Praktijk

Mastitis? Denk aan galactocele

Gepubliceerd
15 maart 2022
Jaarlijks komt er per huisartsenpraktijk 1 tot 2 keer een patiënte met mastitis op het spreekuur, waarbij het meestal om kraamvrouwen gaat. De ontsteking wordt veroorzaakt door een infectie of door stase van melk in de melkgangen. In dat laatste geval ontstaat er door de ontstekingsreactie een acute cellulitis van het interlobulaire borstklierweefsel. Er is vaak sprake van unilaterale borstpijn, roodheid en zwelling met algehele malaise en koorts. Het is lastig om klinisch onderscheid te maken tussen een infectieuze en een andere oorzaak van de borstontsteking. Mogelijk stellen huisartsen de diagnose infectieuze mastitis bij kraamvrouwen daardoor te vaak.
0 reacties
Mastitis
Mastitis bij kraamvrouwen heeft niet altijd een infectieuze oorzaak.

De kern

  • Mastitis komt veel voor in de huisartsenpraktijk.

  • Ook non-infectieuze oorzaken kunnen een rol spelen.

  • Wanneer de zwelling en/of kenmerken die wijzen op een non-infectieuze oorzaak aanhouden, kan echografie duidelijkheid verschaffen.

Casus

Een 32-jarige vrouw met een blanco voorgeschiedenis meldt zich bij haar huisarts met een matig pijnlijke zwelling in haar rechterborst. Ze heeft net een kindje gekregen en geeft borstvoeding. Bij lichamelijk onderzoek oogt ze matig ziek, maar ze heeft geen koorts. De huisarts ziet dat de huid rood is. Hij palpeert een drukpijnlijke, gladde zwelling zonder fluctuatie en vindt geen aanwijzingen voor lymfadenopathie, tepelkloven, tepelintrekking of andere zichtbare afwijkingen aan de huid of tepel, noch contourverschillen. Hij denkt aan een infectieuze mastitis, geeft adviezen en schrijft antibiotica voor.

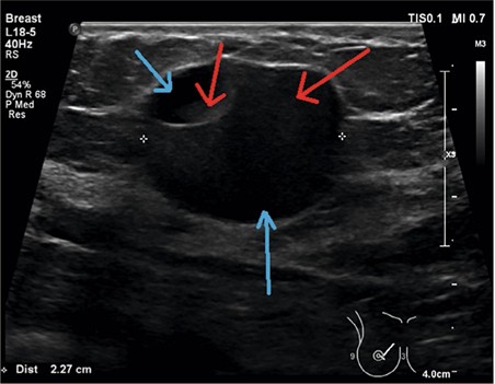
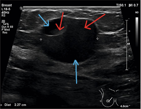
Een maand later is de zwelling nog steeds niet weg. Bij onderzoek palpeert haar huisarts nu een gladde, vrij te mobiliseren, niet drukpijnlijk zwelling, zonder tekenen van infectie en vermoedelijk enige fluctuatie. Uit echografie blijkt dat de patiënte een uit 2 delen bestaande cyste heeft: een deel bestaat uit vet/melk [figuur, rode pijlen] en het andere deel uit water (blauwe pijlen). Haar huisarts concludeert dat het om een galactocele gaat. Via een punctie wordt een melkachtige substantie geaspireerd. Ze merkt direct verlichting. Na een maand is ze klachtenvrij.

Figuur | Echobeeld van een galactocele. De rode pijlen wijzen een hogere dichtheid/reflectie aan, dus vet/melk. De blauwe pijlen wijzen waterscheiding/-verdeling aan.

Echobeeld van een galactocele. De rode pijlen wijzen een hogere dichtheid/reflectie aan, dus vet/melk. De blauwe pijlen wijzen waterscheiding/-verdeling aan.
Echobeeld van een galactocele. De rode pijlen wijzen een hogere dichtheid/reflectie aan, dus vet/melk. De blauwe pijlen wijzen waterscheiding/-verdeling aan.

Beschouwing

Er zijn 2 vormen van mastitis: infectieus en niet-infectieus/veroorzaakt door stase.1 Wanneer stase de oorzaak is, kan een galactocele ontstaan. Galactoceles zijn goedaardige melkcystes die ontstaan door obstructie van melkklierducti. De oorzaak is (steriele) inflammatie, veroorzaakt door een stase. Soms is een tumor de oorzaak. Ze ontwikkelen zich meestal geleidelijk, maar kunnen ook abrupt ontstaan als een vrouw ineens met borstvoeding stopt. Meestal is er sprake van een pijnloze, gladde, unilaterale, mobiele zwelling. Daarmee zijn galactoceles klinisch niet te onderscheiden van andere benigne afwijkingen in de borst. Huisartsen duiden de zwelling vaak als benigne, waarop ze besluiten af te wachten.12 Wanneer het om een galactocele gaat, is dat gerechtvaardigd, want de meeste zullen binnen een aantal weken tot maanden spontaan resorberen en nauwelijks klachten geven. Dat de diagnose lastig kan zijn of wordt gemist, lijkt dus meestal klinisch niet van belang.

Dat wordt anders als er (ook) bevindingen zijn die kunnen passen bij andere oorzaken.3 Zo kunnen galactoceles gepaard gaan met pijn, tekenen van infectie, infiltraatvorming, fluctuatie, een onregelmatige oppervlakte of fixatie bij palpatie. Dan valt ook te denken aan mastitis puerperalis, lactatie- of fibroadenomen, een abces, een pseudolipoom of een mammacarcinoom.13 Als de zwelling of klacht een aantal weken na het staken van de borstvoeding nog niet over is, kan echografie of mammografie helpen bij het achterhalen van de mogelijke oorzaken.35 Ter bevestiging van een galactocele volgt aansluitend een punctie. Wanneer daarbij een melkachtige substantie wordt geaspireerd, kan de diagnose galactocele worden gesteld.

De huisarts uit de casus dacht aanvankelijk dat de vrouw een infectieuze mastitis had omdat ze net een kind had gekregen, borstvoeding gaf en matig ziek was. Het lichamelijk onderzoek paste ook bij een borstontsteking. Een infectieuze oorzaak zien we echter vaker bij tepelkloven, een acuut begin van de symptomen en koorts. De klachten waren geleidelijk ontstaan en in eerste instantie was de zwelling niet pijnlijk, maar alleen hinderlijk omdat haar bh niet meer goed paste. Bij nadere beschouwing paste het verloop beter bij een mastitis die door stase was ontstaan (non-infectieus) en was frequent voeden of kolven en afwachten tot spontane resorptie optreedt een beter beleid geweest.

Conclusie

Mastitis puerperalis lijkt een eenvoudige diagnose, maar huisartsen nemen mogelijk te vaak aan dat er bij kraamvrouwen sprake is van een infectieuze oorzaak. Overweeg mastitis door stase (non-infectieus) bij geleidelijk ontstane klachten, afwezigheid van tepelkloven en afwezigheid van koorts. De behandeling bestaat uit frequent voeden of kolven en afwachten, en niet uit antibiotica. Wanneer de mastitis langer bestaat, kan zich door stase een galactocele ontwikkelen. Heroverweeg de werkdiagnose wanneer de zwelling aanhoudt, en vraag echografie of mammografie aan om de hypothese te toetsen.

Fickweiler F. Mastitis? Denk aan galactocele. Huisarts Wet 2022;65: DOI:10.1007/s12445-022-1412-3.
Mogelijke belangenverstrengeling: niets aangegeven.

Literatuur

Reacties

Er zijn nog geen reacties.