Praktijk

Multipele sclerose in de huisartsenpraktijk

Gepubliceerd
28 april 2015

Samenvatting

Alleman TWH, Van Oosten BW. Multiple sclerosis in general practice. Huisarts Wet 2015;58(5):258-63.
Multiple sclerosis (MS) is the most common chronic neurological disorder in young adults. Although the average general practice has only a few MS patients, contact with these patients is often intensive. MS has both inflammatory and neurodegenerative components and affects both white and grey matter. Its aetiology is still unknown. MS initially has a relapsing-remitting course (RRMS) in about 85% of patients, but is progressive from onset in the other 15% of patients (primarily progressive MS, PPMS). The diagnosis should be considered in all patients younger than 40 years with a neurological deficit evolving in hours to days and lasting for more than 24 hours. Typical presenting symptoms include optic neuritis, partial myelitis, or a brainstem syndrome. The diagnosis requires that there should have been two episodes of neurological deficit occurring in different parts of the central nervous system: ‘dissemination in time and place’. Nowadays, MS can be diagnosed after one episode if active and older, inactive lesions can be seen on magnetic resonance imaging (MRI). This enables an earlier diagnosis and creates the possibility of earlier treatment, although the disease currently cannot be cured. In recent years, more effective and/or more patient friendly treatments have become available; however, some of these more potent medications have more serious side effects and drug interactions, and general practitioners may encounter these problems in daily practice. Acute exacerbations can be treated with intravenous methylprednisolone, which leads to faster improvement of the acute exacerbation, but it does not lead to more complete recovery. Depression and anxiety disorders are common among patients with MS, but are not always detected. Doctors should be alert to symptoms, since they can have a substantial impact on patients’ quality of life. Other common symptoms, some of which are treatable, include pain, spasticity, fatigue, and cognitive decline.

De kern

  • Een op de 1000 Nederlanders heeft multipele sclerose (MS).
  • MS heeft verschillende beloopsvormen: aanvalsgewijs of geleidelijk progressief.
  • De exacte oorzaak van MS is onbekend, maar waarschijnlijk leidt een samenspel van erfelijke en omgevingsfactoren tot inflammatoire en degeneratieve verschijnselen in de witte en grijze stof van de hersenen en het ruggenmerg.
  • Genezing van MS is niet mogelijk, maar wel kan de ziekteactiviteit steeds beter worden geremd.
  • Klachten met grote impact op de kwaliteit van leven zijn moeheid, depressie en cognitieve stoornissen. De huisarts kan bij de signalering en behandeling van deze deels behandelbare klachten een belangrijke rol spelen.

Inleiding

Een op de duizend Nederlanders heeft multipele sclerose (MS), per huisartsenpraktijk dus enkele patiënten. Door de zeldzaamheid en variabele symptomen is het voor huisartsen lastig bij een patiënt met neurologische verschijnselen de kans op MS in te schatten. Tegelijkertijd wordt een tijdige diagnose belangrijker omdat de behandelmogelijkheden toenemen, met de grootste effectiviteit vroeg in het beloop van MS.
In dit artikel willen we voor huisartsen relevante aspecten verduidelijken: wanneer moet de huisarts aan MS denken? Welke behandelingen zijn er? Welke bijwerkingen kan de huisarts tegenkomen? Wanneer heeft een patiënt een exacerbatie en is doorverwijzing altijd nodig? Welke rol kan de huisarts spelen bij de symptoombestrijding?

Pathofysiologie en de drie beloopsvormen

MS is een chronische aandoening van het centrale zenuwstelsel. MS komt twee tot drie keer vaker voor bij vrouwen dan bij mannen. De eerste verschijnselen ontstaan meestal, maar niet uitsluitend, tussen het twintigste en veertigste levensjaar. De etiologie is onbekend, maar genetische en omgevingsfactoren spelen een rol, via pathofysiologische processen als auto-immuniteit en neurodegeneratie.

