De kern
-
De differentiaaldiagnose van een zwelling aan de pols is breed. Denk aan quervaintendovaginitis, ganglion, lipoom, atheroomcyste en tromboflebitis.
-
Een weinig beschreven oorzaak van zwelling van de pols is een vaataandoening van de a. radialis.
-
Bij pulserende zwelling van de pols is echografie de aangewezen diagnostiek.
Casus | Mevrouw De Greef
Mevrouw De Greef is 58 jaar. Zij komt bij de huisarts met een subacuut ontstane, pijnlijke zwelling van de rechterpols [figuur 1]. Ze heeft geen andere klachten en kan geen aanleiding bedenken. Mevrouw heeft diabetes mellitus type 2 en hypertensie. Ze heeft 4 maanden geleden een hartkatheterisatie ondergaan vanwege angina pectoris. Ze gebruikt daarvoor onder andere prasugrel en rivaroxaban. De huisarts schrijft NSAID’s voor, maar deze hebben geen effect en de zwelling blijft groeien. Na 3 weken worden er pulsaties zichtbaar en voelbaar. De huisarts verwijst mevrouw voor een echo.
Figuur 1 | Zwelling aan de radiale zijde van de pols, 3 weken geleden ontstaan
Een pijnlijke zwelling aan de pols heeft in eerste instantie een brede differentiaaldiagnose, met onder andere quervainten-dovaginitis, ganglion, lipoom, atheroomcyste en tromboflebitis.1 Deze zijn te onderscheiden op basis van de grootte, aard en locatie van de zwelling en de soort pijn. De klachten van mevrouw De Greef zijn echter niet specifiek voor een van deze aandoeningen. Mede door de pulsaties komt de waarschijnlijkheidsdiagnose niet in dit rijtje voor. Wel valt te denken aan een vaataandoening, de aangewezen diagnostiek daarvoor is een echo.
In de beschikbare literatuur (NHG-Standaarden, Cochrane Database, UpToDate, BMJ Best Practice) is opvallend weinig te vinden over pulserende zwellingen aan de pols. In enkele case reports komen 3 diagnoses aan de orde: aneurysma, aneurysma spurium of cysteuze adventitiadegeneratie van de a. radialis. Deze diagnoses bespreken we hieronder.
Aneurysma van de a. Radialis
Een waar aneurysma is een verwijding (fusiform) of uitstulping (sacculair) van het bloedvat waaraan alle 3 de buitenlagen van de arterie meedoen. Dit in tegenstelling tot een aneurysma spurium, waarvan de wand gevormd wordt door de adventitia [figuur 2].2
Figuur 2 | Aneurysma, aneurysma spurium en cysteuze adventitiadegeneratie van de a. radialis
Aneurysma’s van de a. radialis zijn zeldzaam, ze vormen 2,9% van alle aneurysma’s van de bovenste extremiteiten. Een fusiform aneurysma ontstaat vaak spontaan of poststenotisch, een sacculair aneurysma ontstaat na trauma. Een waar aneurysma moet met redelijke spoed worden behandeld in verband met het risico op ernstige complicaties, zoals trombo-embolie, occlusie met ischemie en zenuwcompressie. In zeldzame gevallen kan een ruptuur optreden.34
Aneurysma spurium van de a. radialis
Een aneurysma spurium ontstaat meestal na een arteriële katheterisatie of punctie doordat het gevormde stolsel het lumen niet goed afsluit. Daardoor kan buiten het vat een bloed-ophoping ontstaan die in verbinding blijft staan met het vat. De incidentie van een aneurysma spurium na een percutane arteriële interventie is 0,05 tot 2%.5 Het absolute aantal zal waarschijnlijk toenemen omdat steeds meer katheterisaties plaatsvinden via de a. radialis in plaats van via de a. femoralis. In een onderzoek bij 11 patiënten met een katheterisatiegerelateerd aneurysma spurium gebruikten 10 van hen antistolling.6 De gemiddelde tijd tussen de katheterisatie en de diagnose ‘aneurysma spurium’ was 9 dagen (uitersten 0-42). Bij weinig of geen klachten volstaat afwachtend beleid, als er meer klachten optreden, zijn de behandelopties een injectie met trombine, compressietherapie of operatie.26
Cysteuze adventitiadegeneratie van de a. radialis
In 2013 en 2019 zijn in Nederland 2 patiënten beschreven met cysteuze adventitiadegeneratie.78 Bij deze zeldzame aandoening vormt zich een mucineuze cyste in de adventitia. Meestal zit de cyste in de a. poplitea, maar zij kan ook ontstaan in arteriën van de onderarm. Op de echo wordt dan een cysteuze structuur gezien met mucoïd materiaal in de wand van de a. radialis. Cysteuze adventitiadegeneratie kan worden veroorzaakt door trauma (arteriële punctie, katheterisatie).3 Op de echo is het te onderscheiden van een aneurysma spurium doordat in de zwelling geen doorstroming plaatsvindt.8
Uit deze casus is te leren dat de differentiaaldiagnose van een zwelling van de pols breder kan zijn dan men in eerste instantie vermoedt. Het is goed om bij de differentiaaldiagnose ook te denken aan een vaataandoening.
