Praktijk

Pneumothorax na acupunctuur

Gepubliceerd
12 oktober 2020
Acupunctuur is relatief veilig, maar kan leiden tot complicaties. Een zeer zeldzame, maar ernstige complicatie is een pneumothorax. Bij thoracale pijnklachten na een acupunctuurbehandeling moet altijd een pneumothorax worden overwogen. Risicofactoren zijn acupunctuur van thorax, schouders en bovenrug, een niet goed uitgevoerde procedure en longemfyseem of longkanker in de voorgeschiedenis.
0 reacties

De kern

  • Milde complicaties treden op bij 6,7 tot 15% van de patiënten die acupunctuur ondergaan.

  • Een pneumothorax is een zeer zeldzame, ernstige complicatie die met name kan optreden na acupunctuur van schouders, thorax en bovenrug.

  • Bij patiënten met thoracale pijnklachten na acupunctuur moet de mogelijkheid van een pneumothorax altijd overwogen worden.

Casus | 33-jarige vrouw met pijn op de borst

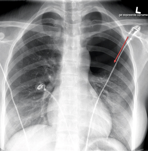
Een 33-jarige vrouw bezocht de huisarts wegens pijn op de borst. Een dag eerder had zij een acupunctuurbehandeling ondergaan voor pijnklachten in de rug. Daarbij waren naalden geplaatst op onder meer de rug en de schouders. Vlak na deze behandeling kreeg de patiënte last van nieuwe pijnklachten in de rug, later ook op de borst. De pijn op de borst werd erger bij diepe inademing en er was sprake van dyspneu. Bij auscultatie van de longen was links verminderd ademgeruis hoorbaar en aan de linkerzijde van de thorax was er een hypersonore percussie. De patiënte had een regulaire tachycardie van 110/min en een saturatie van 100%. De huisarts verwees haar door voor een röntgenfoto van de thorax. De beschrijving van de radioloog luidde: pneumothorax links apicaal en ventraal; geen aanwijzingen voor een spanningscomponent; rechterlong goed ontplooid, slank cardiomediastinum. De patiënte bezocht de Spoedeisende Hulp, waar een thoraxdrain geplaatst werd zonder dat er verdere complicaties optraden [figuur 1].

Figuur 1 | Voor-achterwaartse X-thorax met de pneumothorax (rode pijl)

Voor-achterwaartse X-thorax met de pneumothorax (rode pijl)
Voor-achterwaartse X-thorax met de pneumothorax (rode pijl)

Acupunctuur is een van de populairste complementaire behandelwijzen. In 2018 bezocht 11% van de Nederlanders een alternatieve genezer en ongeveer 2% een acupuncturist.1 Acupunctuur is relatief veilig, maar kan leiden tot ernstige complicaties. Pneumothorax is daar 1 van.

Bij acupunctuur plaatst de behandelaar dunne metalen naalden op bepaalde punten in het lichaam. Bij musculoskeletale aandoeningen worden per sessie meestal 5 tot 15 naalden gebruikt die 10 tot 30 minuten blijven zitten. Deze naalden hebben een diameter van 0,20 tot 0,35 mm, zijn 10 tot 100 mm lang en bereiken dieptes van 10 tot 65 mm. De naaldpunt ligt meestal in een spier, maar kan ook per ongeluk in onderliggende structuren geplaatst worden, zoals een zenuw of de pleura. Parasternaal en in de regio van de midclaviculaire lijn is een diepte van 10 tot 20 mm voldoende om de longen te bereiken.35

