Nieuws

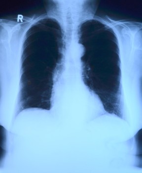
X-thorax bij verdenking pneumonie

Gepubliceerd
2 mei 2016

Nieuw onderzoek toont aan dat huisartsen die een patiënt verdenken van een pneumonie hierin vaak worden bevestigd met een röntgenfoto. Hoe sterker de huisarts een longontsteking vermoedt, hoe vaker er een pneumonie wordt aangetroffen.

In een Zweeds prospectief onderzoek van Moberg et al. is in de eerste lijn onderzoek gedaan bij 103 patiënten bij wie de werkdiagnose pneumonie gesteld was. Bij deze patiënten werd een anamnese verricht, lichamelijk onderzoek gedaan en bloedmonster afgenomen (zowel leukocyten, als leukocyten differentiatie en POC (point of care) CRP). Daarna werd er zo snel mogelijk een thoraxfoto gemaakt. Deze foto werd niet gebruikt om het beleid te bepalen maar om te kijken of de door de huisarts gestelde diagnose radiologisch bevestigd kon worden.

Hieruit bleek dat afwijkingen bij auscultatie, koorts en een verhoogd CRP samenhingen met een radiologisch bewezen pneumonie. Echter in de analyse waar alle mogelijke variabelen tegelijk getest werden, bleek alleen nog het CRP gerelateerd: OR 10,9 (95%-BI 3,0 tot 39,2). De opmerkelijkste bevinding was dat een sterk vermoeden van de huisarts op een longontsteking erg vaak (in 88%) gerelateerd was aan een daadwerkelijke, radiologisch bewezen longontsteking.

De bevindingen uit dit onderzoek ondersteunen het advies dat de NHG-Standaard Acuut hoesten geeft omtrent het maken van een thoraxfoto. Belangrijk is dat deze aanbeveling nu ondersteund wordt met onderzoek dat in de huisartsenpraktijk heeft plaatsgevonden. Een minpunt van dit onderzoek is dat het bloedonderzoek bekend was voordat de huisarts aangaf hoe groot de verdenking was op een longontsteking. Al lijkt dit wel op de Nederlandse situatie waar POC-testen van het CRP steeds meer gemeengoed is.

Moberg AB, et al. Community-acquired pneumonia in primary care: clinical assessment and the usability of chest radiography. Scand J Prim Health Care 2016;34:21-7. 

Reacties

Er zijn nog geen reacties.