Relapsing remitting MS

Bij 85% van alle patiënten ontstaan in het begin, verspreid in het centrale zenuwstelsel, haarden van inflammatie, waar de myelinelaag rond axonen wordt aangetast.1 Afhankelijk van de ernst en lokalisatie in het zenuwstelsel kan dit tot symptomen leiden die zich in uren tot dagen ontwikkelen. De myelinelaag herstelt zich na elke beschadiging in weken tot maanden.2 Dit verklaart het aanvankelijk aanvalsgewijze beloop: relapsing-remitting MS (RRMS).

Secundair progressieve MS

Bij langer bestaande RRMS faalt dit herstelmechanisme en worden axonen niet meer beschermd door myeline. Hierdoor ontstaat er degeneratie van neuronen, ook al dooft de inflammatie geleidelijk uit. De patiënt bemerkt een geleidelijke achteruitgang zonder verbeteringen: secundair progressieve MS (SPMS). SPMS begint mediaan twintig jaar na het begin van de ziekte, maar de individuele spreiding is enorm.3 Er zijn ook theorieën die stellen dat het neurodegeneratieve proces onafhankelijk is van het inflammatoire proces met demyelinisatie, of daar zelfs aan voorafgaat. De inflammatie is dan een opruimreactie en de demyelinisatie ‘collateral damage’.

Primair progressieve MS

Ongeveer 15% van de MS-patiënten heeft vanaf het begin een progressief beloop zonder exacerbaties.4 Men spreekt dan van primair progressieve MS (PPMS). PPMS begint meestal na het veertigste levensjaar en wordt gekenmerkt door relatief milde inflammatie en meer op de voorgrond staande neurodegeneratie.

Casus

Er komt een dertigjarige vrouw bij u op het spreekuur. Haar voorgeschiedenis is blanco. Zij vertelt dat ze sinds enkele dagen een zich langzaam uitbreidend doof gevoel in haar rechter gelaatshelft heeft. Sinds een dag heeft ze dat tevens in haar rechter hand. Ze zit in een hectische periode van haar leven met jonge kinderen en een drukke baan. U vindt geen duidelijk krachtsverlies en besluit af te wachten.

Wanneer moet men aan MS denken?

Bij elk in uren tot dagen ontstaan neurologisch uitvalsverschijnsel dat ten minste een etmaal aanhoudt bij een patiënt &lt 40 jaar moet men aan MS denken. Uiteraard moet men ook andere, vaker voorkomende verklaringen van de klachten in overweging nemen. Bij dove gevoelens van de hand kan het bijvoorbeeld om het carpaletunnelsyndroom of een radiculair syndroom gaan. In boven beschreven casus moet men echter wel degelijk aan een centraal neurologische oorzaak als MS denken, omdat we de klachten niet vanuit één perifere zenuw of zenuwwortel kunnen verklaren. Het in uren tot dagen ontstaan van de klachten maakt onderscheid met vasculaire oorzaken mogelijk.
Het lastige is dat MS zich op veel verschillende wijzen kan presenteren, afhankelijk van de plaats in het centrale zenuwstelsel waar zich een laesie vormt. Hoewel ‘alles kan’, zien we wel een patroon. Een veelvoorkomend eerste verschijnsel (± 20%) is een neuritis optica. Bij deze meestal unilaterale oogzenuwontsteking gaat het om een in uren tot dagen ontstane visusdaling met pijnlijke oogbewegingen. Bij onderzoek is er een relatief afferent pupildefect [figuur 1]. Ruggenmergsyndromen komen veel voor, met symptomen als geleidelijk opkruipende tintelingen van (bijvoorbeeld) de voeten tot het niveau van (bijvoorbeeld) de navel, of het symptoom van Lhermitte (elektrische sensaties van de nek naar caudaal bij flexie van de nek). Ook een hersenstamsyndroom komt voor, met bijvoorbeeld oogbewegingsstoornissen met dubbelzien of ataxie [tabel 1].
Tabel1Meestvoorkomende eerste verschijnselen met voorbeeldsymptomen
Neuritis opticaRuggenmergsyndroomHersenstamsyndroom
Monoculair visusverliesPijn rondom oog of bij oogbewegingenCentraal scotoomVerminderd kleurenzienOpstijgende gevoelsstoornissen aan beide benenmet sensibel niveauAsymmetrische parapareseMictiestoornissen Symptoom van Lhermitte*VertigoDiplopie(Bilaterale) internucleaire ofthalmoplegieAtaxieNystagmusHersenzenuwuitval, onder andere n. trigeminus, abducens
* Symptoom van Lhermitte = stroomgevoel langs de ruggengraat bij vooroverbuigen van het hoofd.
Internucleaire ofthalmoplegie (INO) = adductiezwakte ipsilaterale oog met nystagmus van het abducerende contralaterale oog.

