De kern
-
Men spreekt van een aneurysma aortae abdominalis (AAA) bij een diameter ≥ 3,0 cm.
-
Elk AAA groeit en sommige groeien uitzonderlijk snel; regelmatige controle kan daarom van levensbelang zijn.
-
Het advies is asymptomatische fusiforme AAA’s te opereren bij een diameter ≥ 5,5 cm (mannen) of ≥ 5,0 cm (vrouwen).
Casus Een 49-jarige man met nierstenen
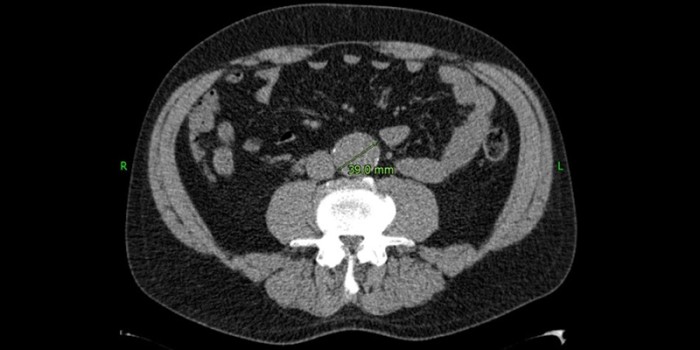
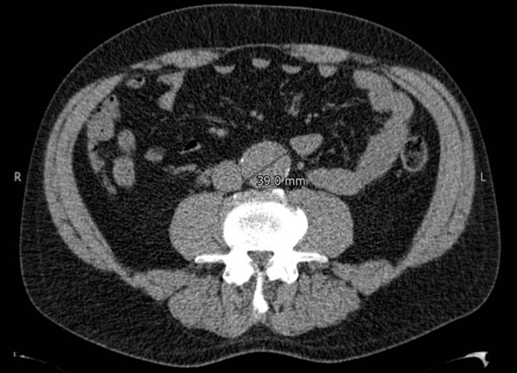
Een 49-jarige man, bekend met hypertensie en sinds enkele jaren gestopt met roken, bezocht in 2013 de spoedeisende hulp in verband met mogelijke nierstenen. Op de CT-scan van het abdomen werd, als toevalsbevinding, een ‘klein’ aneurysma van de buikaorta ontdekt met een diameter van 3,9 cm [figuur 1].
Figuur 1 | Aneurysma van de buikaorta in 2013: diameter 3,9 cm
De patiënt werd nadien niet gevolgd. In 2018 werd de man door de huisarts verwezen voor echografie in verband met sinds drie maanden bestaande buikpijn. Op de echo werd een AAA van ruim 7 cm ontdekt; op de daarna gemaakte CT-aorta bleek de diameter zelfs 8,2 cm [figuur 2]. Bij een zodanige verwijding is het risico op een aortaruptuur groot. Gelukkig kon deze patiënt nog op tijd worden behandeld en de endovascular aneurysma repair (EVAR) verliep zonder complicaties.
Figuur 2 | Dezelfde patiënt in 2018: diameter 8,2 cm
Epidemiologie
De gemiddelde diameter van de buikaorta kan verschillen met de leeftijd, het geslacht en de lengte. Bij de meeste gezonde volwassenen meet deze ongeveer 2 cm en bij 95% is hij niet groter dan 3 cm.1 Men spreekt van een aneurysma aortae abdominalis (AAA) bij een diameter ≥ 3,0 cm. De prevalentie van AAA’s is onder 50- tot 84-jarigen momenteel naar schatting 1,4%.2 De gemiddelde leeftijd waarop een klinisch relevant AAA ontdekt wordt, is de afgelopen jaren aanzienlijk gestegen. De incidentie onder ouderen lijkt toe te nemen en de incidentie onder jongeren lijkt af te nemen.34 De precieze oorzaak van deze verschuivingen is onduidelijk.3 Het zou kunnen liggen aan de daling van het aantal rokers en aan de betere behandeling van hypertensie en hypercholesterolemie.34 Ook kan een rol spelen dat vaker beeldvormend onderzoek wordt uitgevoerd dan vroeger, zodat AAA’s eerder worden ontdekt.4
Ruptuurkans
Er bestaan twee soorten AAA’s: een fusiform (spoelvormig) en een sacculair (zakvormig) type; de radioloog hoort het type aneurysma exact te beschrijven op basis van echografie. Sacculaire aneurysma’s komen aanzienlijk minder vaak voor dan fusiforme, maar zijn altijd een indicatie voor verwijzing naar de vaatchirurg omdat het de vorm kan zijn, en niet zozeer de diameter of de groeisnelheid, die operatie noodzakelijk maakt.56
