Praktijk

Urinesteenlijden met negatieve hematurie

Gepubliceerd
4 mei 2016

Casus

Een 38-jarige man komt op het spreekuur van de huisarts vanwege hevige buikpijn sinds een dag. De patiënt beschrijft de buikpijn als intermitterende, hevige darmkrampen en wisselt periodes van bewegingsdrang af met periodes waarin een foetushouding het meeste comfort geeft. De VAS-score is 7. De dipstick van de urine laat geen afwijkingen zien. De huisarts geeft op verdenking van darmkrampen scopolaminebutyl en macrogol/elektrolyten. De patiënt komt een uur later terug omdat de pijn fors is toegenomen. De huisarts stuurt de patiënt in naar de SEH met de vraagstelling ‘buikpijn, dd/darmkrampen dan wel nierkoliek?’
De anamnese aldaar is conform die van de huisarts. Lichamelijk onderzoek toont geen geprikkelde maar wel gevoelige buik linkszijdig zonder défense musculaire, testes en liezen geen afwijkingen. Het bloedonderzoek toont alleen een licht verhoogd creatinine van 111 bij MDRD > 60, het urinesediment toont geen afwijkingen. Op verdenking van mogelijke nefrolithiasis wordt een echo van de urinewegen en nieren gemaakt, die geen afwijkingen laat zien. Omdat de patiënt prima reageert op paracetamol met eenmalig 2,5 mg morfine, gaat hij huiswaarts met pijnstilling en het advies terug te komen bij koorts of toenemende klachten.
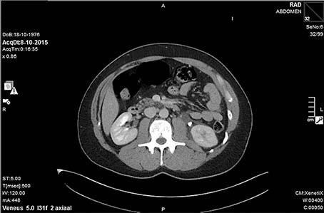
Na drie uur meldt patiënt zich wederom op de SEH. De buikpijn is heviger geworden, VAS 10. Het lichamelijk onderzoek toont nu diffuus drukpijn in abdomen met weliswaar enige défense musculaire, maar geen geprikkelde buik en geen slagpijn. De creatinine is nu 122, verder geen afwijkingen. De urine is schoon. De pijn breekt zelfs door tweemaal morfine 5 mg intraveneus en daarop wordt een spoed CT-abdomen met contrast gemaakt bij verdenking op mesenteriale ischemie, abdominale aortadissectie of appendicitis. De CT toont een obstruerende uretersteen links met blow-out van de linkernier en ureter met forse contrastlekkage [figuur 1 en figuur 2]. De uroloog neemt de patiënt gelijk op. Hij komt de nacht goed door met morfine 5 mg 6 dd en krijgt ’s morgens een dubbelloops J-katheter geplaatst.1 De patiënt gaat na 2 dagen in prima conditie naar huis. Meer dan 6 weken later wordt de J-katheter uiteindelijk verwijderd. De restfunctie van de nier lijkt volledig hersteld.

Beschouwing

Hoewel de gouden standaard bij urinesteenlijden beeldvormend onderzoek is, wordt urineonderzoek als belangrijk diagnostisch middel geduid. Volgens de NHG-Standaard Urinesteenlijden stellen we de diagnose bij acute hevige pijn in de flank met bewegingsdrang, in combinatie met hematurie. Enkele regels verder staat genoteerd ‘de afwezigheid van hematurie sluit urinesteenlijden niet uit’.
De meeste patiënten met nierkolieken hebben flankpijn of buikpijn als voornaamste klacht met soms ook uitstralende pijn richting de genitaliën.12 Een dipstick-analyse is betrouwbaarder om hematurie aan te tonen dan microscopische analyse.3 Slechts één op de acht patiënten heeft ook macroscopische hematurie en bij ruim 90% wordt ook met een dipstick hematurie gevonden.2 De kans op een negatieve hematurie bij nierstenen is het grootst op dag drie en vier vanaf het begin van de nierkoliek.3 De afwezigheid van hematurie heeft geen prognostische waarde voor de grootte van de steen3 of de mate van obstructie.4

Conclusie

Hematurie bij nierkolieken heeft een toegevoegde waarde als diagnostisch middel om urinesteenlijden aan te tonen, echter bijna één op de tien patiënten heeft hierbij een negatieve hematurie.

Literatuur

  • 1.Hong DY, Kim JW, Lee KR, Park SO, Baek KJ. Epidemiologic and clinical characteristics of patients presenting with renal colic in Korea. Urol J 2015;12:2148-53.
  • 2.Pérez JA, Palmes Mde L, Ferrer JF, Urdangarain OO, Nuñez AB. Renal colic at emergency departments. Epidemiologic, diagnostic and etiopathogenic study. Arch Esp Urol 2010;63:173-87.
  • 3.Kobayashi T, Nishizawa K, Mitsumori K, Ogura K. Impact of date of onset on the absence of hematuria in patients with acute renal colic. J Urol 2003;170:1093-6.
  • 4.Press SM, Smith AD. Incidence of negative hematuria in patients with acute urinary lithiasis presenting to the emergency room with flank pain. Urology 1995;45:753-7.

Reacties

Er zijn nog geen reacties.