Casus (vervolg)

Drie dagen later ziet u de patiënte weer. Nu heeft zij ook moeite om met haar rechter hand te schrijven. U verwijst haar naar de neuroloog.

Diagnose

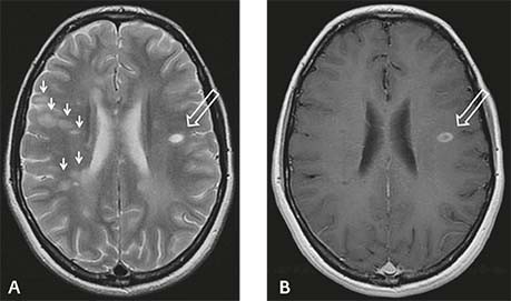
De waarschijnlijkheidsdiagnose MS berust op twee pijlers: spreiding in tijd en plaats van bij MS passende verschijnselen. Dat betekent dat er minimaal twee episodes van uitval moeten zijn geweest, vanuit verschillende lokalisaties in het centrale zenuwstelsel. Bij bovenstaande patiënte, die een goed bij MS passende episode van uitval doormaakt, kan men de diagnose MS dus nog niet stellen: de klachten kunnen zijn ontstaan door één groter wordende laesie. Voor de diagnose is een tweede episode vanuit een ander deel van het centrale zenuwstelsel nodig, die soms snel, maar soms pas na jaren komt. In het laatste geval ontstaat voor patiënten een lange en onzekere periode. De nieuwste diagnostische criteria laten echter toe dat men een tweede episode ook kan vaststellen door nieuwe, asymptomatische laesies aan te tonen bij herhaald MRI-onderzoek van de hersenen en/of het ruggenmerg [figuur 2].5 Hierdoor kan men de diagnose MS vaak veel eerder stellen. Lumbaalpunctie voor onderzoek van de liquor cerebrospinalis is tegenwoordig meestal niet nodig.

Casus (vervolg)

Na enkele weken ontvangt u correspondentie over de patiënte. De neuroloog heeft inmiddels de diagnose RRMS gesteld op basis van MRI-scans van de hersenen en het ruggenmerg. Verder leest u dat ‘er nog niet is gestart met onderhoudsbehandeling’. Haar klachten zijn inmiddels spontaan hersteld.

