Het echoapparaat wordt ook wel de ‘moderne stethoscoop’ van de huisarts genoemd [figuur 1]. Een toenemend aantal huisartsen bekwaamt zich in echografie. Zo zijn er momenteel ongeveer 400 huisartsen als huisarts-echografist ingeschreven in het kwaliteitsregister van het College voor Huisartsen met Bijzondere Bekwaamheden.
Figuur 1 | Echografie is de moderne stethoscoop van de huisarts
Het gebruik van het echoapparaat door de huisarts heeft een meerwaarde voor zowel de huisarts als de patiënt, zeker als huisartsen het gericht inzetten voor het bevestigen dan wel uitsluiten van een differentiële diagnose.13 Patiënten ervaren het gebruik van echografie in de huisartsenpraktijk als iets positiefs en het leidt tot een grotere betrokkenheid van de patiënt bij het consult en het vervolgbeleid.14 Het onderzoek is, afhankelijk van de organisatie in de praktijk, snel inzetbaar. Ook kan het voor de huisarts een prettige afwisseling in het spreekuur vormen.
Aan de hand van een aantal casussen willen we inzicht geven in de mogelijkheden van echografie binnen de huisartsenpraktijk. Vervolgens zullen we ingaan op de wetenschappelijke onderbouwing en enkele praktijkorganisatorische aspecten.
Casuïstiek
Een man van 56 jaar komt op het spreekuur met bovenbuikklachten die hij sinds een paar dagen heeft. Zijn voorgeschiedenis omvat hypertensie, diabetes mellitus type 2 en een cva 4 jaar eerder. Hij heeft al een paar dagen geen ontlasting gehad en heeft zuurgerelateerde klachten. De volgende dag maakt de huisarts een echo van de bovenbuik, waarop een abdominaal aorta-aneurysma van 10 cm is te zien. Diezelfde dag is de patiënt zonder verdere complicaties operatief behandeld.
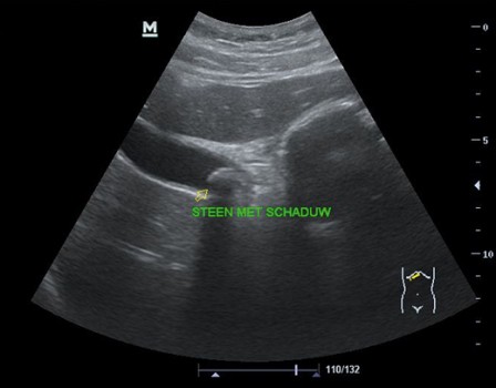
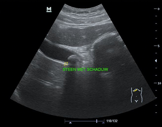
Een 37-jarige vrouw komt met bovenbuikklachten op het spreekuur. In de anamnese staat 3 keer aanvalsgewijze bovenbuikklachten die doortrekken naar de rug. Uit de echografie tijdens hetzelfde consult blijkt dat ze galstenen heeft [figuur 2]. Mevrouw gaat naar huis met instructies, een recept diclofenac-zetpillen voor eventuele koliekpijnen en een verwijzing voor de chirurg. Een maand later maakt een laparoscopische cholecystectomie een einde aan haar galsteenlijden.
Figuur 2 | Galsteen met slagschaduw
Een 30-jarige man met een blanco voorgeschiedenis meldt zich met zeurende en vooral in de nacht optredende pijnklachten in zijn rechterflank. Een urinestick toont overduidelijk erytrocyten aan en de tijdens het consult direct verrichte echografie laat in de rechternier kleine concrementen zien. In de linkernier ziet de huisarts forse concrementen met een aanzienlijke hydronefrose. In overleg met de dienstdoende uroloog zet de huisarts naast pijnstilling een adequaat poliklinisch vervolg in.
