De kern
-
Bij 1 tot 5% van alle sportgerelateerde stressfracturen gaat het om de femurhals.
-
Vertraging in het stellen van de diagnose stressfractuur van de femurhals komt nog altijd voor doordat de behandelend arts er niet direct aan denkt.
-
Een röntgenopname van de heup is een goede eerste diagnostische stap, maar niet alle stressfracturen van de femurhals zijn direct zichtbaar op conventionele beeldvorming.
-
Bij een hoge klinische verdenking op een stressfractuur van de femurhals is tijdige verwijzing naar een orthopeed of traumachirurg voor aanvullende beeldvorming (MRI) en verdere behandeling nodig.
Casus
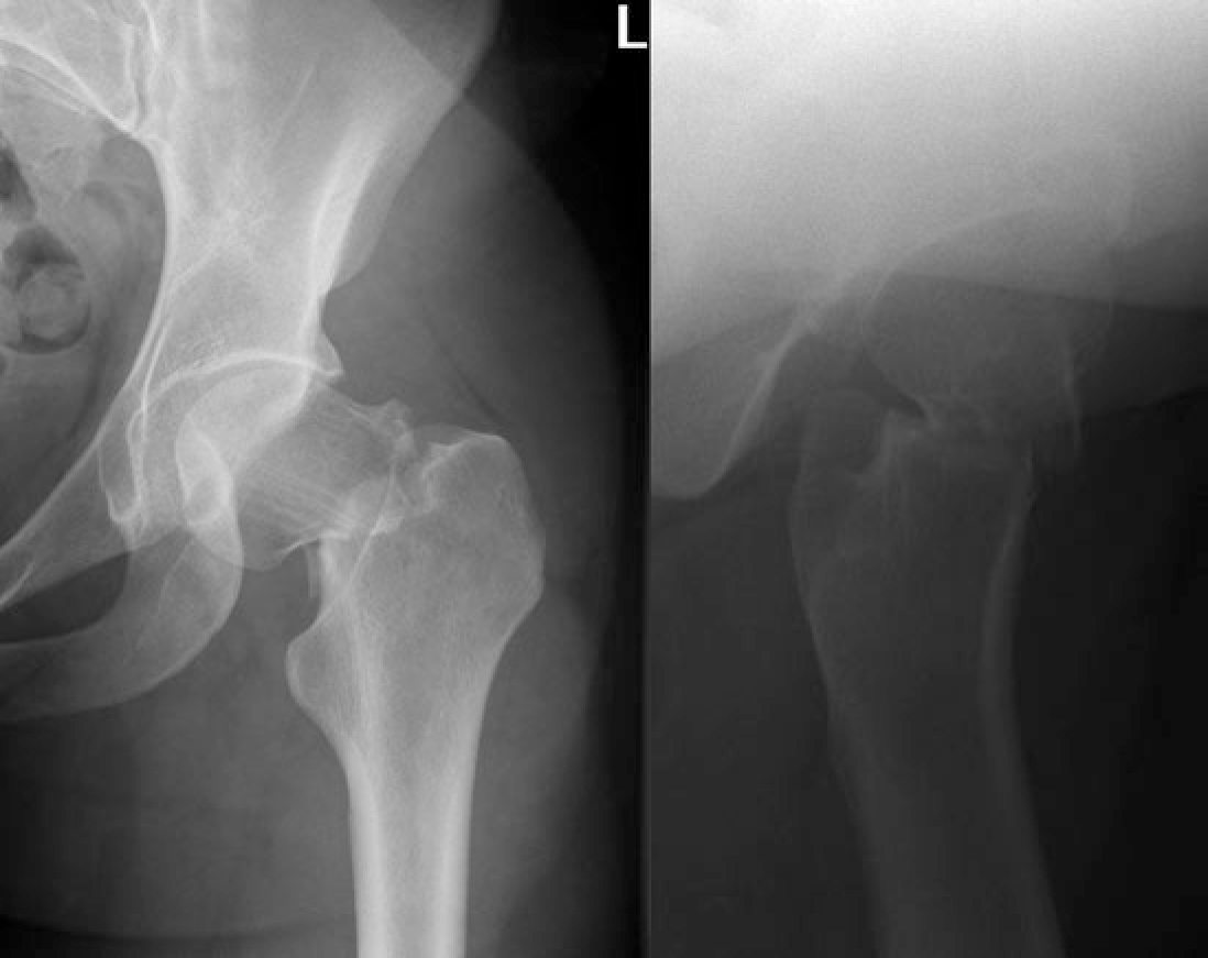
Een 28-jarige gezonde vrouw neemt deel aan de marathon van Rotterdam en krijgt na 38 kilometer plots pijn in haar linkerheup. Negenhonderd meter voor de finishlijn voelt ze ‘een knak’ en is ze niet meer in staat haar been te belasten. Ze bezoekt de medische post, waar de behandelend fysiotherapeut denkt aan een partiële spierruptuur. Vanwege de hevige pijn in de heup en het onvermogen het been te belasten, bezoekt de vrouw aansluitend de huisartsenpost. Ook de dienstdoende huisarts denkt aan een partiële spierruptuur en ze krijgt opiaten ter pijnstilling voorgeschreven. De volgende dag is de pijn onveranderd. Omdat de huisarts aan een totale spierruptuur denkt, verwijst hij de vrouw naar het ziekenhuis voor een echo van de spier. Echografie toont geen afwijkingen, maar de radioloog vindt de klachten zo ernstig dat hij een röntgenopname van de heup laat maken. Daarop wordt een gedisloceerde stressfractuur van de femurhals gediagnosticeerd [figuur].
Figuur | Röntgenopname toont een gedislokeerde stressfractuur van de femurhals
Vervolg casus
De patiënte wordt dezelfde avond geopereerd. Er wordt een dynamic hip screw (DHS) geplaatst. Postoperatief krijgt ze fysiotherapie. Gedurende zes weken wordt onbelast gemobiliseerd en daarna gedurende zes weken opgebouwd naar 100% belasting. Er volgt een uitgebreide analyse, waarbij de internist geen risicofactoren of onderliggende aandoeningen vindt. De patiënte is momenteel nog onder behandeling bij de chirurg vanwege het optreden van non-union en een DHS-schroefbreuk.
Probleembeschrijving
Hoewel verschillende medische professionals de patiënte hebben onderzocht, duurde het enige tijd voordat uiteindelijk in het ziekenhuis de juiste diagnose werd gesteld. Uit onderzoek blijkt dat er bij hardlopers gemiddeld een vertraging van 57 dagen optreedt in het stellen van de diagnose stressfractuur van de femurhals.1 Inmiddels kan de diagnose van stressfracturen dankzij verbeterde beeldvorming (zoals MRI) sneller worden gesteld, maar treedt er nog vaak vertraging op doordat behandelend artsen er niet meteen aan denken.1 Kennis over de incidentie, risicofactoren en het klachtenpatroon van stressfracturen van de femurhals is essentieel voor het vroegtijdig herkennen en optimaal behandelen ervan, waardoor de kans op complicaties verkleint.
