Praktijk

Gynaecologische echografie door de huisarts

Gepubliceerd
17 april 2023
Dit artikel beschrijft een horizontaal verwijsproject van een regionale zorggroep met 165.000 patiënten, waarin huisartsen konden verwijzen naar een kaderhuisarts voor transvaginale gynaecologische echografie. In de jaren 2019-2021 maakte deze kaderhuisarts 481 echo’s. De meest gestelde diagnose was ‘geen afwijkingen’ (56%); er werden geen ernstige diag­noses gemist. Dergelijke horizontale verwijzingen lijken veelbelovend: ze zijn laagdrempeliger, goedkoper en de wachttijden zijn korter.
0 reacties
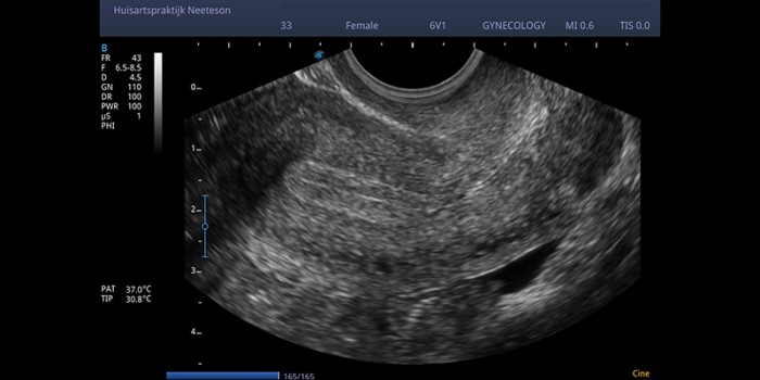
Transvaginale echo uterus
Transvaginale echo van een uterus.
© Huisartspraktijk Neeteson

De kern

  • Echografie door de huisarts hoeft niet beperkt te blijven tot de zwangerschap, maar kan ook voordelen hebben bij gynaecologische problemen.

  • Een project waarbij huisartsen voor transvaginale echo’s konden verwijzen naar een kaderhuisarts in de regio, leidde tot meer verwijzingen naar kaderhuisartsen en grotere tevredenheid bij patiënt, huisarts en kaderhuisarts.

  • De meest gestelde diagnose was ‘geen afwijkingen’ (56%), er werden geen ernstige diagnoses gemist.

  • Voordelen van horizontale verwijzing zijn lagere kosten, minder wachttijd en betere overlegmogelijkheden.

Huisartsen kunnen opleidingen volgen voor gynaecologische echografie en een groeiend aantal huisartsen maakt echo’s in de eigen praktijk of verwijst daarvoor naar een collega-huisarts in de omgeving. Er is weinig literatuur over echografie in de huisartsenpraktijk. 13 Dit artikel beschrijft de resultaten van een horizontaal verwijsproject voor transvaginale gynaecologische echografie, opgezet door een regionale zorggroep (Huisarts en Zorg in Gorinchem en omstreken) met 45 praktijken, 75 praktijkhoudende huisartsen en 165.000 patiënten.

Na een enquête onder alle huisartsen in de regio – van wie meer dan de helft bereid bleek om naar een collega-huisarts te verwijzen voor gynaecologische consultaties (55%) of gynaecologische echografie (53%) – stelde de zorggroep een kaderhuisarts urogynaecologie beschikbaar. Deze was te benaderen voor gynaecologische echografie, het plaatsen of verwijderen van spiraaltjes (IUD’s) en hormoonstaafjes, het beoordelen en zo nodig biopteren van vulvaire afwijkingen en het aanmeten van pessaria in geval van prolapsklachten. Het verwijsproject sloeg aan: al snel na de start in 2017 groeide het aantal horizontale verwijzingen flink. Voor dit artikel werd gekeken hoeveel echo’s er zijn uitgevoerd in de 3 jaren 2019 tot en met 2021 (declaratiecode ‘module abdominale echografie’ binnen het HIS), wat de verwijsreden was en welke diagnose er volgde, en hoeveel patiënten werden doorverwezen naar andere disciplines. Als er meerdere verwijsredenen waren, werd de hoofdreden gekozen. Voor onze eigen patiënten verkregen we deze data uit het eigen HIS, de data van verwezen patiënten werden opgevraagd bij de verwijzende huisarts of praktijk.