Behandeling van MS

Bij de behandeling van MS onderscheiden we onderhoudsbehandeling, behandeling van exacerbaties en symptomatische behandeling. Qua onderhoudsbehandeling zijn er immunomodulerende en immunosuppressieve behandelingen, die inflammatie en demyelinisatie remmen [tabel 2]. Er zijn nog geen behandelingen voor neurodegeneratie, zodat alleen behandeling van RRMS mogelijk is, waar inflammatie immers de drijvende kracht achter de voortgang van de ziekte is, en niet van SPMS en PPMS, waar neurodegeneratie overheerst. Binnen de MS-wereld spreekt men over eerstelijns- en tweedelijnsmiddelen (waarbij ‘eerstelijns’ overigens niet betekent dat deze behandeling in eerste instantie in handen van de huisarts is!). Eerstelijnsmiddelen zijn minder effectief, maar kennen weinig ernstige bijwerkingen. Tweedelijnsmiddelen zijn effectiever, met een grotere kans op soms ernstige bijwerkingen. Het doel van de behandeling van exacerbaties, die doorgaans ook zonder behandeling herstellen, is sneller herstel. Of dit zinnig is, hangt af van de ernst van de uitval.
Tabel2Overzicht van immunomodulerende behandelingen
EerstelijnsbehandelingenTweedelijnsbehandelingen
GlatirameeracetaatInterferon-bètaTeriflunomideDimethylfumaraatNatalizumabFingolimodAlemtuzumab
Afname exacerbaties30%(ten opzichte van placebo)30%(ten opzichte van placebo)31% (ten opzichte van placebo)45%(ten opzichte van placebo)68% (ten opzichte van placebo)54% (ten opzichte van placebo)±50%(ten opzichte van interferon-bèta)
ToedieningInjectie s.c.Injectie s.c./i.m.TabletTabletInfuus 1x/maandTabletInfuus, enkele malen per jaar
WerkingsmechanismeGrotendeels onbekend, onder andere stimulatie regulatoire T-cellenGrotendeels onbekend, onder andere afname bloed-hersenbarrière (BHB)-disruptieRemt T-celproliferatieGrotendeels onbekend, onder andere activatie Nrf2Inhibeert migratie lymfocyten over BHBInhibeert mobilisatie B- en T-cellen uit lymfeklierLymfocytendepletie
Belangrijkste interactiesGeenVoorzichtigheid bij CYP-gemetaboliseerde middelen als anti-epilepticaRosuvastatine en HMG-Co-reductaseremmersRifampicineCYP-inductorenPenicilline, ciprofloxacine, furosemide en vele andereLevend verzwakte vaccins vermijdenNefrotoxische geneesmiddelen (NSAID’s, aminoglycosiden, diuretica of lithium)AlcoholImmunotherapieImmunotherapieLevend verzwakte vaccins vermijdenMiddelen met invloed op hartslag, CYP-450 en -3A4 gemetaboliseerde middelenGeen
Belangrijkste bijwerkingenPrikplekkenPrikplekkenGriepachtige verschijnselenLeverfunctiestoornissenDepressieTeratogeenDunner haarMaag-darmklachtenFlushingMaag-darmklachtenLeverfunctiestoornissenLymfopenieAllergische reactiesPMLBradycardieAV-blokHerpesinfectiesHypertensieInfusiegeassocieerde rash en koortsAuto-immuunthyreoïditisZeldzamer: auto-immuun-ITP en goodpasture-syndroom

Onderhoudsbehandeling van MS

Wanneer onderhoudsbehandeling?

Niet iedere patiënt behoeft behandeling. De vuistregel is dat onderhoudsbehandeling zinvol is bij ten minste twee klinische aanvallen in de voorafgaande twee jaar. Toch adviseert men soms behandeling na één klinische episode, bijvoorbeeld als de MRI-scan aantoont dat er sprake is van grote subklinische ziekteactiviteit. Andere factoren die meespelen, zijn onder meer de voorkeur van de patiënt, het bijwerkingenprofiel, de medische voorgeschiedenis en een zwangerschapswens.

Eerstelijnsbehandelingen

De klassieke eerstelijnsbehandelingen voor RRMS zijn de immunomodulatoren interferon-bèta (Avonex, Betaferon, Rebif) en glatirameeracetaat (Copaxone), die bij RRMS een afname van exacerbaties van 30% geven.6 Op de lange termijn hebben ze echter geen bewezen invloed op de klinische ziekteprogressie.7 Het zijn veilige middelen waarmee twintig jaar ervaring is opgedaan. Ze worden subcutaan of intramusculair toegediend. Bij alle middelen zijn prikplekken een bijwerking, bij de interferonen komen tijdelijke griepachtige verschijnselen veel voor (preventief kan de patiënt paracetamol of een NSAID innemen). Binnenkort komt gepegyleerd interferon-bèta (Plegridy) beschikbaar, dat een lagere toedieningsfrequentie kent.
Teriflunomide (Aubagio) en dimethylfumaraat (Tecfidera) zijn in 2014 beschikbaar gekomen als oral eerstelijnstherapieën. De effectiviteit van teriflunomide is vergelijkbaar met die van bovengenoemde middelen, dimethylfumaraat is mogelijk iets effectiever.8910 Bij teriflunomide moet men bedacht zijn op geneesmiddeleninteracties. Bijwerkingen zijn dunner wordend haar, diarree en ALAT-stijging. Teratogeniciteit kan reden zijn om jonge vrouwen niet te behandelen met teriflunomide. De langetermijneffecten van dit middel zijn minder goed bekend dan die van dimethylfumaraat. De meestvoorkomende bijwerkingen van dimethylfumaraat zijn ‘flushing’ en maag-darmklachten, vooral gedurende de eerste maanden, terwijl men ook hier leverwaarden moet monitoren en er soms lymfopenie kan optreden.