Pathogenese
Hardlopen is in Nederland populairder dan ooit.2 Stressfracturen vertegenwoordigen 0,7 tot 20% van alle sportgerelateerde letsels.34 De incidentie van stressfracturen onder hardlopers kan oplopen tot 20%.35 Bij hen zijn de metatarsalia en de tibia het vaakst aangedaan.6 Bij 1 tot 5% van alle sportgerelateerde stressfracturen gaat het om de femurhals.1346 Bij gezonde personen met een normale botmineraaldichtheid kunnen stressfracturen ontstaan wanneer bot langdurig wordt belast door repeterende bewegingen, zonder adequate periodes van rust. Dit resulteert in een disbalans tussen botresorptie en botformatie, met een verhoogde gevoeligheid voor het ontstaan van microfracturen tot gevolg.7 Microfracturen kunnen zich ontwikkelen tot een stressfractuur, die meestal ontstaat op plekken waar remodellering van het bot trager verloopt (bijvoorbeeld cortex, diafyse) en wanneer er sprake is van hypovascularisatie.4
Biomechanisch onderzoek heeft aangetoond dat de piekkrachten in de femurhals tijdens het hardlopen kunnen oplopen tot acht keer het lichaamsgewicht.1 De krachten op de femurhals veroorzaken tension stress aan de superior-laterale cortex, die grotendeels wordt geneutraliseerd door het aanspannen van de musculus gluteus medius.8 Bij langdurige piekbelasting, zoals bij duurlopen, neemt door vermoeidheid het schokabsorberend vermogen van de musculus gluteus medius af. Dit maakt de femurhals vatbaar voor stressfracturen.1
Risicofactoren
Risicofactoren voor het ontwikkelen van een stressfractuur van de femurhals zijn het plots verhogen van de intensiteit, frequentie of duur van de activiteit, trainen op harde of oneven oppervlakten, dragen van verkeerd of versleten schoeisel, een laag calcium- of vitamine-D-gehalte, eetstoornissen, malabsorptieaandoeningen, hormonale factoren (onder andere late menarche, amenorroe), schildklieraandoeningen, een eerdere stressfractuur en het vrouwelijk geslacht.49 Vrouwen met een trias van eetstoornissen, amenorroe en osteoporose, ook wel de female athlete triad genoemd, hebben een grotere kans op een stressfractuur omdat een lage oestrogeenwaarde de normale botremodellering verstoort.410
De piekkrachten in de femurhals kunnen tijdens hardlopen oplopen tot acht keer het lichaamsgewicht
Klachten
De klachten bij een stressfractuur van de femurhals variëren per patiënt. Pijn tijdens het bewegen van de heup en een antalgisch looppatroon komen het meest voor. De pijn bevindt zich bij de meeste patiënten in de liesregio, gevolgd door de heup, het bovenbeen en de bilregio.1 Aanvankelijk neemt de pijn tijdens belasting toe. In een later stadium is er vaak sprake van pijn in rust.4 Hoewel mensen met stressfracturen van bijvoorbeeld de tibia of metatarsalia meestal last hebben van lokale drukpijn, is dit bij de dieper gelegen stressfractuur van de femurhals vaak niet het geval. Wel kan de pijn worden opgewekt bij het bewegingsonderzoek van de heup.3