Randvoorwaarden

Met het oog op de kwaliteit volgde de kaderhuisarts die de echografie uitvoerde aanvullende echografiecursussen en werd echo-apparatuur aangeschaft die geschikt is voor de eerste lijn. Een gynaecoloog was op afroep beschikbaar voor online overleg via Siilo, een beveiligde app waarmee ook (echo)afbeeldingen gedeeld kunnen worden. Bij twijfel werd de patiënt verwezen. Om de verwijsdrempel voor collega-huisartsen zo laag mogelijk te houden, liepen verwijzingen via het gangbare verwijssysteem ZorgDomein®. De kaderhuisarts maakte in de eigen praktijk een echo binnen 7 dagen na de verwijzing. De patiënten konden telefonisch of per e-mail een afspraak maken; voor het consult werd standaard 30 minuten ingeruimd zodat er voldoende tijd was voor anamnese, echo, verslaglegging en terugkoppeling. Het tarief dat in rekening werd gebracht, was voor abdominale en gynaecologische echografie zoals vastgesteld door de preferente zorgverzekeraar.

Resultaten

In de onderzoeksperiode van 3 jaar verrichtte de kaderhuisarts in totaal 481 transvaginale echo’s bij 375 verwezen en 106 eigen patiënten, voornamelijk premenopauzale vrouwen (gemiddelde leeftijd 41 jaar). De meeste indicaties (39%) betroffen een IUD: het lokaliseren ervan vanwege aanhoudende bloedings- of pijnklachten, of plaatsing of verwijdering wanneer dat de eigen huisarts niet was gelukt. Andere veelvoorkomende indicaties waren onderbuikspijn, premenopauzale cyclusstoornissen en postmenopauzaal bloedverlies. Minder vaak voorkomende indicaties waren afwijkend vaginaal toucher, fertiliteitsproblemen en mogelijke zwangerschap [figuur 1].

Figuur 1 | Indicaties voor verwijzing naar kaderhuisarts

Indicaties verwijzing kaderhuisarts
Figuur 1 | Indicaties voor verwijzing naar kaderhuisarts

De meest gestelde echografische diagnoses waren ‘geen afwijkingen’, ‘uterus myomatosus’, ‘ovariumafwijking’, ‘IUD met correcte ligging’, ‘IUD met afwijkende ligging’ en ‘endometriumafwijking’. Minder vaak voorkomende diagnoses waren ‘onduidelijk beeld’, ‘lipoom’, ‘ovulatiebloeding’ [figuur 2].

Figuur 2 | Diagnose ingedeeld in categorieën

Diagnose in categorieën
Figuur 2 Diagnose ingedeeld in categorieën

De kaderhuisarts adviseerde de huisarts 58 maal (12%) om de patiënt door te verwijzen voor een tweedelijnsecho en dat advies werd 52 maal opgevolgd (11%). De huisartsen verwezen daarnaast 38 patiënten (8%) zelf alsnog voor een tweedelijnsecho. Bij 5 echo’s (1%) consulteerde de kaderhuisarts de gynaecoloog. De meeste verwijzingen, in absolute aantallen, betroffen onderbuikspijn (n = 32; 30% van de patiënten met deze indicatie) en postmenopauzaal bloedverlies (n = 24; 46% van de patiënten met deze indicatie) [figuur 3]. Voor zover bekend zijn er geen ernstige diagnoses gemist. In totaal werd vijfmaal een maligniteit aangetroffen, viermaal bij postmenopauzaal bloedverlies en eenmaal bij onderbuikspijn. Verreweg de meeste verwijzingen waren naar een gynaecoloog (83%), daarna kwamen de bekkenbodemfysiotherapeut (6%), maag-darm-leverarts (6%), uroloog (2%), internist (1%), chirurg (1%) en radioloog (1%).