Tweedelijnsbehandelingen

Als de ziekte onder eerstelijnsbehandeling actief blijft moet men tweedelijnsbehandeling overwegen. Hiertoe behoren natalizumab, fingolimod en alemtuzumab.

Natalizumab (Tysabri)

Deze intraveneuze vierwekelijkse behandeling verlaagt de exacerbatiefrequentie met 68% en vermindert het ontstaan van nieuwe MRI-laesies met 83%.11 In de praktijk zien we vaak dat patiënten met voorheen zeer actieve MS volledig stabiliseren. De belangrijkste complicatie is progressieve multifocale leuko-encefalopathie (PML). Dit ernstige ziektebeeld (20% overlijdt) wordt veroorzaakt door het JC-virus (JCV), waarvan ruim de helft van de bevolking drager is.12 Symptomen zijn in weken tot maanden progressieve neurologische en soms cognitieve uitval. Verwarring met MS-symptomen is dus mogelijk. Bij dragers van JCV die meer dan twee jaar natalizumab gebruiken, stijgt het risico in de Nederlandse populatie op basis van ons bekende gegevens tot wel 1:25. Voor niet-dragers is het risico echter nihil. Voor de huisarts is van belang dat elke toename van neurologische verschijnselen bij een gebruiker van natalizumab reden is tot direct overleg met de neuroloog.

Fingolimod (Gilenya)

Dit orale middel geeft een risicoreductie op exacerbaties van 48%. De belangrijkste bijwerkingen zijn bradycardie en AV-blok.13 Hoewel gewoonlijk asymptomatisch en meestal alleen na de eerste gift, is dit de reden dat de eerste gift klinisch plaatsvindt. Ook hoesten, leverfunctiestoornissen, lymfocytopenie, maculaoedeem en hypertensie zijn mogelijke bijwerkingen. Specifiek van belang voor de huisarts is een verhoogde kans op herpesinfecties, die hij te allen tijde moet behandelen, bij voorkeur in overleg met de neuroloog.

Alemtuzumab (Lemtrada)

Dit is een intraveneuze behandeling waarbij een sterke immuunsuppressie wordt bereikt. De exacerbatiefrequentie daalt met ongeveer 50%, vergeleken met die bij interferon-bèta (Rebif). De belangrijkste bijwerking is een hoge kans op auto-immuunthyreoïditis.14 In Nederland is er nog weinig ervaring met dit middel opgedaan.

Casus (vervolg)

Binnen twee jaar na het stellen van de diagnose ontwikkelt de patiënte in enkele dagen een gevoelsstoornis met een sensibel niveau op Th4, waarbij ze moeite heeft het evenwicht te bewaren en urge-klachten heeft. U verwijst haar voor beoordeling naar haar neuroloog. Vanwege de invaliditeit bij dit ruggenmergsyndroom overweegt de neuroloog deze exacerbatie te behandelen en te starten met immunomodulerende therapie. Wegens een kinderwens ziet de arts af van teriflunomide en start hij met interferon-bèta. Enkele maanden later komt de patiënte bij u met somberheidsklachten.

Behandeling van exacerbaties

Niet elke exacerbatie behoeft behandeling. Altijd moet men aan de mogelijkheid van een pseudo-exacerbatie als gevolg van een infectie denken, vaak een urineweginfectie. Als deze is uitgesloten en er na enkele dagen geen verbetering optreedt, kan men intraveneus methylprednisolon geven. Dit veroorzaakt een sneller, maar geen vollediger herstel, wat zinvol is bij een invaliderende exacerbatie.15 Soms krijgt de patiënt ook een behandeling met orale steroïden, maar de bewijzen voor effectiviteit van een intraveneuze kuur zijn sterker.