Beschouwing
Deze alledaagse casussen laten zien dat echografie een plaats kan hebben in de huisartsenpraktijk. Er bestaat consensus over de indicaties voor point-of-care echografie in de huisartsenpraktijk, zoals blijkt uit kwalitatief onderzoek.5
Literatuur
Er is onderzoek gedaan naar de betrouwbaarheid van echografie in de huisartsenpraktijk. In een Scandinavisch onderzoek verrichtten huisartsen echo’s met de indicatie galstenen, ascites, een verwijde aorta abdominalis (meer dan 5 cm), intra-uteriene zwangerschap of zwangerschapsduur.6 In totaal ging het om 188 echo’s bij 104 patiënten die gemiddeld 6 minuten duurden. De interbeoordelaarsbetrouwbaarheid was bijna perfect, de kappacoëfficiënt was 0,93. Voor ascites, verwijde aorta en intra-uteriene zwangerschap was er zelfs volledige overeenstemming met de specialist.6 De huisarts-echografist kan dus een aantal echografische afwijkingen net zo goed vaststellen als een radioloog of gynaecoloog.6
Nederlands onderzoek toonde eerder al aan dat abdominale echografie in de eerste lijn het beleid van de huisarts in 64% van de gevallen verandert, dat huisartsen 30-45% minder naar de tweede lijn verwijzen en dat de huisarts in 15-43% van de gevallen de patiënt beter kan geruststellen.7 Een systematische review uit 2019 komt tot de conclusie dat echografie in de huisartsenpraktijk een belangrijk diagnostisch instrument kan zijn en geld kan besparen.1
Onderzoek in het Verenigd Koninkrijk toonde eveneens aan dat het aantal verwijzingen naar de tweede lijn afneemt, inclusief acute opnamen.8 Minder verwijzen is geen doel op zich, maar dankzij echografie kan verwijzing wel veel gerichter gebeuren.
De innovatie van point-of-care echografie is dat de echografie naar de patiënt/praktijk toekomt.9 Point-of-care echografie voor de huisarts kunnen we misschien beter als een gericht klinisch instrument zien, een directe hulp in de spreekkamer. Ze vormt geen vervanging van de uitgebreide diagnostische echografie door de afdeling radiologie en vraagt ook om een andere expertise.9 Wel is verder onderzoek naar point-of-care echografie in de Nederlandse huisartsenpraktijk nodig om de precieze plaats te bepalen.
De Nederlandse situatie
In Nederland zijn verschillende instellingen verantwoordelijk voor de basisopleiding echografie.10 Het onderwijs wordt gegeven door radiologen, ervaren echografisten en huisarts-echografisten. Echografie-onderwijs biedt niet alleen een leuke en noodzakelijke praktische training, maar besteedt ook aandacht aan de specifieke indicatiegebieden en de kansen en beperkingen van eerstelijnsechografie. De cursus met 40 accreditatiepunten vindt verspreid over een aantal dagen plaats, met tussentijds voldoende ruimte om het geleerde in de eigen praktijk te oefenen. Aan het eind volgt een examen, waarna de huisarts-echografist zelfstandig onder andere galstenen, hydronefrose, een verwijde aorta en urineretentie kan diagnosticeren. Het indicatiegebied van echografie is natuurlijk veel groter en biedt ook de gevorderde huisarts-echografist via verdiepingsopleidingen nog volop nieuwe uitdagingen.
De noodzakelijke investering in eerstelijnsechografie hangt samen met het pakket van eisen dat de huisarts zelf aan de apparatuur stelt. Afhankelijk van de kwaliteit, het gebruiksgemak en het aantal gewenste transducers ligt deze investering tussen de € 15.000 en € 40.000. De Modernisering & Innovatiemodule Abdominale echografie maakt deze financiële hobbel goed neembaar; bij 2 tot 4 abdominale echo’s per week is de investering binnen de normale afschrijvingstermijn van 5 jaar terug te verdienen. In onze ervaring komt dit overeen met een normaal en goed geïndiceerd gebruik van abdominale echografie in de huisartsenpraktijk.
Het uitvoeren en interpreteren van abdominale echografie ter voorkoming van onnodige verwijzing naar de tweede lijn is de belangrijkste voorwaarde die de Nederlandse Zorgautoriteit voor vergoeding heeft gesteld.11
Eerstelijnsechografie is goed te organiseren wanneer er samenwerkingsafspraken met de HOED en/of HAGRO worden gemaakt. In onze regio denken we momenteel na over het opzetten van een samenwerking en intervisie door de huisarts-echografisten binnen onze huisartsencoöperatie. Hierbij willen we voor consultatie en nascholing samenwerken met de radiologen van het regionale ziekenhuis.