Figuur 3 | Verwijzingen per indicatie

Verwijzingen per indicatie
Figuur 3 Verwijzingen per indicatie

Beschouwing

Men kan echografisch onderzoek laten doen in een ziekenhuis, een diagnostisch centrum of een gespecialiseerde huisartsenpraktijk. Die laatste optie heeft als voordelen dat een kaderhuisarts meedenkt en adviezen kan geven over het verdere beleid, terwijl de toegangstijd (1–7 dagen) korter is dan in een ziekenhuis (7–120 dagen). Voor de patiënt zijn de kosten van een gynaecologische echo bij de huisarts (ongeveer 60 euro) lager dan in een diagnostisch centrum (rond de 130 euro) of in een ziekenhuis, en het eigen risico blijft ongemoeid. Een praktijk kan de verrichtingen bij de huidige, door de zorgverzekeraar vastgestelde tarieven juist kostendekkend uitvoeren, maar ze zullen weinig extra inkomen genereren [tabel].

Tijdens onze onderzoeksperiode nam het aantal horizontale verwijzingen voor (abdominale en transvaginale) echo’s toe van ongeveer 100 in 2019 tot zo’n 300 in 2021. Deze groei kwam vooral doordat het aantal verwijzende huisartsen steeg (tot 19 van de 45 praktijken in 2021), niet zozeer doordat het aantal verwijzingen per huisarts toenam. 4 , 5 Het is goed mogelijk dat het laagdrempelige aanbod de extra vraag genereerde. We hebben niet onderzocht of de huisartsen zonder dat aanbod ook voor elke onderzochte patiënt een transvaginale echo zouden hebben aangevraagd. Evenmin hebben we onderzocht of het project leidde tot minder verwijzingen naar de tweede lijn.

We hebben de tevredenheid van verwijzers en patiënten niet als zodanig gemeten, maar zij gaven zowel mondeling als schriftelijk aan dat ze zeer tevreden waren over de geboden dienst. Dat gold ook voor de uitvoerende kaderhuisarts. Echografie is een specialisatie, maar dat hoeft niet strijdig te zijn met het generalisme waar het huisartsenvak voor staat. Het geeft er een extra dimensie aan en vergroot het plezier in het vak.

Conclusie

Het project laat zien dat horizontale verwijzingen tussen huisartsen nuttig kunnen zijn. Horizontale verwijzingen zijn laagdrempeliger, goedkoper en de wachttijden zijn korter. Voor de patiënten voelt verwijzing naar een andere huisartsenpraktijk vaak vertrouwder dan naar een ziekenhuis of diagnostisch centrum. De verwijzende en de uitvoerende huisarts kunnen snel en makkelijk overleggen en adviezen uitwisselen over het verdere beleid binnen de eerste of tweede lijn.

Een project zoals het onze heeft echter wel een minimaal aantal randvoorwaarden nodig: voldoende capaciteit, adequate opleiding, adequate financiering en goede samenwerking met de lokale gynaecologen. Daarnaast is verder doelmatigheidsonderzoek nodig om de onderhandelingen met zorgverzekeraars te ondersteunen.

Tabel: Jaarbegroting voor echografie in de huisartsenpraktijk
Kosten en baten Bedrag Bij 161 echo’s   Bij 250 echo’s
Kostprijs   debet credit debet credit
Vergoeding per echo abdomen 60   9660   15.000
Echo-apparaat (iedere 5–8 jaar) 25.000 4000   4000  
Onderhoud echo-apparaat (jaarlijks) 500 500   500  
Echo-opleiding (iedere 5 jaar) 3.000 600   600  
CHBB-registratie (iedere 5 jaar) 189 38   38  
Onderzoeksbank (10 jaar gebruik) 2.500 250   250  
Verbruiksmaterialen (per jaar) 200 200   200  
Zorgdomein          
    aansluiting (eenmalig) 250 50   50  
    kosten per verwijzing 3 483   750  
Inkomstenderving reguliere consulten > 20 min. 22 3542   5500  
Totaal per jaar   9663 9660 11.888 15.000
Saldo per jaar     3   3.112
Neeteson MA. Gynaecologische echografie door de huisarts. Huisarts Wet 2023;66:DOI:10.1007/s12445-023-2248-1.
Mogelijke belangenverstrengeling: niets aangegeven.

Literatuur

Reacties

Er zijn nog geen reacties.

Verder lezen