te spreken van melanoom.

Kliniek

Klinisch beeld

Een LM komt het meest voor in het gelaat en andere veelvuldig door de zon beschenen plaatsen. De afwijking betreft een onscherp tot matig scherp begrensde macula, groter dan 0,5 cm en vaak asymmetrisch van kleur en vorm.3 De kleuren variëren van licht- tot donkerbruin, of grijsbruin. De laesie is vaak al jarenlang aanwezig en in de loop van jaren maar soms ook maanden, treden veranderingen op: de laesie wordt donkerder en/of groter.
Een lentigo solaris daarentegen betreft een uniform gepigmenteerde, lichtbruine of donkerbruine macula. In de differentiaaldiagnose van LM staan verder een vlakke verruca seborrhoica, maar ook een LM-melanoom. Een verruca seborrhoica kan vele kleuren hebben (geel, bruin, zwart) en heeft vaak een verruceus, vettig oppervlak. De grootte varieert van millimeters tot enkele centimeters.

Dermatoscopie

Het onderscheid tussen een LM en een lentigo solaris of verruca seborrhoica kunt u gemakkelijker maken met behulp van de dermatoscoop.4 Bij een LM ziet u klassiek asymmetrische pigmentatie en grijzig granulair pigment rond de follikelopening, in soms ruitvormige structuren [figuur 4]. Bij toename van de dysplasie in volgende stadia van het LM vindt destructie van de follikelopeningen met homogenisatie van het pigment plaats. Een LMM is met het blote oog moeilijk te herkennen en dat geldt ook voor het dermatoscopisch beeld.56 De gouden standaard voor het stellen van de diagnose LMM is het histologisch beeld van – bij voorkeur – de gehele laesie.
Een lentigo solaris toont een regelmatig pseudonetwerk met gehypopigmenteerde folliculaire openingen en een onregelmatige maar scherpe begrenzing (één patroon en één kleur: denk aan een lentigo solaris). Bij een verruca seborrhoica passen dermatoscopisch een cerebriforme (‘hersenachtige’) structuur (met crypten en fissuren), een zogenaamde moth-eaten border, haarspeldvaatjes, pseudohoorncysten, comedo-achtige openingen en milia zonder pigmentnetwerk. Voor de beoordeling van dermatoscopische beelden zijn scholing en ervaring onmisbaar.7
Omdat u als huisarts vaak een lentigo senilis en verruca sebborhoica zult zien, kunt u erg bedreven worden in de (tele-)dermatoscopie. U zult zelden een LM/LMM zien, wat voor het oefenen met (tele)dermatoscopie een beperking vormt.
De differentiaaldiagnose van een vlakke pigmentlaesie in zonbeschadigde huid is in feite nog wat uitgebreider: u moet ook overwegen of er sprake is van een gepigmenteerde actinische keratose, morbus Bowen, benigne lichenoïde keratose, een vlakke naevus naevocellularis en een gepigmenteerd basaalcelcarcinoom. Aan de hand van de [tabel] kunt u de belangrijkste aandoeningen onderscheiden.
TabelBelangrijkste differentiaaldiagnoses van LM
DiagnoseKliniekDermatoscopieHistologie
Lentigo maligna Onregelmatig gepigmenteerde grillige bruine tot donkerbruine macula, groter dan 0,5 cm.Voorkeursplaats: door de zon beschenen huid, vooral het gelaat.Asymmetrische pigmentatie rondom follikelopeningen, grijzig granulair pigment rond de follikelopening in soms ruitvormige structuren; in later stadium follikelopeningen opgevuld met pigment.Lentigineus opgebouwde proliferatie van atypische melanocyten in de epidermis, gelegen in de huid met tekenen van chronische solaire schade.
Lentigo solarisVlakke, uniform gepigmenteerde, lichtbruine of donkerbruine macula,kleiner dan een millimeter tot enkele centimeters, rand kan glad zijn, maar ook erg grillig.Voorkeursplaats: door de zon beschenen huid.Regelmatig pseudonetwerk met gehypopigmenteerde folliculaire openingen en onregelmatige maar scherpe begrenzing.Verlengde retelijsten met toegenomen aantal uniforme melanocyten, zonder atypie in basalelaagepidermis, met variabele epidermale hyperpigmentatie.
Verruca seborrhoicaVele kleuren mogelijk (geel, bruin, zwart).Vlakke papillomateuze huidafwijking met een verruceus, vettig oppervlak.Grootte kan variëren van millimeters tot enkele centimeters. Voorkeursplaats: o.a. scalp, temporaal.Cerebriforme, hersenachtige structuur, een moth-eaten border, haarspeldvaatjes, pseudohoorncysten, comedo-achtige openingen en milia zonder pigmentnetwerk.Proliferatie van basaloïde keratinocyten met hoorncysten en pseudohoorncysten met vaak pigmentatie.