Overige symptomen en hun behandeling

MS is meer dan krachtsverlies, gevoelsstoornissen of coördinatiestoornissen. De meer voorkomende symptomen en hun behandeling zullen wij toelichten.16

Psychische problematiek

Depressies en angststoornissen worden ondergediagnosticeerd en onderbehandeld. Bij het signaleren van deze klachten kan de huisarts een belangrijke rol spelen. De simpele vraag ‘Bent u depressief?’ is bij een positief antwoord erg sensitief voor de screening op depressie.17 Bedenk dat net als in de casus interferon-bèta mogelijk een verhoogd risico geeft op (recidief) depressie. Verwijs bij een vermoeden van stemmingsstoornissen bij voorkeur door naar een psycholoog of psychiater in verband met een verhoogd suïciderisico bij MS.18

Psychosociale problematiek

De last die de patiënt ervaart, wordt bepaald door de ernst van de lichamelijke en psychische achteruitgang en de manier waarop de patiënt en zijn omgeving daarmee omgaan. Na het stellen van de diagnose heeft de patiënt last van grote onzekerheid over de toekomst. Later in het ziektebeloop kan de sociale status binnen het gezin en daarbuiten veranderen en kan de patiënt steeds meer beperkingen tegenkomen, waarop hij of zijn omgeving kan vastlopen. Ook relatieproblemen komen vaker voor. Zowel de partner, de kinderen als de ouders van een patiënt kunnen behoefte hebben aan begeleiding bij het omgaan met een familielid met MS.18

Cognitieve stoornissen

Cognitieve stoornissen komen veel voor bij MS-patiënten (40-70%).19 Vooral de snelheid van de informatieverwerking en het geheugen zijn gestoord.20 Cognitieve stoornissen hebben grote invloed op de kwaliteit van leven.1821 Bij klachten kan men eventueel verwijzen naar een psycholoog of ergotherapeut om de kwaliteit van leven en het maatschappelijk functioneren te optimaliseren, bijvoorbeeld door compensatiestrategieën aan te leren. Denk ook aan andere oorzaken van cognitief disfunctioneren, zoals depressie, medicatiegebruik en vermoeidheid.18

M oeheid

MS-patiënten ervaren moeheid als een van de hinderlijkste symptomen.22 Bij vermoeidheidsklachten moet men nagaan of er een andere verklaring dan MS is. Denk aan (oorzaken voor) slaapstoornissen als pijn/depressie/angst, psychosociale problematiek, over- en onderbelasting. Laat oriënterend bloedonderzoek doen naar infecties, anemie en schildklierlijden. Advies van een MS-verpleegkundige of revalidatiearts kan bijdragen aan een betere energiebalans. Soms helpt amantadine 2 dd 100 mg.23

Spasticiteit

Spasticiteit zien we bij meer dan 60% van de MS-patiënten. Dit symptoom kan leiden tot pijn, verminderde mobiliteit en contracturen. Als het gelokaliseerd is in één extremiteit, kan men fysiotherapie of botulinetoxine overwegen. Bij gegeneraliseerde spasticiteit kan een behandeling met baclofen, tizanidine of dantroleen helpen. Sommige patiënten staan en lopen als het ware op hun spasme. Bij hen kan behandeling een averechts effect hebben.1624 Denk er ook aan dat een plotselinge toename van spasticiteit kan ontstaan bij een probleem elders in het lichaam, vaak een urineweginfectie.

Neuropathische pijn

De prevalentie van neuropathische pijn is 30-50%.2526 De behandeling is gelijk aan die van neuropathische pijn van andere oorsprong. Veelgebruikte middelen zijn amitriptyline en de anti-epileptica carbamazepine, gabapentine en pregabaline.27 Bij trigeminusneuralgie is carbamazepine de eerste keus. Cannabinoïden lijken een positief effect te hebben op neuropathische pijn en pijnlijke spasmen bij MS. Goede vergelijkende onderzoeken met de eerder genoemde middelen zijn er (nog) niet.28 Alle hebben ze de nodige bijwerkingen en het is de vraag of ze de klachten adequaat verlichten.1626

De rol van vitamine D

De theorie dat vitamine D een beschermende rol speelt bij MS, is voortgekomen uit het gegeven dat de prevalentie van MS stijgt met de afstand tot de evenaar.29 Hoewel hard bewijs ontbreekt, zijn er wel enige aanwijzingen voor een gunstig effect op het ziektebeloop.30 Doseringen tot 4000 IE per dag zijn veilig.31 Vitamine D kan men ook eenmaal per week of per twee weken geven.