Casus (vervolg) | Mevrouw De Greef
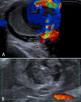
Op de echo wordt ter plaatse van de zwelling een vaatstructuur van > 2 cm gezien met een pulserende flow [figuur 3]. Er wordt direct een CT-angiogram gemaakt, waarop tegen de a. radialis een bolvormige laesie met een diameter van 3 cm te zien is [figuur 4]. De laesie kleurt volledig aan, passend bij een aneurysma spurium. In verband met de pijnklachten wordt mevrouw De Greef verwezen naar de Spoedeisende Hulp. Aldaar wordt de antistolling stopgezet in de verwachting dat de zwelling zal stollen en het stolsel langzaam zal worden opgeruimd. Op de controle-echo’s na 2 weken blijkt echter nog steeds flow aanwezig. Hierop krijgt mevrouw De Greef een trombine-injectie toegediend in de zwelling. Na 6 weken is vrijwel het gehele aneurysma geresorbeerd. Vermoedelijk was het ontstaan ten gevolge van de hartkatheterisatie enige maanden geleden.
Figuur 3 | Echografie van een aneurysma spurium. Voor behandeling is de flow duidelijk zichtbaar (a), na het staken van antistolling wordt bijna geen flow meer gezien (b)
Figuur 4 | CT-angiografe van een aneurysma spurium
Literatuur
- 1.↲Peters-Veluthamaningal C, Willems W, Smeets JG, et al. NHG-Standaard Hand- en polsklachten (versie 1.0). Utrecht: NHG, 2010.
- 2.↲↲Swanton A, Coughlan F, Hasan H. Radial artery pseudoaneurysm following coronary angiogram. BMJ Case Rep 2019;12:e228723.
- 3.↲↲Al-Zoubi NA. Idiopathic true aneurysm of distal radial artery: case report. Vasc Health Risk Manag 2018;14:279-81.
- 4.↲Maalouly J, Aouad D, Saidy E, et al. Atraumatic left distal radial artery aneurysm. Case Rep Orthop 2019;2019:4608171.
- 5.↲Trubel W, Staudacher M, Magometschnigg H, et al. Das Aneurysma spurium nach iatrogener arterieller Punktion-–Inzidenz, Risikofaktoren und chirurgische Therapie. Wien Klin Wochenschr 1993;105:139-43.
- 6.↲↲Tosti R, Özkan S, Schainfeld RM, et al. Radial artery pseudoaneurysm. J Hand Surg Am 2017;42:295.e1-6.
- 7.↲Boersma EZ, Menting TP, Reijnen MM. Cysteuze adventitiadegeneratie van de A. radialis: Een zwelling in de pols van onverwachte oorsprong. Ned Tijdschr Geneeskd 2019;163:D3566.
- 8.↲↲Raaijmakers CP, Vriens PW, Elshof JW. Een drukpijnlijke zwelling aan de binnenzijde van de pols. Ned Tijdschr Geneeskd 2013;157:A6701.
Reacties
Er zijn nog geen reacties.