Histopathologie

Voor u als huisarts is het vooral van belang om het onderscheid te (laten) maken met de vaker voorkomende lentigo solaris of vlakke verruca seborrhoica. Als u LM en LMM niet uitgesloten acht, kunt u de patiënt doorverwijzen naar een dermatoloog. Deze zal de optimale locatie voor een biopt bepalen met behulp van de dermatoscoop. Bij vermoeden van een LMM is een diagnostische incisiebiopsie aangewezen of zelfs een excisie van de gehele laesie. Histologisch kenmerkt een LM zich door een lentigineus opgebouwde proliferatie van atypische melanocyten in de epidermis van zonbeschadigde huid [figuur 3]. Nestvorming en ascensie (aanwezigheid van melanocyten in hogere lagen van de epidermis) kunnen aanwezig zijn. Bij een LM is er geen sprake van invasie van atypische melanocyten in de dermis: als dat wel zo is, gaat het om een LMM. Ons advies is om bij concreet vermoeden van een LM of LMM niet zelf een biopt te nemen, maar door te verwijzen naar een dermatoloog, ook omdat de locatie van het biopt beter op basis van het dermatoscopisch beeld kan worden bepaald. Mocht u zelf de diagnose LM hebben gesteld, dan is verwijzing naar een dermatoloog op zijn plaats voor een passend behandeladvies.

Kans op een LMM

Vier tot 15% van alle melanomen betreft een LMM.8910 Net als andere (pre)maligne huidaandoeningen, zoals actinische keratosen en basaalcelcarcinomen, stijgt de incidentie van de LM, vooral bij ouderen en bij mannen.1112 Doordat LM klinisch lastig te herkennen kan zijn en over het algemeen geen klachten geeft, wordt het lang niet altijd gebiopteerd en daardoor niet altijd geregistreerd.
Het life-time-risico op het ontstaan van een LMM in een LM is niet goed bekend, maar schat men in de Verenigde Staten op slechts 5%.13 Hoe hoger de leeftijd, hoe kleiner de kans op progressie naar een LMM. Er is slechts één epidemiologisch onderzoek dat rapporteert dat een 45-jarige patiënt met een LM – zonder behandeling – een life-time-risico van 4,7% op een LMM zou hebben.13 Wanneer men de diagnose stelt als de patiënt 65 jaar is, zou het life-time-risico op een LMM zonder behandeling 2,2% zijn. De kans op progressie naar een LMM is bij de alleroudsten tijdens de hun resterende levensjaren onwaarschijnlijk. Aan de patiënt uit casus 2 kunt u daarom vertellen dat de kans dat hij een lentigo solaris heeft het grootst is, maar dat u een LM moet uitsluiten.

Behandeling

U moet een LM behandelen om progressie naar een LMM te voorkomen. Bij de keuze voor de behandeling moet u rekening houden met: 1) de lokalisatie: vaak op functioneel belangrijke anatomische structuren (bijvoorbeeld de neus of nabij het oog); 2) de omvang van de laesie: vaak > 0,5 cm; 3) de macroscopische afgrenzing van de laesie: vaak lastig, ook dermatoscopisch; 4) de aanwezigheid van comorbiditeit en medicatiegebruik; 5) de leeftijd van de patiënt; 6) de voorkeur van de patiënt.

Chirurgische excisie

De Nederlandse richtlijn melanoom stelt dat chirurgische excisie met een marge van minimaal 0,5 cm de behandeling van eerste keuze is voor een LM.141516 Men kan het weefsel dan in zijn geheel onderzoeken op (micro-)invasieve groei. Bij een marge van 0,5 cm zou de kans op een recidief na 5 jaar circa 5% zijn.17 Andere mogelijkheden naast de standaardexcisie zijn de Breuninger- en Mohs-chirurgietechnieken, waarbij de chirurg de resectieranden histologisch in het geheel nakijkt.
Omdat een LM vaak op functioneel en cosmetisch belangrijke plaatsen ontstaat, en een grote omvang kan hebben, kan een excisie belastend zijn, zeker als een reconstructie nodig is om de wond te sluiten. Een recente Cochrane-review benadrukt nogmaals dat er voor LM geen gerandomiseerde prospectieve klinische onderzoeken zijn die chirurgie met andere behandelingsmodaliteiten vergelijken.18