Differentiële diagnose
Er is een hoog klinisch vermoeden van een stressfractuur van de femurhals bij patiënten bij wie sprake is van een toename in de intensiteit van de duursport, eventuele aanwezigheid van bovengenoemde risicofactoren en bij toenemende pijn in de liesregio tijdens belasting. Denk in het kader van de differentiële diagnose aan overbelasting, ruptuur van het labrum, het femoroacetabulair impingementsyndroom, tendinitis van de musculus iliopsoas, een spierruptuur van de musculus adductor femoris of de gluteusspieren, bursitis van de trochanter major, osteoartritis, osteomyelitis en neoplasmata.49 Er is een goede richtlijn om te kunnen differentiëren, op basis van het lichamelijk onderzoek, tussen verschillende aandoeningen bij de sporter die last heeft van liespijn.11
Aanvullend onderzoek
Een röntgenopname van de heup is een goede eerste diagnostische stap. De sensitiviteit bij vroege röntgendiagnostiek (15%) is echter zeer laag, waardoor men niet-gedisloceerde stressfracturen kan missen. Na twee tot drie weken kunnen periostitis, sclerose en callusvorming zichtbaar worden, maar de sensitiviteit van diagnostiek blijft laag (50%).4 Bij een hoog klinisch vermoeden, zoals hierboven beschreven, en een normale röntgenopname dient de arts nadere diagnostiek in de vorm van een MRI te overwegen.12 Laagdrempelig overleg met of verwijzing naar een orthopeed of traumachirurg is dan nodig om vroegtijdig de juiste diagnose te kunnen stellen, behandeling te starten en daarmee complicaties te voorkomen.4
Classificatie, behandeling en complicaties
Een veelgebruikte classificatie voor stressfracturen van de femurhals is die van Fullerton en Snowdy.13 Deze classificatie maakt onderscheid tussen drie typen: compressiefracturen aan de inferior-mediale cortex van de femurhals (type 1), tension-type fracturen aan de superior-laterale cortex (type 2) en gedislokeerde fracturen (type 3).17 Van alle stressfracturen van de femurhals behoort ongeveer 62% tot de niet-gedislokeerde typen 1 en 2.1
De meeste compressiefracturen (type 1) zijn stabiel en genezen goed met conservatieve behandeling doordat de compressiekrachten de botformatie bevorderen en de kans op non-union daardoor afneemt.1 De tension-typefracturen (type 2) zijn hoogrisicostressfracturen (HRSF). Ze hebben een neiging tot progressie naar een volledige fractuur met dislocatie. Net als de type 3-fracturen hebben ze een verhoogd risico op malunion of non-union, avasculaire necrose, chronische pijn en een langere hersteltermijn.4