Bij het beoordelen van een fusiform AAA zijn twee zaken van belang: diameter en groeisnelheid
Bij fusiforme AAA’s is de noodzaak van verwijzing en controle afhankelijk van twee zaken: grootte en groeisnelheid.56 Tijdige diagnose en behandeling kunnen een ruptuur voorkomen, want hoe groter de diameter, hoe groter de kans op een ruptuur.7 De Amerikaanse en Europese beroepsverenigingen voor vaatchirurgie adviseren asymptomatische fusiforme AAA’s operatief te behandelen bij een diameter ≥ 5,5 cm (mannen) of ≥ 5,0 cm (vrouwen).56 Bij een diameter < 5,5 cm is het risico van een operatie hoger dan het risico op ruptuur en zal operatie dus geen positief effect hebben op de overleving.8 Een recente meta-analyse geeft een goed overzicht van het cumulatieve jaarlijkse risico op ruptuur van een AAA:7
-
3,5% per jaar bij een diameter van 5,5 tot 6,0 cm
-
4,1% per jaar bij een diameter van 6,1 tot 7,0 cm
-
6,3% per jaar bij een diameter ≥ 7,0 cm (zoals bij onze patiënt)
Ook de groeisnelheid van een aneurysma wordt als een risicofactor beschouwd. Gemiddeld groeit een ‘klein’ aneurysma (van 3,0 tot 5,4 cm) met 0,22 cm per jaar, maar naarmate het aneurysma groter wordt, neemt de groeisnelheid toe.910 Een aneurysma van 3 cm groeit bij mannen met gemiddeld 0,13 cm en bij vrouwen met 0,15 cm per jaar, een aneurysma van 5 cm groeit bij mannen én vrouwen met gemiddeld 0,36 cm per jaar.10 AAA’s met groeisnelheden van ≥ 1 cm per jaar worden over het algemeen beschouwd als snelgroeiend.6 Er is anekdotisch bewijs dat de kans op een ruptuur groter is bij snelle groei.6 Snelle groei zou een teken kunnen zijn van verhoogde druk of van een verzwakte aortawand. Daarom moeten patiënten met een snelgroeiend aneurysma worden verwezen naar de vaatchirurg. Aangezien het aneurysma bij onze patiënt snel gegroeid was en een diameter had van 8,2 cm, was het risico op een ruptuur voor hem mogelijk nog groter dan de genoemde 6,3% per jaar.
Controles
Bij een fusiform aneurysma is de controlefrequentie afhankelijk van de diameter. De huisartsen en vaatchirurgen in Nederland hebben hierover landelijk recent geen duidelijke afspraken gemaakt, maar er zijn wel vaak lokale of regionale afspraken, vastgelegd in bijvoorbeeld een Regionale Transmurale Afspraak (RTA). De Amerikaanse en de Europese beroepsverenigingen voor vaatchirurgie bevelen het volgende schema [figuur 3] aan voor de echografische controle van fusiforme aneurysma’s:
-
bij een diameter van 3,0 tot 3,9 cm iedere drie jaar
-
bij een diameter van 4,0 tot 4,9 cm ieder jaar
Fusiforme AAA’s met een diameter ≥ 4 cm zullen meestal al onder controle staan van de vaatchirurg, afhankelijk van de lokaal gemaakte afspraken.