Radiotherapie

Een alternatieve behandeling voor het LM vormt onder andere radiotherapie.1920 Een recente review, waarbij men tien retrospectieve onderzoeken includeerde met 454 LM-patiënten die met radiotherapie waren behandeld, toonde een recidiefkans tot 31% (gemiddeld 11,5%) bij een follow-upduur van 1 tot 96 maanden.20

Imiquimodcrème

Lokale off-label-behandeling met imiquimodcrème is naar onze mening een veelbelovende niet-invasieve behandeling voor LM.21 Imiquimod stimuleert de afweer tegen de atypische melanocyten, zowel met een direct effect als via het induceren van een immuunrespons.22 Door de geïnduceerde ontstekingsreactie kan de huid tijdelijk rood en oedemateus worden, soms met korstvorming.23 Een onderzoek beschreef bij 347 LM-laesies die waren behandeld met imiquimodcrème een klinische respons van 78% en een gemiddelde recidiefkans van 2,3% na een gemiddelde follow-up van 34 maanden. Ook na vijf jaar follow-up waren er weinig recidieven.24 In onze handen is behandeling met imiquimodcrème ook effectief gebleken.25 Als bijwerkingen kunnen griepachtige verschijnselen voorkomen; in dat geval kan een onderbreking van de behandeling geboden zijn.
Patiënten krijgen ook wel lasertherapie en cryotherapie, maar voor de effectiviteit daarvan bestaat weinig wetenschappelijk bewijs.

Observatie of watchful waiting

Alleen als de levensverwachting dusdanig beperkt is of als er sprake is van aanzienlijke comorbiditeit kunt u in overleg met de patiënt afzien van diagnostiek of behandeling van deze premaligniteit. U geeft informatie over de waarschijnlijk kleine kans dat er een LMM ontstaat. Daarnaast legt u uit waarop de patiënt zelf kan letten, het ontstaan van een bultje, jeuk, spontaan bloeden, snelle groei, en wanneer hij terug moet komen.
Samenvattend kunt u uw tweede patiënt antwoorden dat een operatieve ingreep de voorkeursbehandeling is. Gezien de locatie, de omvang en de bezwaren van de patiënt tegen een operatie kunnen echter ook radiotherapie of off-label-imiquimodcrème worden toegepast. De dermatoloog kan overwegen om de patiënt voor een gewogen advies naar een multidisciplinair spreekuur te verwijzen, waaraan een dermatoloog, radiotherapeut, plastisch chirurg en oogarts deelnemen.

Conclusie

LM is een premaligne afwijking op de door de zon beschenen huid, met een waarschijnlijk kleine kans op het ontwikkelen van een melanoom. Aanwijzingen dat een bruine macula een LM betreft, zijn onder andere verandering van kleur, grootte of vorm. Bij een lentigo solaris is er doorgaans sprake van één patroon en één kleur. Wanneer u denkt dat er sprake is van een LM, moet u de patiënt naar de dermatoloog verwijzen. De diagnose LM stelt u op basis van het histopathologisch beeld. U moet een LM behandelen om progressie naar een LMM te voorkomen. Vergelijkende onderzoeken naar de meest effectieve en minst belastende behandeling zijn nauwelijks of niet voorhanden. De Nederlandse richtlijn stelt dat de behandeling van eerste keuze bestaat uit een excisie met een minimale marge van 0,5 cm. Omdat een LM zich vaak op functioneel en cosmetisch belangrijke plaatsen in het hoofd-halsgebied bevindt, kunt u behandeling met radiotherapie of lokale imiquimodcrème ook overwegen. In enkele gevallen kunt u ook kiezen voor observatie.

