Praktijk

Vroegtijdige herkenning is belangrijk bij longfibrose

Longfibrose is zeldzaam en wordt dikwijls pas laat herkend, wanneer er vaak al substantiële longschade opgetreden is. Het is belangrijk dat huisartsen longfibrose vroegtijdig herkennen, want nieuwe therapeutische mogelijkheden kunnen achteruitgang van de longfunctie in een eerder stadium remmen. Aan de hand van een casus beschrijven wij de diagnostiek van longfibrose.
0 reacties
Longfibrose
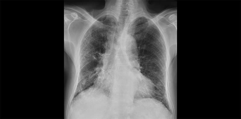
X-thorax: Bibasale en subpleurale reticulaire afwijkingen

Casus | 62-jarige man met verslechterde conditie

Een 62-jarige man bezoekt zijn huisarts omdat hij tijdens het sporten heeft gemerkt dat zijn conditie het afgelopen jaar achteruit is gegaan. Het tempo wordt lager. Hij heeft verder geen klachten, maar zoekt een verklaring. Hij heeft ongeveer 20 pakjaren gerookt, maar is enkele jaren geleden gestopt. Zijn huisarts hoort aan beide zijden crepitaties over de basale longvelden (beluister het geluidsfragment). Verder ziet ze trommelstokvingers (ook wel clubbing genoemd). Vanwege basale crepitaties en kortademigheid denkt ze aan hartfalen. Een normaal NT-proBNP en ecg maken dit echter minder waarschijnlijk. De huisarts besluit een thoraxfoto te maken. Hierop zijn in de basale longvelden aan beide zijden reticulaire afwijkingen te zien (zie foto hierboven). Een aanvullende spirometrie laat normale volumina zien en geen obstructie. De huisarts verwijst de patiënt voor nader onderzoek naar een longarts. Deze vindt bij uitgebreidere spirometrie wel een laag normale diffusie (DLCOc) van 85% voorspeld. Op de high resolution computed tomografiescan zijn tekenen van longfibrose te zien. De longarts vindt geen onderliggende oorzaak van longfibrose. Tijdens een multidisciplinair overleg wordt de diagnose idiopathische pulmonaire fibrose gesteld. Na een korte observatieperiode met een duidelijke achteruitgang van de longfunctie, start de patiënt met de fibroseremmer nintedanib.

Geluidsfragment | Crepitaties over de basale longvelden

Longfibrose is een verzamelnaam voor een groep zeldzame interstitiële longziekten waarbij verlittekening van het alveolaire interstitium optreedt. Deze fibrose bemoeilijkt de gasuitwisseling en maakt de long stugger. Er zijn verschillende oorzaken van longfibrose bekend: auto-immuunziekten (zoals reuma-toïde artritis, systemische sclerose en poly- of dermatomyositis) en blootstelling aan bepaalde stoffen (steenstof, metaal, schimmels of uitwerpselen van duiven) of geneesmiddelen (zoals amiodaron of nitrofurantoïne). Als er na uitgebreide analyse, inclusief onderzoek naar auto-immuunziekten, geen oorzaak wordt gevonden, wordt in een passende klinische context de diagnose idiopathische longfibrose (IPF) gesteld. Het betreft dan meestal patiënten boven de 50 jaar, vaker mannen en ex-rokers. Er zijn geen goede cijfers bekend over de prevalentie en incidentie van IPF in Nederland, maar volgens schattingen op basis van buitenlandse cijfers zijn er in Nederland 2000 tot 3500 patiënten.1 Een rapport van het Nivel uit 2018 vermeldde in totaal ongeveer 3200 patiënten met longfibrose in Nederland.2 Geëxtrapoleerd naar een normpraktijk (2095 patiënten) betekent dit gemiddeld 1 patiënt per praktijk. Het hangt van de mate van ziektelast af hoe vaak een huisarts contact heeft met een patiënt met longfibrose. Mede door de vergrijzing en een stijging van het gebruik van pneumotoxische medicatie zal de prevalentie verder toenemen.

