Witte lijntjes op de tong
Een 64-jarige vrouw – die minstens 10 jaar mucosale lichen planus heeft (vaginaal en in de mond) – werd verwezen voor een second opinion naar een tertiair dermatologisch centrum voor therapeutisch advies, omdat de plekken in haar mond maar niet rustig werden. Zij werd al behandeld met diprolene gel, triamcinolon in hypromellosezalf, fluticason neusspray, clobetasol oromucosale gel, protopic 0,1% zalf (die ze nu nog steeds gebruikt), ciclosporine mondspoeling en miconazolgel.
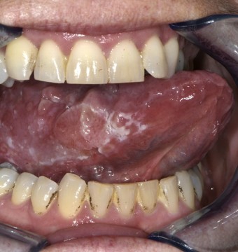
Bij lichamelijk onderzoek zagen wij een reticulair netwerk van witte lijnen op beide zijden van de tong. Dit zijn de zogenaamde wickhamstriae die typerend zijn voor lichen planus. Maar wat ons nog meer opviel, was dat er in dat netwerk een lenticulaire papel zichtbaar en voelbaar was, die drukpijnlijk was bij palpatie. Wat is uw diagnose?