Literatuur

  • 1.Ortonne JP, Pandya AG, Lui H, Hexsel D. Treatment of solar lentigines. J Am Acad Dermatol 2006;54:S262-71.
  • 2.Sillevis Smit J, Van Everdingen J, Starink T, Van der Horst H. Dermatovenereologie voor de eerste lijn. Houten: Bohn Stafleu van Loghum, 2013.
  • 3.Higgins HW, Lee KC, Galan A, Leffell DJ. Melanoma in situ: Part I. Epidemiology, screening, and clinical features. J Am Acad Dermatol 2015;73:181-90.
  • 4.Tschandl P, Rosendahl C, Kittler H. Dermatoscopy of flat pigmented facial lesions. J Eur Acad Dermatol Venereol 2015;29:120-7.
  • 5.Burghout K, Sigurdsson V, Toonstra J. Diagnostiek van melanomen. Huisarts Wet 2014;57:482-5.
  • 6.Tanaka M, Sawada M, Kobayashi K. Key points in dermoscopic differentiation between lentigo maligna and solar lentigo. J Dermatol 2011;38:53-8.
  • 7.Marghoob AA, Usatine RP, Jaimes N. Dermoscopy for the family physician. Am Fam Physician 2013;88:441-50.
  • 8.McLeod M, Choudhary S, Giannakakis G, Nouri K. Surgical treatments for lentigo maligna: a review. Dermatol Surg 2011;37:1210-28.
  • 9.Clark WH Jr, Elder DE, Van Horn M. The biologic forms of malignant melanoma. Hum Pathol 1986;17:443-50.
  • 10.McKenna JK, Florell SR, Goldman GD, Bowen GM. Lentigo maligna/lentigo maligna melanoma: current state of diagnosis and treatment. Dermatol Surg 2006;32:493-504.
  • 11.Toender A, Kjaer SK, Jensen A. Increased incidence of melanoma in situ in Denmark from 1997 to 2011: results from a nationwide population-based study. Melanoma Res 2014;24:488-95.
  • 12.Mirzoyev SA, Knudson RM, Reed KB, Hou JL, Lohse CM, Frohm ML, et al. Incidence of lentigo maligna in Olmsted County, Minnesota, 1970 to 2007. J Am Acad Dermatol 2014;70:443-8.
  • 13.Weinstock MA, Sober AJ. The risk of progression of lentigo maligna to lentigo maligna melanoma. Br J Dermatol 1987;116:303-10.
  • 14.Clark GS, Pappas-Politis EC, Cherpelis BS, Messina JL, Möller MG, Cruse CW, et al. Surgical management of melanoma in situ on chronically sun-damaged skin. Cancer Control 2008;15:216-24.
  • 15.Veronesi U, Cascinelli N. Narrow excision (1-cm margin). A safe procedure for thin cutaneous melanoma. Arch Surg 1991;126:438-41.
  • 16.Garbe C, Peris K, Hauschild A, Saiaq P, Middleton M, Spatz A, et al. Diagnosis and treatment of melanoma: European consensus-based interdisciplinary guideline. Eur J Cancer 2010;46:270-83.
  • 17.Moehrle M, Breuninger H, Schippert W, Häfner HM. Imiquimod 5% cream as adjunctive therapy for primary, solitary, nodular basal cell carcinomas before Mohs micrographic surgery: a randomized, double-blind, vehicle-controlled study. Dermatol Surg 2010;36:428-30.
  • 18.Tzellos T, Kyrgidis A, Mocellin S, Chan AW, Pilati P, Apalla Z. Interventions for melanoma in situ, including lentigo maligna. Cochrane Database Syst Rev 2014;12:CD010308.
  • 19.Fogarty GB, Hong A, Scolyer RA, Lin E, Haydu L, Guitera P, et al. Radiotherapy for lentigo maligna: a literature review and recommendations for treatment. Br J Dermatol 2014;170:52-8.
  • 20.Read T, Noonan C, David M, Wagels M, Foote M, Schaider H, et al. A systematic review of non-surgical treatments for lentigo maligna. J Eur Acad Dermatol Venereol 2016;30:748-53.
  • 21.Mora AN, Karia PS, Nguyen BM. A quantitative systematic review of the efficacy of imiquimod monotherapy for lentigo maligna and an analysis of factors that affect tumor clearance. J Am Acad Dermatol 2015;73:205-12.
  • 22.Kang HY, Park TJ, Jin SH. Imiquimod, a Toll-like receptor 7 agonist, inhibits melanogenesis and proliferation of human melanocytes. J Invest Dermatol 2009;129:243-6.
  • 23.Hyde MA, Hadley ML, Tristani-Firouzi P, Goldgar D, Bowen GM. A randomized trial of the off-label use of imiquimod, 5%, cream with vs without tazarotene, 0.1%, gel for the treatment of lentigo maligna, followed by conservative staged excisions. Arch Dermatol 2012;148:592-6.
  • 24.Kai A, Richardson T, Coleman A, Mallipeddi R, Barlow R, Craythorne EE. Five-year recurrence rate of lentigo maligna after treatment with imiquimod determined using in vivo confocal microscopy. Br J Dermatol 2013;169:45-6.
  • 25.Kirtschig G, Van Meurs T, Van Doorn R. Twelve-week treatment of lentigo maligna with imiquimod results in a high and sustained clearance rate. Acta Derm Venereol 2015;95:83-5.

Reacties

Er zijn nog geen reacties.