Overslaan en naar de inhoud gaan

H&W maakt gebruik van functionele cookies die strikt noodzakelijk zijn voor de werking van de website en analytische cookies om inzicht te krijgen in de werking en effectiviteit van de website.

Meer informatie

H&W maakt gebruik van functionele cookies die strikt noodzakelijk zijn voor de werking van de website. We gebruiken analytische cookies om de website te verbeteren. Tevens gebruiken we cookies voor advertenties. U kunt hieronder aangeven welke cookies u toestaat. We gebruiken de volgende cookies:

Cookie opties

Cookies die noodzakelijk zijn voor het functioneren van de website.

Deze gegevens zijn noodzakelijk voor het verbeteren van de website door (algemene) bezoekersstatistieken te meten. Deze gegevens zijn geanonimiseerd.

Cookies die het algemene websitegebruik volgen door middel van aanvullende tracking om de site te optimaliseren. Deze gegevens zijn geanonimiseerd.

Cookies die gebruikt worden door video-providers als Vimeo.

Home
  1. Diagnostiek
  2. Spoedzorg
  3. Digitale zorg
  4. Kwaliteit & HRMO
  5. Ketenzorg
  6. Levenseinde
  7. SOLK
  8. Patiënteninbreng
  9. Seksuele gezondheid
  10. COVID-19
HaWeb logo

Door in te loggen op HAweb krijgt u toegang tot de artikelen op HenW.org.

Beste abonnee, je hebt toegang tot HenW.org door in te loggen met je HAwebSSO-account. Onlangs heb je mail van ons ontvangen hoe je dit account kunt activeren. Hulp nodig bij het aanmaken van een nieuwe inlog? Heb je vragen? Neem dan contact op met onze supportteam via contactcentrum@nhg.org.

Gebruikersmenu

  • Inloggen

Hoofdnavigatie

  • Home
  • Abonneren
  • Adverteren
  • Contact
  • Over H&W
  • Voor auteurs
  • H&W Podcast
  • Medische banenbank

Gebruikersmenu [mobile]

  • Inloggen

Suresh Nagesser

Artikelen

  • Een snelgroeiend aneurysma van de buikaorta

    Praktijk
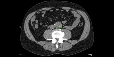
    Soms wordt op een echo of CT van de buik een aneurysma aortae abdominalis (AAA) ontdekt. Vaak gebeurt dat in een ziekenhuis. De radioloog vermeldt die toevalsbevinding meestal wel in de brief aan de huisarts, maar als het AAA ‘klein’ is, wordt meestal niet vermeld dat follow-up geïndiceerd is. Die controle kan echter van levensbelang zijn.
    Miniatuurvoorbeeld
Huisarts en Wetenschap
Privacyverklaring
Als eerste op de hoogte
  • Linkedin
  • Twitter
  • Instagram
  • Facebook
  • RSS
Logo Nederlands Huisartsen Genootschap