Pijnlijke zwelling onder de tong
Een 54-jarige man komt op het spreekuur met sinds enkele dagen een pijnlijk gevoel onder de tong. De klachten zijn continu aanwezig en nemen toe als hij eet. De patiënt heeft geen zwelling gezien of gevoeld, ook niet tijdens of na het eten. De patiënt rookt niet en er is geen sprake van overmatig alcohol- of medicatiegebruik.
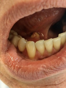
Bij lichamelijk onderzoek was er geen zwelling zichtbaar of palpabel in het gelaat of de hals. In de mondholte was wel sublinguaal een geelwitte verhevenheid zichtbaar. Deze was pijnlijk bij aanraking.
Wat is uw diagnose?