Kernpunten

  • Denk aan MS bij elk neurologisch uitvalsverschijnsel dat in uren tot dagen ontstaat en langer dan een etmaal duurt bij een patiënt &lt 40 jaar.
  • Denk bij opvlamming van oude MS-symptomen aan een onderliggende infectie, in het bijzonder een urineweginfectie. Behandel deze vooraleer aan een exacerbatie te denken en door te verwijzen.
  • Behandel elke herpesinfectie bij patiënten die fingolimod gebruiken.
  • Bij patiënten die natalizumab gebruiken is elk nieuw neurologisch symptoom en uitvalsverschijnsel reden tot overleg met de neuroloog (cave PML).
  • Wees bedacht op teratogeniciteit bij patiëntes die teriflunomide gebruiken.
  • De richtlijn MS van de Nederlandse Vereniging voor Neurologie bevat veel nuttige informatie en is te downloaden via https://www.neurologie.nl/index.php/download_file/view/995/114.

Dankwoord

De auteurs danken prof. dr. H. de Vries, huisarts, afdeling huisartsgeneeskunde VUmc voor zijn adviezen.

Literatuur

  • 1.Pittock CJ, Lucchinetti CF. The pathology of MS. New insights and potential clinical applications. Neurologist 2007;13:45-56.
  • 2.Waxman SG. Axonal conduction and injury in multiple sclerosis: the role of sodium channels. Nat Rev Neurosci 2006;7:932-41
  • 3. Confavreux C, Vukusic S, Adeleine P. Early clinical predictors and progression of irreversible disability in multiple sclerosis: an amnesic process. Brain 2003;126:770-82.
  • 4.Confavreux C, Vukusic S, Moreau T, Adeleine P. Relapses and progression of disability in multiple sclerosis. N Engl J Med 2000;343:1430-8.
  • 5.Polman CH, Reingold SC, Banwell B, Clanet M, Cohen JA, Filippi M, et al. Diagnostic criteria for multiple sclerosis: 2010 revisions to the McDonald criteria. Ann Neurol 2011;69:292-302.
  • 6.Compston A, Coles A. Multiple sclerosis. Lancet 2008;372:1502-17.
  • 7. Shirani A, Zhao Y, Karim ME, Evans C, Kingwell E, Van der Kop ML, et al. Association between use of interferon beta and progression of disability in patients with relapsing-remitting multiple sclerosis. JAMA 2012;308:247-56.
  • 8.Vermersch P, Czlonkowska A, Grimaldi LM, Confavreux C, Comi G, Kappos L, et al.; TENERE Trial Group. Teriflunomide versus subcutaneous interferon beta-1a in patients with relapsing multiple sclerosis: a randomised, controlled phase 3 trial. Mult Scler 2014;20:705-16.
  • 9.O’Connor P, Wolinsky JS, Confavreux C, Comi G, Kappos L, Olsson TP, et al.; TEMSO Trial Group. Randomized trial of oral teriflunomide for relapsing multiple sclerosis. N Engl J Med 2011;365:1293-303.
  • 10.Fox RJ, Miller DH, Phillips JT, Hutchinson M, Havrdova E, Kita M, et al.; CONFIRM Study Investigators. Placebo-controlled phase 3 study of oral BG-12 or glatiramer in multiple sclerosis. N Engl J Med 2012;367:1087-97.
  • 11.Polman CH, O’Connor PW, Havrdova E, Hutchinson M, Kappos L, Miller DH, et al; AFFIRM Investigators. A randomized, placebo-controlled trial of natalizumab for relapsing multiple sclerosis. N Engl J Med 2006;354:899-910.
  • 12.Vermersch P, Kappos L, Gold R, Foley JF, Olsson T, Cadavid D, et al. Clinical outcomes of natalizumab-associated progressive multifocal leukoencephalopathy. Neurology 2011;76:1697-704.