Bij alle patiënten moet een analyse worden gemaakt van de risicofactoren en eventuele onderliggende aandoeningen. Patiënten met een HRSF van de femurhals moeten direct worden verwezen naar een orthopeed of traumachirurg voor verdere behandeling.4 De genezing bij gedislokeerde fracturen duurt langer en er is een hogere kans (tot 30%) op complicaties. Daarnaast is de kans op een volledig herstel naar het oude sportniveau significant kleiner bij gedislokeerde stressfracturen dan bij niet-gedislokeerde stressfracturen.114
Conclusie
Een stressfractuur van de femurhals gaat vaak gepaard met een atypisch klinisch beeld en wordt moeilijk herkend bij lichamelijk onderzoek. Ook wanneer er wel typische klachten zijn, zoals bij de patiënte uit onze casus, denken artsen vaak niet direct aan een stressfractuur van de femurhals. Bij hardlopers met pijn in de heup na intensieve of langdurige belasting moet de arts een stressfractuur van de femurhals als mogelijke oorzaak overwegen. Een röntgenopname van de heup is een goede eerste diagnostische stap, maar type 1- en 2-stressfracturen van de femurhals zijn niet altijd direct zichtbaar op conventionele beeldvorming. Bij een hoog klinisch vermoeden van een stressfractuur van de femurhals is tijdige verwijzing nodig naar een orthopeed of traumachirurg voor aanvullende beeldvorming en verdere behandeling, om de kans op complicaties te verkleinen en daarmee significante morbiditeit te voorkomen.
Literatuur
- 1.↲↲↲↲↲↲↲↲↲↲Neubauer T, Brand J, , Krawany M. . Res Sports Med 2016;24:283-97. Lidder S
- 2.↲Van Grinsven D, Louwen F. Jaaroverzicht Sportdeelname NOC*NSF. . Geraadpleegd op 11 november 2017. Sportdeelname maandmetingen: 2013-2016
- 3.↲↲↲↲Fredericson M, Jennings F, , . . Top Magn Reson Imaging 2006;17:309-25. Beaulieu C
- 4.↲↲↲↲↲↲↲↲↲↲↲McInnis KC, Ramey LN. . PM R 2016;8:S113-24. High-risk stress fractures: diagnosis and management
- 5.↲Pegrum J, Crisp T, Padhiar N. . BMJ 2012;344:e2511. Diagnosis and management of bone stress injuries of the lower limb in athletes
- 6.↲↲Clough TM. . Br J Sports Med 2002;36:308-9. Femoral neck stress fracture: the importance of clinical suspicion and early review
- 7.↲↲Polacek M, A. . BMJ Case Rep 2010;2010. pii: bcr0220102749. Småbrekke
- 8.↲Egol K, Koval K, , . . Clin Orthop Relat Res 1998;348:72-8. Kummer F
- 9.↲↲Livingston JI, Deprey SM, . . Int J Sports Phys Ther 2015;10:712-22. Hensley CP
- 10.↲Yeager K, Agostini R, , . . Med Scie Sports Exerc 1993;25:775-7. Nattiv A
- 11.↲Sanders R, Kokshoorn A, Kolkman KA, Van der Wal WA, Van Loon CJM. . Ned Tijdschr Geneeskd 2014;158:A7787. Liespijn bij sporters
- 12.↲Wright A, Hegedus E, , , , . . Am J Sports Med 2015;44:255-63. Lenchik L
- 13.↲Fullerton LR Jr, Snowdy HA. . Am J Sports Med 1988;16:365-77. Femoral neck stress fractures
- 14.↲Johansson C, Ekenman I, , . . Am J Sports Med 1990;18:524-8. Törnkvist H
Reacties
Er zijn nog geen reacties.