Complicaties na acupunctuur

Over het algemeen beschouwt men acupunctuur als veilig, maar tijdens en na de behandeling kunnen complicaties optreden. Er zijn veel verschillende complicaties beschreven, waaronder orgaan- en weefselschade (pneumothorax, zenuwschade), infecties (hepatitis, tetanus), lokale complicaties (contactdermatitis, allergische reacties) en systemische complicaties (duizeligheid, syncope).67 Uit prospectieve onderzoeken is gebleken dat milde complicaties, zoals een lokale bloeding, optreden bij 6,7 tot 15% van de patiënten die acupunctuur ondergaan.812 Ernstige complicaties, waarvan pneumothorax de meest voorkomende is, treden zeer zelden op.1315 Een recent Taiwanees onderzoek geeft als incidentiecijfer voor pneumothorax na acupunctuur 1,75 per miljoen patiënten als de acupunctuur plaatsvindt in een risicogebied van het lichaam. Risicogebieden zijn schouders, thorax en bovenrug [figuur 2], niet-risicogebieden zijn de extremiteiten en de onderrug.16 Dat acupunctuur in de genoemde risicogebieden de kans vergroot op het ontstaan van een pneumothorax wordt bevestigd door meerdere case reports.31719 Ook bij onze patiënte werd de pneumothorax veroorzaakt door acupunctuur van rug en schouders.

Figuur 2 | Acupunctuurpunten waarbij het risico op beschadiging van de longen verhoogd is, zijn gerelateerd aan de maag (S11-17), de nier (K22-27) en de long (L2)5

Acupunctuurpunten waarbij het risico op beschadiging van de longen verhoogd is, zijn gerelateerd aan de maag (S11-17), de nier (K22-27) en de long (L2)
Acupunctuurpunten waarbij het risico op beschadiging van de longen verhoogd is, zijn gerelateerd aan de maag (S11-17), de nier (K22-27) en de long (L2)

Niet alleen de locatie van de acupunctuurpunten, maar ook de wijze waarop de naalden worden geplaatst speelt een rol: te diepe of onjuiste plaatsing en verplaatsing van reeds ingebrachte naalden verhogen het risico op een pneumothorax.20 Andere risicofactoren zijn thoraxchirurgie in de voorgeschiedenis, chronische bronchitis, longemfyseem, pneumonie, tuberculose en longkanker. Voor mannen is de kans op een pneumothorax na acupunctuur groter dan voor vrouwen.21

Dry needling

Dry needling heeft overeenkomsten met acupunctuur en wordt vooral binnen de fysiotherapie toegepast. Dry needling is gericht op drukpijnlijke plekken in de spieren, zogeheten trigger points, die geïnactiveerd worden met behulp van een diep (> 10 mm) of minder diep (5-10 mm) geplaatste acupunctuurnaald.22 Anders dan bij acupunctuur plaatst de behandelaar per punt niet meerdere naalden, maar slechts 1 naald, die korte tijd blijft zitten (30 sec tot 3 min) of steeds kort wordt ingeduwd en uitgetrokken.23 Logischerwijs bestaat er ook bij deze vorm van fysiotherapie een reeël risico op een pneumothorax en de literatuur beschrijft inderdaad enkele casussen.2427 Er zijn 2 grote onderzoeken gedaan naar complicaties na dry needling.2228 In het meest recente, een prospectief vragenlijstonderzoek onder 420 fysiotherapeuten over ruim 20.000 procedures, werden milde complicaties beschreven na 36,7% van de behandelingen. Het aantal ernstige complicaties was minder dan 0,1% en geen daarvan betrof een pneumothorax.29

Conclusie

Een pneumothorax treedt zelden op na acupunctuur, maar is wel een van de meest voorkomende ernstige complicaties. Risicofactoren zijn het plaatsen van naalden in thorax, schouders en bovenrug, de wijze waarop de behandeling wordt uitgevoerd en een voorgeschiedenis van longemfyseem of longkanker. Als een patiënt zich meldt met dyspneu of pijn op de borst na acupunctuur moet de arts altijd rekening houden met een mogelijke pneumothorax.

Botan S, Rob Verdonschot RJ. Een pneumothorax na acupunctuur. Huisarts Wet 2020;63: DOI:10.1007/s12445-020-0882-4.
Mogelijke belangenverstrengeling: niets aangegeven.

Literatuur

Reacties

Er zijn nog geen reacties.