  • 13. Calabresi PA, Radue EW, Goodin D, Jeffery D, Rammohan KW, Reder AI, et al. Safety and efficacy of fingolimod in patients with relapsing-remitting multiple sclerosis (FREEDOMS II): a double-blind, randomised, placebo-controlled, phase 3 trial. Lancet Neurol 2014;13:545-56.
  • 14.Coles AJ. Alemtuzumab therapy for multiple sclerosis. Neurotherapeutics 2013;10:29-33.
  • 15.Andersson PB, Goodkin DE. Glucocorticosteroid therapy for multiple sclerosis: a critical review. J Neurol Sci 1998;160:16-25.
  • 16.Thompson AJ, Toosy AT, Ciccarelli O. Pharmacological management of symptoms in multiple sclerosis: current approaches and future directions. Lancet Neurol 2010;9:1182-99.
  • 17.Vahter L, Kreegipuu M, Talvik T, Gross-Paju K. One question as a screening instrument for depression in people with multiple sclerosis. Clin Rehabil 2007;21:460-4.
  • 18.Nederlandse Vereniging voor Neurologie. Richtlijn Multipele Sclerose 2012. Houten: Bohn Stafleu Van Loghum, 2012.
  • 19.Chiaravalloti ND, DeLuca J. Cognitive impairment in multiple sclerosis. Lancet Neurol 2008;7:1139-51.
  • 20.Benedict R, Cookfair D, Gavett R, Gunther M, Munschauer F, Garg N, et al. Validity of the minimal assessment of cognitive function in multiple sclerosis (MACFIMS). J Int Neuropsychol Soc 2006;12:549-58.
  • 21.Wynia K, Middel B, Dijk JP van, Keyser JH de, Reijneveld SA. The impact of disabilities on quality of life in people with multiple sclerosis. Mult Scler 2008;14:972-80.
  • 22.Rosenberg JH, Shafor R. Fatigue in multiple sclerosis: a rational approach to evaluation and treatment. Curr Neurol Neurosci Rep 2005;5:140-6.
  • 23.Pucci E, Branãs P, D’Amico R, Giuliani G, Solari A, Taus C. Amantadine for fatigue in multiple sclerosis. Cochrane Database Syst Rev 2007;1:CD002818.
  • 24.Kheder A, Nair KP. Spasticity: pathophysiology, evaluation and management. Pract Neurol 2012;12:289-98.
  • 25. Foley PL, Vesterinen HM, Laird BJ, Sena ES, Colvin LA, Chandran S, et al. Prevalence and natural history of pain in adults with multiple sclerosis: systematic review and meta-analysis. Pain 2013;154:632-42.
  • 26. Solaro C, Uccelli MM. Management of pain in multiple sclerosis: a pharmacological approach. Nat Rev Neurol 2011;7:519-27.
  • 27.Moore RA, Derry S, Aldington D, Cole P, Wiffen PJ. Amitriptyline for neuropathic pain and fibromyalgia in adults. Cochrane Database Syst Rev. 2012;12:CD008242.
  • 28. Koppel BS, Brust JCM, Fife T, Bronstein J, Youssof S, Gronseth G, et al. Systematic review: efficacy and safety of medical marijuana in selected neurologic disorders: report of the Guideline Development Subcommittee of the American Academy of Neurology. Neurology 2014;82:1556-63.
  • 29.Simpson S Jr, Blizzard L, Otahal P, Van der Mei I, Taylor B. Latitude is significantly associated with the prevalence of multiple sclerosis: a meta-analysis. J Neurol Neurosurg Psychiatry 2011;82:1132-41.
  • 30.Runia TF, Hintzen RQ. The role of vitamin D in MS. Tijdschr Neurol Neurochir 2014;115:26-30.
  • 31.EFSA Panel on Dietetic Products, Nutrition and Allergies (NDA). Scientific Opinion on the Tolerable Upper Intake Level of vitamin D. EFSA J 2012;10:2813.
  • 32.Miller DH, Weinshenker BG, Filippi M, Banwell BL, Cohen JA, Freedman MS, et al. Differential diagnosis of suspected multiple sclerosis: a consensus approach. Mult Scler 2008;14:1157-74.

Reacties

Er zijn nog geen reacties.