Figuur 3 | Beslisregel voor controle en verwijzing bij een verwijde buikslagader
Opereren of niet
De uiteindelijke beslissing tot operatief ingrijpen wordt genomen door de vaatchirurg in overleg met de patiënt. Naast diameter en groeisnelheid wegen daarbij ook andere factoren mee. Contra-indicaties voor een operatie zijn bijvoorbeeld hoge leeftijd of comorbiditeit.5 Daartegenover staan risicofactoren voor snelle groei of ruptuur, waaronder roken, hoge leeftijd, familiaire belasting en hoge bloeddruk.5691112 Ook de afwezigheid van diabetes mellitus is een risicofactor: bij patiënten met diabetes groeit een AAA trager.569 Ook vrouw zijn is een risicofactor voor een ruptuur.910 De Amerikaanse en Europese beroepsverenigingen voor vaatchirurgie adviseren dan ook bij vrouwen met een fusiform AAA al vanaf 5,0 cm operatief in te grijpen.56
Conclusie
Elk aneurysma van de buikaorta groeit en sommige groeien zelfs uitzonderlijk snel. Daarom kan het volgen van een bij toeval gevonden AAA van levensbelang zijn voor de patiënt. Wij pleiten dan ook voor duidelijke (landelijke) transmurale afspraken en richtlijnen om onnodige risico’s te vermijden. In de tussentijd adviseren wij huisartsen om alert te zijn op bij toeval ontdekte aneurysma’s van de buikaorta en deze patiënten regelmatig te controleren met de frequentie die geadviseerd wordt door de Amerikaanse en Europese beroepsverenigingen voor vaatchirurgie. Patiënten met een sacculair aneurysma (ongeacht de grootte) of met een fusiform aneurysma ≥ 4 cm moeten verwezen worden naar een vaatchirurg.
Literatuur
- 1.↲Johnston KW, Rutherford RB, Tilson MD, Shah DM, Hollier L, Stanley JC. . J Vasc Surg 1991;13:452-8. Suggested standards for reporting on arterial aneurysms. Subcommittee on Reporting Standards for Arterial Aneurysms, Ad Hoc Committee on Reporting Standards, Society for Vascular Surgery and North American Chapter, International Society for Cardiovascular Surgery
- 2.↲Kent KC, Zwolak RM, Egorova NN, Riles TS, Manganaro A, Moskowitz AJ, et al. . J Vasc Surg 2010;52:539-48. Analysis of risk factors for abdominal aortic aneurysm in a cohort of more than 3 million individuals
- 3.↲↲↲Anjum A, Powell JT. . Eur J Vasc Endovasc Surg 2012;43:161-6. Is the incidence of abdominal aortic aneurysm declining in the 21st century? Mortality and hospital admissions for England & Wales and Scotland
- 4.↲↲↲Choke E, Vijaynagar B, Thompson J, Nasim A, Bown MJ, Sayers RD. Circulation 2012;125:1617-25. Changing epidemiology of abdominal aortic aneurysms in England and Wales: older and more benign?
- 5.↲↲↲↲↲↲↲↲Chaikof EL, Dalman RL, Eskandari MK, Jackson BM, Lee WA, Mansour MA, et al. . J Vasc Surg 2018;67:2-77.e2. The Society for Vascular Surgery practice guidelines on the care of patients with an abdominal aortic aneurysm
- 6.↲↲↲↲↲↲↲↲↲Wanhainen A, Verzini F, Van Herzeele I, Allaire E, Bown M, Cohnert T, et al. . Eur J Vasc Endovasc Surg 2019;57:8-93. Editor’s choice – European Society for Vascular Surgery (ESVS) 2019 clinical practice guidelines on the management of abdominal aorto-iliac artery aneurysms
- 7.↲↲Parkinson F, Ferguson S, Lewis P, Williams IM, Twine CP; South East Wales Vascular Network. . J Vasc Surg 2015;61:1606-12. Rupture rates of untreated large abdominal aortic aneurysms in patients unfit for elective repair
- 8.↲Filardo G, Powell JT, Martinez MA, Ballard DJ. . Cochrane Database Syst Rev 2015;2:CD001835. Surgery for small asymptomatic abdominal aortic aneurysms
- 9.↲↲↲↲Sweeting MJ, Thompson SG, Brown LC, Powell JT; RESCAN collaborators. . Br J Surg 2012;99:655-65. Meta-analysis of individual patient data to examine factors affecting growth and rupture of small abdominal aortic aneurysms
- 10.↲↲↲RESCAN Collaborators, Bown MJ, Sweeting MJ, Brown LC, Powell JT, Thompson SG. . JAMA 2013;309:806-13. Surveillance intervals for small abdominal aortic aneurysms: a meta-analysis
- 11.↲Akai A, Watanabe Y, Hoshina K, Obitsu Y, Deguchi J, Sato O, et al. . J Vasc Surg 2015;61:287-90. Family history of aortic aneurysm is an independent risk factor for more rapid growth of small abdominal aortic aneurysms in Japan
- 12.↲Verloes A, Sakalihasan N, Koulischer L, Limet R. . J Vasc Surg 1995;21:646-55. Aneurysms of the abdominal aorta: familial and genetic aspects in three hundred thirteen pedigrees
Reacties
Er zijn nog geen reacties.