Zoals altijd het geval is binnen de huisartsgeneeskunde geldt ook hier dat als we kritisch naar ons eigen handelen willen blijven kijken. We moeten ons bewust zijn van onze beperkingen en moeten waar nodig additionele hulp inschakelen. Eerstelijnsechografie betreft in de basis een point-of-care onderzoek voor specifieke, welomschreven indicaties. Bij een vermoeden van andere pathologie of afwijkende anatomie moet laagdrempelig overleg met of verwijzing naar de tweede lijn plaatsvinden. Goede samenwerking met de tweede lijn is dan ook een vereiste voor het veilig uitvoeren van echodiagnostiek in de eerste lijn.
Ten slotte
Gerichte echografie door de huisarts kan voor de patiënt en huisarts van grote meerwaarde zijn. Juist dankzij hun kennis van de context van de patiënt, hun vermogen om klinisch onderzoek en gericht echografisch onderzoek te doen, en de mogelijkheid om de patiënt te vervolgen beschikken huisartsen over een unieke combinatie die hen in staat stelt om optimale diagnostiek te verrichten. Wij beschouwen point-of-care echografie als een veelbelovende innovatie.
Literatuur
- 1.↲↲↲Andersen CA, Holden S, Vela J, Rathleff MS, Jensen MB. Point-of-care ultrasound in general practice: a systematic review. Ann Fam Med 2019;17:61-9.
- 2.↲Soni NJ, Arntfield R, Kory P. Point-of-care ultrasound. Amsterdam: Elsevier, 2019.
- 3.↲Sorensen B, Hunskaar S. Point-of-care ultrasound in primary care: a systematic review of generalist performed point-of-care ultrasound in unselected populations. Ultrasound J 2019;11:31.
- 4.↲Andersen CA, Davidsen AS, Brodersen J, Graumann O, Jensen MB. Danish general practitioners have found their own way of using point-of-care ultrasonography in primary care: a qualitative study. BMC Fam Pract 2019;20:89.
- 5.↲Løkkegaard T, Todsen T, Nayahangan LJ, Andersen CA, Jensen MB, Konge L. Point-of-care ultrasound for general practitioners: a systematic needs assessment. Scand J Prim Health Care 2020;38:3-11.
- 6.↲↲↲Lindgaard K, Riisgaard L. Validation of ultrasound examinations performed by general practitioners. Scand J Prim Health Care 2017;35:256-61.
- 7.↲Speets AM, Hoes AW, Van der Graaf Y, Kalmijn S, De Wit NJ, Van Swijndregt ADM, et al. Upper abdominal ultrasound in general practice: indications, diagnostic yield and consequences for patient management. Fam Pract 2006;23:507-11.
- 8.↲Wordsworth S, Scott A. Ultrasound scanning by general practitioners: is it worthwhile? J Public Health Med 2002;24:88-94.
- 9.↲↲Weile J, Brix J, Moellekaer AB. Is point-of-care ultrasound disruptive innovation? Formulating why POCUS is different from conventional comprehensive ultrasound. Crit Ultrasound J 2018;10:25.
- 10.↲College voor Huisartsen met Bijzondere Bekwaamheden. Echografie. Utrecht, CHBB.
- 11.↲Nederlandse Zorgautoriteit. Beleidsregel huisartsenzorg en multidisciplinaire zorg 2020 – BR/REG-20133. Utrecht: Nederlandse Zorgautoriteit, 2020.
Reacties (8)
Text for comment 1514
- Login om te reageren
Text for comment 1515
- Login om te reageren
Text for comment 1511
- Login om te reageren
Text for comment 1510
- Login om te reageren
Text for comment 1508
- Login om te reageren
Text for comment 1509
- Login om te reageren
Text for comment 1507
- Login om te reageren
Text for comment 1506
- Login om te reageren