Symptomen en onderzoeksbevindingen

Vanwege de aspecifieke klachten is het lastig voor huisartsen om longfibrose vroegtijdig te herkennen. Bij de helft van de patiënten wordt aanvankelijk een verkeerde diagnose gesteld. Onderzoek laat zien dat er een doctor delay van gemiddeld 2 jaar is voordat de juiste diagnose wordt gesteld.34 Kortademigheid bij inspanning is vaak het eerste symptoom, waardoor longfibrose lastig te onderscheiden is van bijvoorbeeld COPD en hartfalen. Patiënten hebben soms een droge hoest. De klachten nemen meestal in de loop van enkele maanden toe, maar een deel van de patiënten is gedurende langere tijd stabiel. De overige anamnese staat in het teken van het uitvragen van risicofactoren voor longfibrose: beroepsmatige blootstelling aan toxische stoffen (steenstof en metaal), allergenen in huis (schimmels, dons, uitwerpselen van duiven en parkieten), medicamenten (amiodaron, methotrexaat, nitrofurantoïne) die longbeelden en klachten kunnen veroorzaken die passen bij een auto-immuunziekte. Denk hierbij behalve aan gewrichtsklachten ook aan myalgie en spierzwakte, siccaklachten, en oog- en huidklachten. Bij lichamelijk onderzoek zijn soms zogenaamde trommelstokvingers en horlogeglasnagels te zien. Gegevens over de voorspellende waarde van trommelstokvingers en horlogeglasnagels voor de diagnose longfibrose ontbreken. Huidafwijkingen, artritiden of het raynaudfenomeen kunnen op een onderliggende systeemziekte wijzen. Bij een groot deel van de patiënten kunnen klittenbandgeluiden (crepitaties) in de basale longvelden te horen zijn. Bij een verder gevorderde ziekte kunnen zich tekenen van hypoxemie voordoen, zoals cyanose en perifeer oedeem (cor pulmonale).1 Niet zelden interpreteren artsen de bevindingen bij lichamelijk onderzoek aanvankelijk als infectie of decompensatio cordis, die ze vervolgens met antibiotica of diuretica behandelen.

Aanvullend longfunctieonderzoek laat meestal een volume-restrictie zien, zonder obstructie. Als bij spirometrie een verlaagde FVC wordt gemeten, moet eerst worden nagegaan of dit komt door een technisch onvoldoende spirometrie. Zo niet, dan is een vastgestelde volumerestrictie altijd reden voor verder onderzoek, wat meestal verwijzing naar de longarts betekent. Zoals de casus illustreert kunnen de longvolumina, zoals vitale capaciteit, in de beginfase nog normaal zijn, terwijl de patiënt al klachten heeft. Een patiënt ouder dan 45 jaar met progressieve dyspneuklachten en/of droge hoest, vermoeidheid en/of crepitaties en/of trommelstokvingers, moet bij twijfel aan de diagnose een verwijzing naar de longarts krijgen. Een normale spirometrie, maar onbegrepen klachten van inspanningsdyspneu (een discrepantie tussen de ernst van de klachten en objectieve bevindingen), een snel progressief beloop of klachten die ondanks een optimale behandeling aanhouden, kunnen ook een reden zijn om vroegtijdig naar een longarts te verwijzen. Deze doet dan een uitgebreider longfunctieonderzoek met een totale longcapaciteit en een diffusiemeting. Bij de diagnostiek van longfibrose staat de high resolution computed tomografie (HRCT) (aangevraagd door de longarts) centraal. Een normale thoraxfoto sluit longfibrose namelijk niet uit.5 In een vergevorderd stadium kan op een X-thorax al reticulatie of een verhoogde densiteit van het longparenchym zichtbaar zijn, zoals ook in de casus het geval is. Ook kan de huisarts de thoraxfoto gebruiken om andere oorzaken van inspanningsdyspneu uit te sluiten.

Voor het uitwerken van een differentiële diagnose en het stellen van de diagnose longfibrose is het aan te bevelen om een multidisciplinair overleg (MDO) te houden met longartsen, reumatologen, radiologen en pathologen met expertise op het gebied van interstitiële longziekten.15 Wanneer de diagnose na het MDO niet duidelijk is, kan een longbiopt worden overwogen. Deze chirurgische methode is niet zonder risico’s en er zijn sterfgevallen beschreven.5 Mogelijke complicaties van een longbiopt zijn een bloeding, een pneumothorax of een infectie. Daarnaast is chirurgie bij kwetsbare oudere patiënten niet altijd mogelijk. Soms wordt daarom in een MDO een waarschijnlijkheidsdiagnose IPF gesteld.

Prognose en behandeling

IPF heeft meestal een snel progressief beloop met een mediane overleving van 2 tot 5 jaar na het stellen van de diagnose.1 Het inzicht in de pathogenese van IPF is de laatste jaren toegenomen, wat heeft geleid tot inmiddels 2 geregistreerde geneesmiddelen voor de behandeling ervan. Patiënten kunnen deze fibroseremmers, pirfenidon en nintedanib, oraal innemen. Beide middelen, met een verschillend werkingsmechanisme, hebben in fase III-onderzoeken laten zien dat de longfunctie-achteruitgang (gemeten als FVC gedurende 52 weken) bij dagelijks gebruik bij IPF-patiënten met ongeveer 50% wordt geremd.67 Het effect op de mortaliteit is niet onderzocht, maar gepoolde analyse van de gegevens suggereren een betere overleving.8 Algemene bijwerkingen zijn veelal mild tot matig en betreffen gastro-intestinale klachten, vermoeidheid, malaise en verhoogde fotosensibiliteit (bij pirfenidon) en diarree (bij nintedanib).8

De hoeksteen van de behandeling van andere vormen van longfibrose, zoals bij een systeemziekte, medicatiegebruik of blootstelling aan bepaalde stoffen, bestaat uit immuunsuppressie. Recent onderzoek laat zien dat de fibroseremmer nintedanib ook bij andere vormen van progressieve longfibrose, onafhankelijk van de onderliggende oorzaak, een remmend effect heeft op de achteruitgang van de longfunctie.9 Hoe eerder de patiënt met deze behandeling start, des te meer longfunctie gespaard kan blijven. Een reden te meer voor de huisarts om een patiënt met onbegrepen dyspneu naar de longarts door te verwijzen.

Een klein deel van de patiënten met longfibrose zal in aanmerking komen voor een curatieve longtransplantatie. Voor de meerderheid geldt dat vanwege comorbiditeit of hoge leeftijd niet en het beleid zal dan gericht zijn op symptoombestrijding.

De laatste jaren zien we een verschuiving in de richting van niet-farmacologische behandeling van kortademigheid, omdat de fibroseremmers hier vaak niet direct invloed op hebben. Het betreft patiëntenvoorlichting, angstmanagement, ondersteuning voor verzorgers en ventilatortherapie. Overleg met de longarts en/of de verpleegkundig specialist kan de huisarts hierbij ondersteunen. Zuurstoftherapie en morfine kunnen de dyspneuklachten verlichten. Comorbide aandoeningen, zoals reflux en slaapapneu, moeten optimaal behandeld worden. Ook kan fysiotherapie patiënten zo lang mogelijk in een redelijke conditie houden. Heldere communicatie, informatie over de ziekte en palliatieve ondersteuning zijn na het stellen van de diagnose erg belangrijk.48

Beschouwing

Door de aspecifieke klachten en de zeldzaamheid van de aandoening is het voor huisartsen buitengewoon lastig om longfibrose te herkennen. Een langzaam progressief beloop en persisterende klittenbandgeluiden bij lichamelijk onderzoek kunnen belangrijke aanwijzingen zijn voor het bestaan van longfibrose. Goed uitvragen van de klachten en lichamelijk onderzoek zijn dus cruciaal bij onbegrepen dyspneu. Omdat er nieuwe therapeutische mogelijkheden (fibroseremmers) zijn, is het van groot belang om de diagnose zo vroeg mogelijk te stellen en de juiste behandeling aan te bieden.

De volgende belangrijke punten kunnen vroegtijdige herkenning van longfibrose in de eerste lijn verbeteren:

  1. Longfibrose is een mogelijke oorzaak van chronische inspanningsdyspneu. Denk hieraan wanneer u klittenbandgeluiden hoort.
  2. De NHG-Standaard COPD noemt longfibrose als differentiële diagnose, die gepaard gaat met een afname van het longvolume. De standaard wijst erop dat een restrictief beeld gemeten met een spirometer in de eerste lijn meestal een meetfout is.
  3. Normale spirometriewaarden en een thoraxfoto sluiten de diagnose longfibrose niet uit. Verwijs bij een vermoeden voor nader onderzoek (HRCT) naar de longarts.
Geelhoed M, Van den Haak H †, Damoiseaux R, Miedema J. Vroegtijdige herkenning is belangrijk bij longfibrose. Huisarts Wet 2021;64:DOI:10.1007/s12445-021-1051-0.
Mogelijke belangenverstrengeling: Jelle Miedema heeft een vergoeding ontvangen voor het geven van lezingen (Boehringer Ingelheim, Roche) en Adviesraad (Boehringer Ingelheim).

Literatuur

Reacties

Er zijn nog geen reacties.